Skip to main content

Inversin Antibody - BSA Free

Novus Biologicals, part of Bio-Techne | Catalog # NBP3-46466

Novus Biologicals, part of Bio-Techne
Catalog #
Availability
Size / Price
Qty
Loading...
NBP3-46466

Key Product Details

Species Reactivity

Human, Mouse, Rat

Applications

Immunohistochemistry, Western Blot, ELISA, Immunocytochemistry/ Immunofluorescence

Label

Unconjugated

Antibody Source

Polyclonal Rabbit IgG

Format

BSA Free

Concentration

Please see the vial label for concentration. If unlisted please contact technical services.

Product Specifications

Immunogen

inversin. (Uniprot# Q9Y283)

Clonality

Polyclonal

Host

Rabbit

Isotype

IgG

Description

Novus Biologicals Rabbit Inversin Antibody - BSA Free (NBP3-46466) is a polyclonal antibody validated for use in IHC, WB, ELISA and ICC/IF. All Novus Biologicals antibodies are covered by our 100% guarantee.

Scientific Data Images for Inversin Antibody - BSA Free

Inversin Antibody - BSA Free

Western Blot: Inversin Antibody - BSA Free [NBP3-46466] -

Western Blot: Inversin Antibody - BSA Free [NBP3-46466] - MCF7 cells were subjected to SDS PAGE followed by western blot with (Inversin antibody) at dilution of 1:100
Inversin Antibody - BSA Free

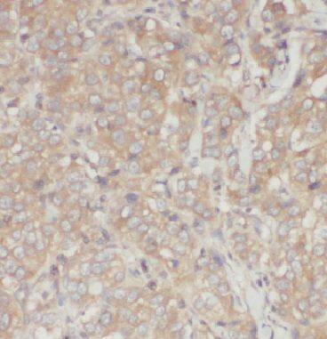
Immunohistochemistry: Inversin Antibody - BSA Free [NBP3-46466] -

Immunohistochemistry: Inversin Antibody - BSA Free [NBP3-46466] - Immunohistochemistry of paraffin-embedded human breast cancer using (Inversin antibody) at dilution of 1:100

Applications for Inversin Antibody - BSA Free

Application
Recommended Usage

Immunocytochemistry/ Immunofluorescence

1:20-1:200

Immunohistochemistry

1:20-1:200

Western Blot

1:500-1:2000
Application Notes
Theoretical Molecular Weight is 110-115 kDa

Formulation, Preparation, and Storage

Purification

Immunogen affinity purified

Formulation

PBS, 50% Glycerol, pH (7.3)

Format

BSA Free

Preservative

0.02% Sodium Azide

Concentration

Please see the vial label for concentration. If unlisted please contact technical services.

Shipping

The product is shipped with polar packs. Upon receipt, store it immediately at the temperature recommended below.

Stability & Storage

Store at -20C. Avoid freeze-thaw cycles.

Background: Inversin

Inversin encodes a protein containing multiple ankyrin domains and two IQ calmodulin-binding domains. The encoded protein may function in renal tubular development and function, and in left-right axis determination. This protein interacts with nephrocystin and infers a connection between primary cilia function and left-right axis determination. A similar protein in mice interacts with calmodulin. Mutations in this gene have been associated with nephronophthisis type 2. Two transcript variants encoding distinct isoforms have been identified for this gene. [provided by RefSeq]

Alternate Names

inversin, Inversion of embryo turning homolog, INVMGC133081, KIAA0573, MGC133080, nephrocystin 2, Nephrocystin-2, nephronophthisis 2 (infantile), NPH2, NPHP2inversion of embryonic turning

Gene Symbol

INVS

Additional Inversin Products

Product Documents for Inversin Antibody - BSA Free

Certificate of Analysis

To download a Certificate of Analysis, please enter a lot number in the search box below.

Product Specific Notices for Inversin Antibody - BSA Free

This product is for research use only and is not approved for use in humans or in clinical diagnosis. Primary Antibodies are guaranteed for 1 year from date of receipt.

Loading...
Loading...
Loading...
Loading...