Skip to main content

IRF4 Antibody (MUM1/8560R)

Novus Biologicals, part of Bio-Techne | Catalog # NBP3-20563

Recombinant Monoclonal Antibody
Novus Biologicals, part of Bio-Techne
Catalog #
Availability
Size / Price
Qty
Loading...
NBP3-20563-20ug
NBP3-20563-100ug

Key Product Details

Species Reactivity

Human

Applications

Immunohistochemistry-Paraffin

Label

Unconjugated

Antibody Source

Recombinant Monoclonal Rabbit IgG Kappa Clone # MUM1/8560R

Concentration

0.2 mg/ml

Product Specifications

Immunogen

Recombinant fragment (corresponding to C-terminal) of IRF4 protein (exact sequence is proprietary)

Localization

Nucleus.

Clonality

Monoclonal

Host

Rabbit

Isotype

IgG Kappa

Description

Positive Controls: Human tonsil or diffuse large B-cell lymphoma (DLBCL).

Antibody with azide - store at 2 to 8C. Non-hazardous. No MSDS required.

Scientific Data Images for IRF4 Antibody (MUM1/8560R)

IRF4 Antibody (MUM1/8560R)

IRF4 Antibody (MUM1/8560R)

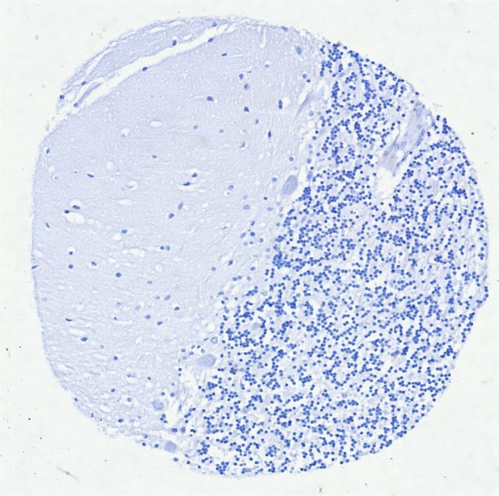
F IHC analysis of formalin-fixed, paraffin-embedded human brain. Negative tissue control using IRF4 antibody (MUM1/8560R) at 2ug/ml in PBS for 30min RT. HIER: Tris/EDTA, pH9.0, 45min. Secondary: HRP-polymer, 30min. DAB, 5min.
IRF4 Antibody (MUM1/8560R)

IRF4 Antibody (MUM1/8560R)

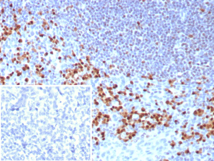
Formalin-fixed, paraffin-embedded human tonsil stained with IRF4 antibody (MUM1/8560R). Inset: PBS instead of primary antibody; secondary only negative control.
IRF4 Antibody (MUM1/8560R)

IRF4 Antibody (MUM1/8560R)

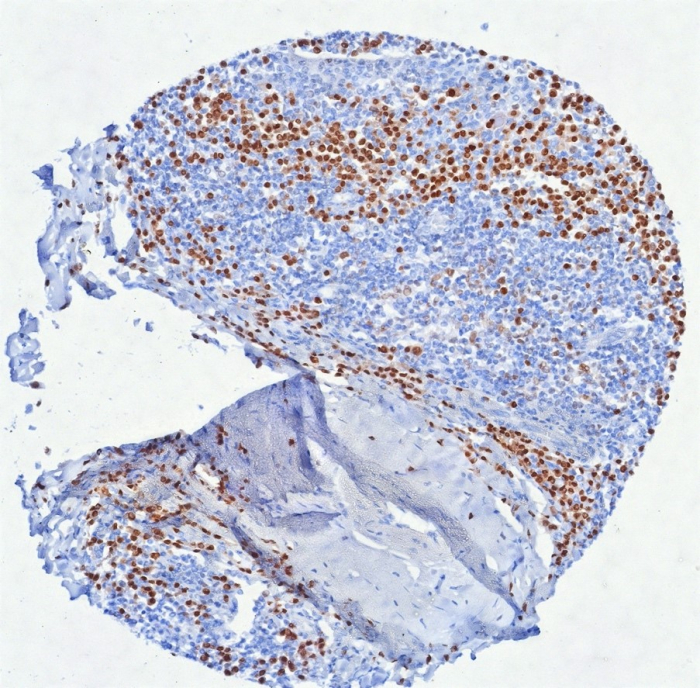
Formalin-fixed, paraffin-embedded human tonsil stained with IRF4 antibody (MUM1/8560R). HIER: Tris/EDTA, pH9.0, 45min. Secondary: HRP-polymer, 30min. DAB, 5min.

Applications for IRF4 Antibody (MUM1/8560R)

Application
Recommended Usage

Immunohistochemistry-Paraffin

1-2 ug/ml
Application Notes
Immunohistochemistry (Formalin-fixed): 1-2ug/ml for 30 minutes. at RT. Staining of formalin-fixed tissues requires heating tissue sections in 10mM Tris with 1mM EDTA, pH 9.0, for 45 min at 95C followed by cooling at RT for 20 minutes.

Optimal dilution for a specific application should be determined.

Formulation, Preparation, and Storage

Purification

Protein A or G purified

Formulation

10mM PBS with 0.05% BSA

Preservative

0.05% Sodium Azide

Concentration

0.2 mg/ml

Shipping

The product is shipped with polar packs. Upon receipt, store it immediately at the temperature recommended below.

Stability & Storage

Store at 4C. Do not freeze.

Background: IRF4

Transcriptional activator. Binds to the interferon-stimulated response element (ISRE) of the MHC class I promoter. Binds the immunoglobulin lambda light chain enhancer, together with PU.1. Probably plays a role in ISRE-targeted signal transduction mechanisms specific to lymphoid cells

Long Name

Interferon Regulatory Factor 4

Alternate Names

LSIRF, MUM1, NF-EM5

Gene Symbol

IRF4

Additional IRF4 Products

Product Documents for IRF4 Antibody (MUM1/8560R)

Certificate of Analysis

To download a Certificate of Analysis, please enter a lot number in the search box below.

Product Specific Notices for IRF4 Antibody (MUM1/8560R)

This product is for research use only and is not approved for use in humans or in clinical diagnosis. Primary Antibodies are guaranteed for 1 year from date of receipt.

Loading...
Loading...
Loading...
Loading...