Skip to main content

INTS6 Antibody

Novus Biologicals, part of Bio-Techne | Catalog # NB100-86990

Novus Biologicals, part of Bio-Techne
Catalog #
Availability
Size / Price
Qty
Loading...
NB100-86990

Key Product Details

Validated by

Independent Antibodies

Species Reactivity

Validated:

Human

Cited:

Human

Applications

Validated:

Immunohistochemistry, Immunohistochemistry-Paraffin, Western Blot, Immunoprecipitation

Cited:

Western Blot

Label

Unconjugated

Antibody Source

Polyclonal Rabbit IgG

Concentration

0.2 mg/ml

Product Specifications

Immunogen

The immunogen recognized by this antibody maps to a region between residue 750 and 800 of human integrator complex subunit 6 using the numbering given in entry NP_036273.1 (GeneID 26512).

Clonality

Polyclonal

Host

Rabbit

Isotype

IgG

Scientific Data Images for INTS6 Antibody

Western Blot: INTS6 Antibody [NB100-86990]

Western Blot: INTS6 Antibody [NB100-86990]

Western Blot: INTS6 Antibody [NB100-86990] - Detection of Human INT6 NB100-86990. INT6 was also immunoprecipitated by another rabbit anti-INT6 antibody.
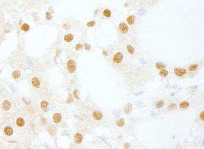
Immunohistochemistry-Paraffin: INTS6 Antibody [NB100-86990]

Immunohistochemistry-Paraffin: INTS6 Antibody [NB100-86990]

Immunohistochemistry-Paraffin: INTS6 Antibody [NB100-86990] - Human thyroid carcinoma. Antibody used at a dilution of 1:200 (1ug/ml).

Applications for INTS6 Antibody

Application
Recommended Usage

Immunohistochemistry

1:100-1:500

Immunohistochemistry-Paraffin

1:100-1:500

Immunoprecipitation

2 - 5 ug/mg lysate

Western Blot

1:2000-1:10000
Application Notes
Epitope retrieval with citrate buffer pH6.0 is recommended for FFPE tissue sections.

Formulation, Preparation, and Storage

Purification

Immunogen affinity purified

Formulation

TBS and 0.1% BSA

Preservative

0.09% Sodium Azide

Concentration

0.2 mg/ml

Shipping

The product is shipped with polar packs. Upon receipt, store it immediately at the temperature recommended below.

Stability & Storage

Store at 4C. Do not freeze.

Background: INTS6

DEAD box proteins, characterized by the conserved motif Asp-Glu-Ala-Asp (DEAD), are putative RNA helicases. The protein encoded by this gene is a DEAD box protein that is part of a complex that interacts with the C-terminus of RNA polymerase II and is involved in 3' end processing of snRNAs. In addition, this gene is a candidate tumor suppressor and located in the critical region of loss of heterozygosity (LOH). Three transcript variants encoding two different isoforms have been found for this gene. [provided by RefSeq]

Alternate Names

DBI1, DEAD/H (Asp-Glu-Ala-Asp/His) box polypeptide 26, DICE1DBI-1DDX26ADDX26DEAD box protein, DKFZp434B105, HDB, Int6, integrator complex subunit 6, Notchl2, Protein DDX26, Protein deleted in cancer 1, RNA helicase HDB

Entrez Gene IDs

26512 (Human)

Gene Symbol

INTS6

Additional INTS6 Products

Product Documents for INTS6 Antibody

Certificate of Analysis

To download a Certificate of Analysis, please enter a lot number in the search box below.

Product Specific Notices for INTS6 Antibody

This product is for research use only and is not approved for use in humans or in clinical diagnosis. Primary Antibodies are guaranteed for 1 year from date of receipt.

Loading...
Loading...
Loading...
Loading...