Skip to main content

IQGAP2 Antibody - Azide and BSA Free

Novus Biologicals, part of Bio-Techne | Catalog # NBP3-04682

Novus Biologicals, part of Bio-Techne
Catalog #
Availability
Size / Price
Qty
Loading...
NBP3-04682-100ul
NBP3-04682-20ul

Key Product Details

Species Reactivity

Human, Mouse, Rat

Applications

Immunohistochemistry, Immunohistochemistry-Paraffin, Western Blot

Label

Unconjugated

Antibody Source

Polyclonal Rabbit IgG

Format

Azide and BSA Free

Concentration

Please see the vial label for concentration. If unlisted please contact technical services.

Product Specifications

Immunogen

Recombinant fusion protein containing a sequence corresponding to amino acids 1330-1440 of human IQGAP2 (NP_006624.2). QQEVDHATDMVSRAMIDSRTPEEMKHSQSMIEDAQLPLEQKKRKIQRNLRTLEQTGHVSSENKYQDILNEIAKDIRNQRIYRKLRKAELAKLQQTLNALNKKAAFYEEQIN

Clonality

Polyclonal

Host

Rabbit

Isotype

IgG

Description

Novus Biologicals Rabbit IQGAP2 Antibody - Azide and BSA Free (NBP3-04682) is a polyclonal antibody validated for use in IHC and WB. All Novus Biologicals antibodies are covered by our 100% guarantee.

Scientific Data Images for IQGAP2 Antibody - Azide and BSA Free

Western Blot: IQGAP2 AntibodyAzide and BSA Free [NBP3-04682]

Western Blot: IQGAP2 AntibodyAzide and BSA Free [NBP3-04682]

Western Blot: IQGAP2 Antibody [NBP3-04682] - Analysis of extracts of various cell lines, using IQGAP2 antibody at 1:1000 dilution. Secondary antibody: HRP Goat Anti-Rabbit IgG (H+L) at 1:10000 dilution. Lysates/proteins: 25ug per lane. Blocking buffer: 3% nonfat dry milk in TBST. Detection: ECL Basic Kit
Immunohistochemistry-Paraffin: IQGAP2 Antibody - Azide and BSA Free [NBP3-04682]

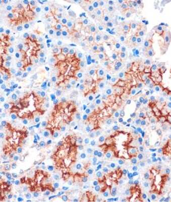
Immunohistochemistry-Paraffin: IQGAP2 Antibody - Azide and BSA Free [NBP3-04682]

Immunohistochemistry-Paraffin: IQGAP2 Antibody [NBP3-04682] - Immunohistochemistry of paraffin-embedded Rat kidney using IQGAP2 Rabbit pAb (NBP3-04682) at dilution of 1:100 (40x lens). Perform microwave antigen retrieval with 10 mM PBS buffer pH 7.2 before commencing with IHC staining protocol.
Immunohistochemistry-Paraffin: IQGAP2 Antibody - Azide and BSA Free [NBP3-04682]

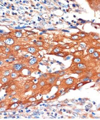
Immunohistochemistry-Paraffin: IQGAP2 Antibody - Azide and BSA Free [NBP3-04682]

Immunohistochemistry-Paraffin: IQGAP2 Antibody [NBP3-04682] - Immunohistochemistry of paraffin-embedded Human breast cancer using IQGAP2 Rabbit pAb (NBP3-04682) at dilution of 1:100 (40x lens). Perform microwave antigen retrieval with 10 mM PBS buffer pH 7.2 before commencing with IHC staining protocol.

Applications for IQGAP2 Antibody - Azide and BSA Free

Application
Recommended Usage

Immunohistochemistry

1:50-1:200

Western Blot

1:200-1:2000

Formulation, Preparation, and Storage

Purification

Affinity purified

Formulation

PBS (pH 7.3), 50% glycerol

Format

Azide and BSA Free

Preservative

0.01% Thimerosal

Concentration

Please see the vial label for concentration. If unlisted please contact technical services.

Shipping

The product is shipped with polar packs. Upon receipt, store it immediately at the temperature recommended below.

Stability & Storage

Store at -20C. Avoid freeze-thaw cycles.

Background: IQGAP2

The IQGAP2 gene encodes a member of the IQGAP family. The protein contains three IQ domains, one calponin homology domain, one Ras-GAP domain and one WW domain. It interacts with components of the cytoskeleton, with cell adhesion molecules, and with several sig

Long Name

IQ Motif Containing GTPase Activating Protein 2

Alternate Names

IQ motif containing GTPase activating protein 2, ras GTPase-activating-like protein IQGAP2

Gene Symbol

IQGAP2

Additional IQGAP2 Products

Product Documents for IQGAP2 Antibody - Azide and BSA Free

Certificate of Analysis

To download a Certificate of Analysis, please enter a lot number in the search box below.

Product Specific Notices for IQGAP2 Antibody - Azide and BSA Free

This product is for research use only and is not approved for use in humans or in clinical diagnosis. Primary Antibodies are guaranteed for 1 year from date of receipt.

Loading...
Loading...
Loading...
Loading...

⚠ WARNING: This product can expose you to chemicals including Methotrexate, which is known to the State of California to cause reproductive toxicity with developmental effects. For more information, go to www.P65Warnings.ca.gov