IRS1 Antibody - BSA Free
Novus Biologicals, part of Bio-Techne | Catalog # NB100-82001
Key Product Details
Species Reactivity
Validated:
Human, Mouse, Rat, Porcine
Cited:
Mouse, Rat, Porcine
Applications
Validated:
Immunohistochemistry, Immunohistochemistry-Paraffin, Western Blot, Immunocytochemistry/ Immunofluorescence, Simple Western
Cited:
Immunohistochemistry, Western Blot, Simple Western
Label
Unconjugated
Antibody Source
Polyclonal Rabbit IgG
Format
BSA Free
Concentration
1.0 mg/ml
Product Specifications
Immunogen
Peptide sequence around amino acids 634~638 (P-M-S-P-K) derived from Human IRS1.
Reactivity Notes
Porcine reactivity reported in scientific literature (PMID: 29684161).
Specificity
Detects endogenous levels of total IRS1 protein.
Clonality
Polyclonal
Host
Rabbit
Isotype
IgG
Theoretical MW
180 kDa.
Disclaimer note: The observed molecular weight of the protein may vary from the listed predicted molecular weight due to post translational modifications, post translation cleavages, relative charges, and other experimental factors.
Disclaimer note: The observed molecular weight of the protein may vary from the listed predicted molecular weight due to post translational modifications, post translation cleavages, relative charges, and other experimental factors.
Description
Novus Biologicals Rabbit IRS1 Antibody - BSA Free (NB100-82001) is a polyclonal antibody validated for use in IHC, WB, ICC/IF and Simple Western. Anti-IRS1 Antibody: Cited in 4 publications. All Novus Biologicals antibodies are covered by our 100% guarantee.
Scientific Data Images for IRS1 Antibody - BSA Free
Western Blot: IRS1 Antibody [NB100-82001] - Analysis of extracts from 293 cells using NB100-82001
Western Blot: IRS1 Antibody [NB100-82001] - Analysis of extracts from 293 cells using NB100-82001Immunocytochemistry/ Immunofluorescence: IRS1 Antibody - BSA Free [NB100-82001] -
Immunocytochemistry/ Immunofluorescence: IRS1 Antibody - BSA Free [NB100-82001] - Immunofluorescence staining of methanol-fixed Hela cells using NB100-82001.Immunohistochemistry-Paraffin: IRS1 Antibody [NB100-82001] -
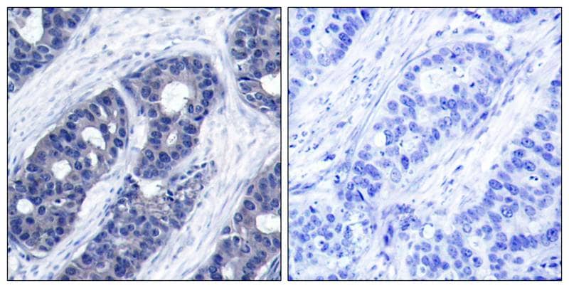
Immunohistochemistry-Paraffin: IRS1 Antibody [NB100-82001] - Analysis of breast carcinoma tissue, using NB100-82001(left) or the same antibody preincubated with blocking peptide(right).Applications for IRS1 Antibody - BSA Free
Application
Recommended Usage
Immunocytochemistry/ Immunofluorescence
1:100-1:200
Immunohistochemistry
1:50-1:100
Immunohistochemistry-Paraffin
1:50-1:100
Western Blot
1:500-1:1000
Application Notes
See Simple Western Antibody Database for Simple Western validation
Formulation, Preparation, and Storage
Purification
Immunogen affinity purified
Formulation
PBS (without Mg2+ and Ca2+), pH 7.4, 150 mM NaCl, 50% glycerol
Format
BSA Free
Preservative
0.02% Sodium Azide
Concentration
1.0 mg/ml
Shipping
The product is shipped with polar packs. Upon receipt, store it immediately at the temperature recommended below.
Stability & Storage
Store at 4C short term. Aliquot and store at -20C long term. Avoid freeze-thaw cycles.
Background: IRS1
Long Name
Insulin Receptor Substrate 1
Alternate Names
HIRS-1, insulin receptor substrate 1, IRS-1
Gene Symbol
IRS1
UniProt
Additional IRS1 Products
Product Documents for IRS1 Antibody - BSA Free
Product Specific Notices for IRS1 Antibody - BSA Free
This product is for research use only and is not approved for use in humans or in clinical diagnosis. Primary Antibodies are guaranteed for 1 year from date of receipt.
Loading...
Loading...
Loading...
Loading...