Skip to main content

ISCU Antibody - BSA Free

Novus Biologicals, part of Bio-Techne | Catalog # NBP2-38829

Novus Biologicals, part of Bio-Techne
Catalog #
Availability
Size / Price
Qty
Loading...
NBP2-38829
NBP2-38829-25ul

Key Product Details

Species Reactivity

Validated:

Human

Predicted:

Mouse (100%), Rat (100%). Backed by our 100% Guarantee.

Applications

Immunohistochemistry, Immunohistochemistry-Paraffin, Western Blot

Label

Unconjugated

Antibody Source

Polyclonal Rabbit IgG

Format

BSA Free

Concentration

Concentrations vary lot to lot. See vial label for concentration. If unlisted please contact technical services.

Product Specifications

Immunogen

This antibody was developed against a recombinant protein corresponding to amino acids: PARLYHKKVVDHYENPRNVGSLDKTSKNVGTGLVGAPACGDVMKLQIQVDEKGKIVDARFK

Clonality

Polyclonal

Host

Rabbit

Isotype

IgG

Description

Novus Biologicals Rabbit ISCU Antibody - BSA Free (NBP2-38829) is a polyclonal antibody validated for use in IHC and WB. All Novus Biologicals antibodies are covered by our 100% guarantee.

Scientific Data Images for ISCU Antibody - BSA Free

Western Blot: ISCU Antibody [NBP2-38829]

Western Blot: ISCU Antibody [NBP2-38829]

Western Blot: ISCU Antibody [NBP2-38829] - Lane 1: Marker [kDa] 250, 130, 100, 70, 55, 35, 25, 15, 10
Lane 2: Human Liver tissue
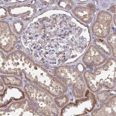
Immunohistochemistry-Paraffin: ISCU Antibody [NBP2-38829]

Immunohistochemistry-Paraffin: ISCU Antibody [NBP2-38829]

Immunohistochemistry-Paraffin: ISCU Antibody [NBP2-38829] - Staining of human kidney shows moderate cytoplasmic positivity in cells in tubules.

Applications for ISCU Antibody - BSA Free

Application
Recommended Usage

Immunohistochemistry

1:200 - 1:500

Immunohistochemistry-Paraffin

1:200 - 1:500

Western Blot

0.04-0.4 ug/ml
Application Notes
For IHC-Paraffin, HIER pH 6 retrieval is recommended.

Formulation, Preparation, and Storage

Purification

Affinity purified

Formulation

PBS (pH 7.2) and 40% Glycerol

Format

BSA Free

Preservative

0.02% Sodium Azide

Concentration

Concentrations vary lot to lot. See vial label for concentration. If unlisted please contact technical services.

Shipping

The product is shipped with polar packs. Upon receipt, store it immediately at the temperature recommended below.

Stability & Storage

Store at 4C short term. Aliquot and store at -20C long term. Avoid freeze-thaw cycles.

Background: ISCU

Iron-sulfur (Fe-S) clusters are necessary for several mitochondrial enzymes and other subcellular compartment proteins. They contain sulfur and iron, and are created via several steps that include cysteine desulfurases, iron donors, chaperones, and scaffold proteins. This gene encodes the two isomeric forms, ISCU1 and ISCU2, of the Fe-S cluster scaffold protein. Mutations in this gene have been found in patients with myopathy with severe exercise intolerance and myoglobinuria.

Alternate Names

2310020H20Rik, HML, hnifU, iron-sulfur cluster assembly enzyme ISCU, mitochondrial, iron-sulfur cluster scaffold homolog (E. coli), IscU, IscU iron-sulfur cluster scaffold homolog, IscU iron-sulfur cluster scaffold homolog (E. coli), ISU2, MGC74517, NIFU, NifU-like N-terminal domain containing, NifU-like N-terminal domain-containing protein, NifU-like protein, NIFUN

Gene Symbol

ISCU

UniProt

Additional ISCU Products

Product Documents for ISCU Antibody - BSA Free

Certificate of Analysis

To download a Certificate of Analysis, please enter a lot number in the search box below.

Product Specific Notices for ISCU Antibody - BSA Free

This product is for research use only and is not approved for use in humans or in clinical diagnosis. Primary Antibodies are guaranteed for 1 year from date of receipt.

Loading...
Loading...
Loading...
Loading...