Skip to main content

INTS11 Antibody - BSA Free

Novus Biologicals, part of Bio-Techne | Catalog # NBP1-85474

Novus Biologicals, part of Bio-Techne
Catalog #
Availability
Size / Price
Qty
Loading...
NBP1-85474
NBP1-85474-25ul

Key Product Details

Species Reactivity

Validated:

Human

Predicted:

Mouse (96%), Rat (95%). Backed by our 100% Guarantee.

Applications

Immunohistochemistry, Immunohistochemistry-Paraffin

Label

Unconjugated

Antibody Source

Polyclonal Rabbit IgG

Format

BSA Free

Concentration

Concentrations vary lot to lot. See vial label for concentration. If unlisted please contact technical services.

Product Specifications

Immunogen

This antibody was developed against Recombinant Protein corresponding to amino acids: LVGQAEPESVLLVHGEAKKMEFLKQKIEQELRVNCYMPANGETVTLPTSPSIPVGISLGLLKREMAQGLLPEAKKPRLLHGTLIMKDSNFRLVSSEQALK

Reactivity Notes

Reactivity reported in scientific literature (PMID: 23435261)

Clonality

Polyclonal

Host

Rabbit

Isotype

IgG

Description

Novus Biologicals Rabbit INTS11 Antibody - BSA Free (NBP1-85474) is a polyclonal antibody validated for use in IHC. Anti-INTS11 Antibody: Cited in 1 publication. All Novus Biologicals antibodies are covered by our 100% guarantee.

Scientific Data Images for INTS11 Antibody - BSA Free

Immunohistochemistry-Paraffin: INTS11 Antibody [NBP1-85474]

Immunohistochemistry-Paraffin: INTS11 Antibody [NBP1-85474]

Immunohistochemistry-Paraffin: INTS11 Antibody [NBP1-85474] - Staining of human uterine cervix shows weak nuclear positivity in squamous epithelial cells.
Immunohistochemistry-Paraffin: INTS11 Antibody [NBP1-85474]

Immunohistochemistry-Paraffin: INTS11 Antibody [NBP1-85474]

Immunohistochemistry-Paraffin: INTS11 Antibody [NBP1-85474] - Staining of human stomach shows moderate to strong cytoplasmic positivity in glandular cells.
Immunohistochemistry-Paraffin: INTS11 Antibody [NBP1-85474]

Immunohistochemistry-Paraffin: INTS11 Antibody [NBP1-85474]

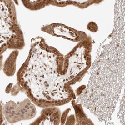
Immunohistochemistry-Paraffin: INTS11 Antibody [NBP1-85474] - Staining of human placenta shows moderate to strong cytoplasmic positivity in trophoblastic cells.

Applications for INTS11 Antibody - BSA Free

Application
Recommended Usage

Immunohistochemistry

1:50 - 1:200

Immunohistochemistry-Paraffin

1:50 - 1:200
Application Notes
For IHC-Paraffin, HIER pH 6 retrieval is recommended.

Formulation, Preparation, and Storage

Purification

Immunogen affinity purified

Formulation

PBS (pH 7.2) and 40% Glycerol

Format

BSA Free

Preservative

0.02% Sodium Azide

Concentration

Concentrations vary lot to lot. See vial label for concentration. If unlisted please contact technical services.

Shipping

The product is shipped with polar packs. Upon receipt, store it immediately at the temperature recommended below.

Stability & Storage

Store at 4C short term. Aliquot and store at -20C long term. Avoid freeze-thaw cycles.

Background: INTS11

INT11 has been identified as a component of the twelve-subunit integrator complex that functions in RNA Pol II mediated 3'-end mRNA processing of the U1 and U2 small nuclear RNAs (snRNAs). INT11 is a beta-lactamase family member that has sequence similarity to the cleavage and polyadenylation specificity factors CPSF-73 and CPSF-100.

Alternate Names

cleavage and polyadenylation specific factor 3-like, Cleavage and polyadenylation-specific factor 3-like protein, CPSF3-like protein, EC 3.1.27, EC 3.1.27.-, FLJ20542, INT11, integrator complex subunit 11, INTS11FLJ13294, Protein related to CPSF subunits of 68 kDa, RC68, RC-68CPSF73L, related to CPSF subunits 68 kDa

Gene Symbol

INTS11

Additional INTS11 Products

Product Documents for INTS11 Antibody - BSA Free

Certificate of Analysis

To download a Certificate of Analysis, please enter a lot number in the search box below.

Product Specific Notices for INTS11 Antibody - BSA Free

This product is for research use only and is not approved for use in humans or in clinical diagnosis. Primary Antibodies are guaranteed for 1 year from date of receipt.

Loading...
Loading...
Loading...
Loading...