Skip to main content

Integrin beta 4/CD104 Antibody (CL6973) - BSA Free

Novus Biologicals, part of Bio-Techne | Catalog # NBP2-76525

Novus Biologicals, part of Bio-Techne
Catalog #
Availability
Size / Price
Qty
Loading...
NBP2-76525-25ul
NBP2-76525

Key Product Details

Validated by

Orthogonal Validation

Species Reactivity

Validated:

Human

Predicted:

Mouse (97%), Rat (97%). Backed by our 100% Guarantee.

Applications

Immunohistochemistry, Immunohistochemistry-Paraffin, Western Blot

Label

Unconjugated

Antibody Source

Monoclonal Mouse IgG2A Clone # CL6973

Format

BSA Free

Concentration

Concentrations vary lot to lot. See vial label for concentration. If unlisted please contact technical services.

Product Specifications

Immunogen

This antibody was developed using a recombinant protein derived from P16144, with the exact immunogen sequence remaining proprietary.

Clonality

Monoclonal

Host

Mouse

Isotype

IgG2A

Description

Novus Biologicals Mouse Integrin beta 4/CD104 Antibody (CL6973) - BSA Free (NBP2-76525) is a monoclonal antibody validated for use in IHC and WB. All Novus Biologicals antibodies are covered by our 100% guarantee.

Scientific Data Images for Integrin beta 4/CD104 Antibody (CL6973) - BSA Free

Western Blot: Integrin beta 4/CD104 Antibody (CL6973) [NBP2-76525]

Western Blot: Integrin beta 4/CD104 Antibody (CL6973) [NBP2-76525]

Western Blot: Integrin beta 4/CD104 Antibody (CL6973) [NBP2-76525] - Analysis in human cell line A-431.
Immunohistochemistry-Paraffin: Integrin beta 4/CD104 Antibody (CL6973) [NBP2-76525]

Immunohistochemistry-Paraffin: Integrin beta 4/CD104 Antibody (CL6973) [NBP2-76525]

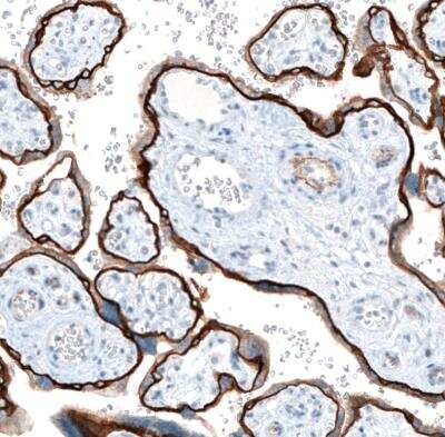
Immunohistochemistry-Paraffin: Integrin beta 4/CD104 Antibody (CL6973) [NBP2-76525] - Staining of human placenta shows strong positivity in basement membrane of trophoblastic cells.
Immunohistochemistry-Paraffin: Integrin beta 4/CD104 Antibody (CL6973) [NBP2-76525]

Immunohistochemistry-Paraffin: Integrin beta 4/CD104 Antibody (CL6973) [NBP2-76525]

Immunohistochemistry-Paraffin: Integrin beta 4/CD104 Antibody (CL6973) [NBP2-76525] - Analysis in human duodenum and liver tissues. Corresponding ITGB4 RNA-seq data are presented for the same tissues.

Applications for Integrin beta 4/CD104 Antibody (CL6973) - BSA Free

Application
Recommended Usage

Immunohistochemistry

1:5000 - 1:10000

Immunohistochemistry-Paraffin

1:5000 - 1:10000

Western Blot

1 ug/ml
Application Notes
For IHC-Paraffin, HIER pH 6 retrieval is recommended.

Formulation, Preparation, and Storage

Purification

Protein A purified

Formulation

PBS (pH 7.2) and 40% Glycerol

Format

BSA Free

Preservative

0.02% Sodium Azide

Concentration

Concentrations vary lot to lot. See vial label for concentration. If unlisted please contact technical services.

Shipping

The product is shipped with polar packs. Upon receipt, store it immediately at the temperature recommended below.

Stability & Storage

Store at 4C short term. Aliquot and store at -20C long term. Avoid freeze-thaw cycles.

Background: Integrin beta 4/CD104

Integrin beta 4 is a glycoprotein which associates with the a6 integrin to form the a6/b4 complex. Integrin alpha 6/beta 4 is a receptor for laminin. It plays a critical structural role in the hemidesmosome of epithelial cells. Defects in Integrin beta 4 gene are a cause of epidermolysis bullosa letalis with pyloric atresia (EB PA); also known as junctional epidermolysis bullosa with pyloric atresia (PA-JEB) or aplasia cutis congenita with gastrointestinal atresia. EB-PA is characterized by mucocutaneous fragility and gastrointestinal atresia, which most commonly affects the pylorus. Moreover, defects in Integrin beta 4 gene are a cause of generalized atrophic benign epidermolysis bullosa (GABEB). This nonlethal form of junctional epidermolysis bullosa is characterized by life long blistering of the skin, associated with hair and tooth abnormalities.

Alternate Names

CD104, ITGB4

Gene Symbol

ITGB4

Additional Integrin beta 4/CD104 Products

Product Documents for Integrin beta 4/CD104 Antibody (CL6973) - BSA Free

Certificate of Analysis

To download a Certificate of Analysis, please enter a lot number in the search box below.

Product Specific Notices for Integrin beta 4/CD104 Antibody (CL6973) - BSA Free

This product is for research use only and is not approved for use in humans or in clinical diagnosis. Primary Antibodies are guaranteed for 1 year from date of receipt.

Loading...
Loading...
Loading...
Loading...