Skip to main content

Integrin alpha 6/CD49f Antibody (SR45-00)

Novus Biologicals, part of Bio-Techne | Catalog # NBP2-67311

Recombinant Monoclonal Antibody
Novus Biologicals, part of Bio-Techne
Catalog #
Availability
Size / Price
Qty
Loading...
NBP2-67311

Key Product Details

Species Reactivity

Human, Mouse, Rat

Applications

Immunohistochemistry, Immunohistochemistry-Paraffin, Western Blot

Label

Unconjugated

Antibody Source

Recombinant Monoclonal Rabbit IgG Clone # SR45-00 expressed in HEK293

Concentration

1 mg/ml

Product Specifications

Immunogen

Recombinant protein within human Integrin alpha 6/CD49f aa 1-100. (SwissProt: P23229 Human; SwissProt: Q61739 Mouse; SwissProt: Q63258 Rat)

Localization

Cell membrane.

Clonality

Monoclonal

Host

Rabbit

Isotype

IgG

Description

Novus Biologicals Rabbit Integrin alpha 6/CD49f Antibody (SR45-00) (NBP2-67311) is a recombinant monoclonal antibody validated for use in IHC and WB. All Novus Biologicals antibodies are covered by our 100% guarantee.

Scientific Data Images for Integrin alpha 6/CD49f Antibody (SR45-00)

Western Blot: Integrin alpha 6/CD49f Antibody (SR45-00) [NBP2-67311]

Western Blot: Integrin alpha 6/CD49f Antibody (SR45-00) [NBP2-67311]

Western Blot: Integrin alpha 6/CD49f Antibody (SR45-00) [NBP2-67311] - Western blot analysis of Integrin alpha 6/CD49f on A431 cell lysates. Proteins were transferred to a PVDF membrane and blocked with 5% BSA in PBS for 1 hour at room temperature. The primary antibody (1/500) was used in 5% BSA at room temperature for 2 hou
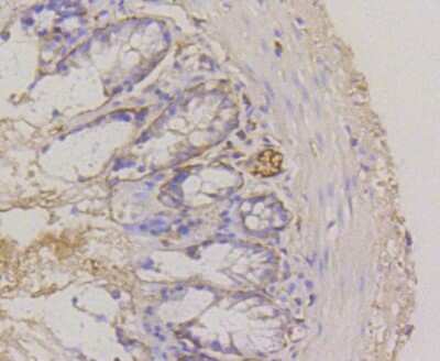
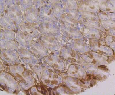
Immunohistochemistry-Paraffin: Integrin alpha 6/CD49f Antibody (SR45-00) [NBP2-67311]

Immunohistochemistry-Paraffin: Integrin alpha 6/CD49f Antibody (SR45-00) [NBP2-67311]

Immunohistochemistry-Paraffin: Integrin alpha 6/CD49f Antibody (SR45-00) [NBP2-67311] - Analysis of paraffin-embedded mouse stomach tissue using anti-Integrin alpha 6 antibody. Counter stained with hematoxylin.
Western Blot: Integrin alpha 6/CD49f Antibody (SR45-00) [NBP2-67311]

Western Blot: Integrin alpha 6/CD49f Antibody (SR45-00) [NBP2-67311]

Western Blot: Integrin alpha 6/CD49f Antibody (SR45-00) [NBP2-67311] - Analysis of Integrin alpha 6 on Raji cell lysates using anti-Integrin alpha 6 antibody at 1/500 dilution.

Applications for Integrin alpha 6/CD49f Antibody (SR45-00)

Application
Recommended Usage

Immunohistochemistry-Paraffin

1:50-1:200

Western Blot

1:500-1:1000

Formulation, Preparation, and Storage

Purification

Protein A purified

Formulation

TBS (pH7.4), 0.05% BSA, 40% Glycerol

Preservative

0.05% Sodium Azide

Concentration

1 mg/ml

Shipping

The product is shipped with polar packs. Upon receipt, store it immediately at the temperature recommended below.

Stability & Storage

Store at 4C short term. Aliquot and store at -20C long term. Avoid freeze-thaw cycles.

Background: Integrin alpha 6/CD49f

The ITGA6 protein product is the integrin alpha chain alpha 6. Integrins are integral cell-surface proteins composed of an alpha chain and a beta chain. A given chain may combine with multiple partners resulting in different integrins. For example, alpha 6 may combine with beta 4 in the integrin referred to as TSP180, or with beta 1 in the integrin VLA-6. Integrins are known to participate in cell adhesion as well as cell-surface mediated signalling. Two transcript variants encoding different isoforms have been found for this gene. (provided by RefSeq)

Alternate Names

CD49f, ITGA6, Platelet gpl, VLA-6

Gene Symbol

ITGA6

Additional Integrin alpha 6/CD49f Products

Product Documents for Integrin alpha 6/CD49f Antibody (SR45-00)

Certificate of Analysis

To download a Certificate of Analysis, please enter a lot number in the search box below.

Product Specific Notices for Integrin alpha 6/CD49f Antibody (SR45-00)

This product is for research use only and is not approved for use in humans or in clinical diagnosis. Primary Antibodies are guaranteed for 1 year from date of receipt.

Loading...
Loading...
Loading...
Loading...