Skip to main content

Integrin beta-like protein 1 Antibody - BSA Free

Novus Biologicals, part of Bio-Techne | Catalog # NBP1-82473

Novus Biologicals, part of Bio-Techne
Catalog #
Availability
Size / Price
Qty
Loading...
NBP1-82473-25ul
NBP1-82473

Key Product Details

Species Reactivity

Validated:

Human

Cited:

Mouse

Predicted:

Mouse (92%), Rat (93%). Backed by our 100% Guarantee.

Applications

Validated:

Immunohistochemistry, Immunohistochemistry-Paraffin

Cited:

Western Blot

Label

Unconjugated

Antibody Source

Polyclonal Rabbit IgG

Format

BSA Free

Concentration

Concentrations vary lot to lot. See vial label for concentration. If unlisted please contact technical services.

Product Specifications

Immunogen

This antibody was developed against Recombinant Protein corresponding to amino acids: VCGECTCHDVDPTGDWGDIHGDTCECDERDCRAVYDRYSDDFCSGHGQCNCGRCDCKAGWYGKKCEHPQSCTLSAEESIRKCQGSSDLPCSGRGKCECGKCTCYPPGDRRVYGKTCECDDRRCEDLDGV

Clonality

Polyclonal

Host

Rabbit

Isotype

IgG

Description

Novus Biologicals Rabbit Integrin beta-like protein 1 Antibody - BSA Free (NBP1-82473) is a polyclonal antibody validated for use in IHC and WB. Anti-Integrin beta-like protein 1 Antibody: Cited in 1 publication. All Novus Biologicals antibodies are covered by our 100% guarantee.

Scientific Data Images for Integrin beta-like protein 1 Antibody - BSA Free

Immunohistochemistry-Paraffin: Integrin beta-like protein 1 Antibody [NBP1-82473]

Immunohistochemistry-Paraffin: Integrin beta-like protein 1 Antibody [NBP1-82473]

Immunohistochemistry-Paraffin: Integrin beta-like protein 1 Antibody [NBP1-82473] - Staining of human colorectal cancer shows moderate positivity.
Immunohistochemistry-Paraffin: Integrin beta-like protein 1 Antibody [NBP1-82473]

Immunohistochemistry-Paraffin: Integrin beta-like protein 1 Antibody [NBP1-82473]

Immunohistochemistry-Paraffin: Integrin beta-like protein 1 Antibody [NBP1-82473] - Staining of human lung shows strong cytoplasmic positivity in macrophages.
Immunohistochemistry-Paraffin: Integrin beta-like protein 1 Antibody [NBP1-82473]

Immunohistochemistry-Paraffin: Integrin beta-like protein 1 Antibody [NBP1-82473]

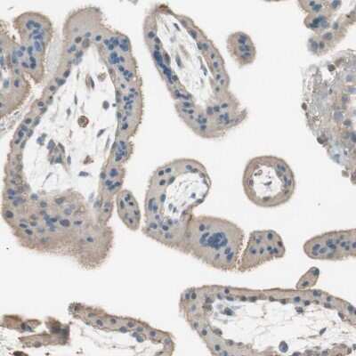
Immunohistochemistry-Paraffin: Integrin beta-like protein 1 Antibody [NBP1-82473] - Staining of human placenta shows moderate cytoplasmic positivity in trophoblastic cells.

Applications for Integrin beta-like protein 1 Antibody - BSA Free

Application
Recommended Usage

Immunohistochemistry

1:200 - 1:500

Immunohistochemistry-Paraffin

1:200 - 1:500
Application Notes
For IHC-Paraffin, HIER pH 6 retrieval is recommended.

Formulation, Preparation, and Storage

Purification

Affinity purified

Formulation

PBS (pH 7.2) and 40% Glycerol

Format

BSA Free

Preservative

0.02% Sodium Azide

Concentration

Concentrations vary lot to lot. See vial label for concentration. If unlisted please contact technical services.

Shipping

The product is shipped with polar packs. Upon receipt, store it immediately at the temperature recommended below.

Stability & Storage

Store at 4C short term. Aliquot and store at -20C long term. Avoid freeze-thaw cycles.

Background: ITGBL1

Integrins are transmembrane proteins that mediate interactions between adhesion molecules on adjacent cells and/or the extracellular matrix (ECM). Integrins have diverse roles in several biological processes including cell migration during development and wound healing, cell differentiation, and apoptosis. Their activities can also regulate the metastatic and invasive potential of tumor cells. They exist as heterodimers consisting of alpha and beta subunits. Some alpha and beta subunits exhibit specificity for one another and may be designated as a VLA (very late antigen) member. Heterodimers often preferentially bind certain cell adhesion molecules, or constituents of the ECM. Although they have no catalytic activity, integrins can be part of multimolecular signaling complexes known as focal adhesions.

Long Name

Integrin beta-like 1

Alternate Names

Integrin beta-like 1, OSCP, TIED

Gene Symbol

ITGBL1

Additional ITGBL1 Products

Product Documents for Integrin beta-like protein 1 Antibody - BSA Free

Certificate of Analysis

To download a Certificate of Analysis, please enter a lot number in the search box below.

Product Specific Notices for Integrin beta-like protein 1 Antibody - BSA Free

This product is for research use only and is not approved for use in humans or in clinical diagnosis. Primary Antibodies are guaranteed for 1 year from date of receipt.

Loading...
Loading...
Loading...
Loading...