Skip to main content

INTS8 Antibody - BSA Free

Novus Biologicals, part of Bio-Techne | Catalog # NB100-459

Novus Biologicals, part of Bio-Techne
Catalog #
Availability
Size / Price
Qty
Loading...
NB100-459

Key Product Details

Species Reactivity

Human

Applications

Immunohistochemistry, Immunohistochemistry-Paraffin, Western Blot

Label

Unconjugated

Antibody Source

Polyclonal Rabbit IgG

Format

BSA Free

Concentration

1.0 mg/ml

Product Specifications

Immunogen

The immunogen recognized by this antibody maps to a region between residues 200 and 250 of human FLJ20530/KAONASHI1 using the numbering given in TrEMBL entry Q7Z314 (GeneID 55656).

Clonality

Polyclonal

Host

Rabbit

Isotype

IgG

Scientific Data Images for INTS8 Antibody - BSA Free

Western Blot: INTS8 Antibody [NB100-459]

Western Blot: INTS8 Antibody [NB100-459]

Western Blot: INTS8 Antibody [NB100-459] - Detection of Human FLJ20530/KAONASHI1 by Western Blot. Samples : Nuclear extract (NE) from HeLa cells. Antibody : Affinity purified rabbit anti-FLJ20530/KAONASHI1 antibody used at 0.2 ug/ml. Detection : Chemiluminescence with an exposure time of 20 minutes.
Immunohistochemistry: INTS8 Antibody [NB100-459]

Immunohistochemistry: INTS8 Antibody [NB100-459]

Immunohistochemistry: INTS8 Antibody [NB100-459] - Sample: FFPE section of human breast carcinoma. Antibody: Affinity purified rabbit anti- FLJ20530/KAONASHI1 used at a dilution of 1:1,000 (1ug/ml). Detection: DAB
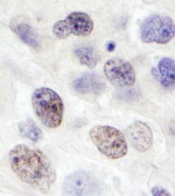
Immunohistochemistry-Paraffin: INTS8 Antibody [NB100-459]

Immunohistochemistry-Paraffin: INTS8 Antibody [NB100-459]

Immunohistochemistry-Paraffin: INTS8 Antibody [NB100-459] - FFPE section of human breast carcinoma. Affinity purified rabbit anti-INT4 used at a dilution of 1:250. Detection: DAB staining using Immunohistochemistry Accessory Kit.

Applications for INTS8 Antibody - BSA Free

Application
Recommended Usage

Immunohistochemistry

1:10-1:500

Immunohistochemistry-Paraffin

1:500 - 1:2000

Western Blot

1:2500-1:15000
Application Notes
Epitope retrieval with Tris-EDTA pH9.0 is recommended for FFPE tissue sections.

Formulation, Preparation, and Storage

Purification

Immunogen affinity purified

Formulation

Tris-Citrate/Phosphate (pH 7.0 - 8.0)

Format

BSA Free

Preservative

0.09% Sodium Azide

Concentration

1.0 mg/ml

Shipping

The product is shipped with polar packs. Upon receipt, store it immediately at the temperature recommended below.

Stability & Storage

Store at 4C. Do not freeze.

Background: INTS8

FLJ20530 is a component of the Integrator complex, a complex involved in the small nuclear RNAs (snRNA) U1 and U2 transcription and in their 3' box-dependent processing. The Integrator complex is associated with the C-terminal domain (CTD) of RNA polymerase II largest subunit (POLR2A) and is recruited to the U1 and U2 snRNAs genes.

Alternate Names

C8orf52, FLJ20530, INT8, integrator complex subunit 8, protein kaonashi-1

Entrez Gene IDs

55656 (Human)

Gene Symbol

INTS8

UniProt

Additional INTS8 Products

Product Documents for INTS8 Antibody - BSA Free

Certificate of Analysis

To download a Certificate of Analysis, please enter a lot number in the search box below.

Product Specific Notices for INTS8 Antibody - BSA Free

This product is for research use only and is not approved for use in humans or in clinical diagnosis. Primary Antibodies are guaranteed for 1 year from date of receipt.

Loading...
Loading...
Loading...
Loading...