Skip to main content

Integrin alpha 4/CD49d Antibody (RM268)

Novus Biologicals, part of Bio-Techne | Catalog # NBP2-61560

Recombinant Monoclonal Antibody
Novus Biologicals, part of Bio-Techne
Catalog #
Availability
Size / Price
Qty
Loading...
NBP2-61560

Key Product Details

Species Reactivity

Human

Applications

Immunohistochemistry, Immunohistochemistry-Paraffin, Western Blot

Label

Unconjugated

Antibody Source

Recombinant Monoclonal Rabbit IgG Clone # RM268 expressed in HEK293

Concentration

Please see the vial label for concentration. If unlisted please contact technical services.

Product Specifications

Immunogen

A peptide corresponding to the C-terminus of Human Integrin alpha 4/CD49d

Specificity

This antibody reacts to the cytoplasmic domain of human Integrin alpha 4/CD49d.

Clonality

Monoclonal

Host

Rabbit

Isotype

IgG

Description

Novus Biologicals Rabbit Integrin alpha 4/CD49d Antibody (RM268) (NBP2-61560) is a recombinant monoclonal antibody validated for use in IHC and WB. All Novus Biologicals antibodies are covered by our 100% guarantee.

Scientific Data Images for Integrin alpha 4/CD49d Antibody (RM268)

Western Blot: Integrin alpha 4/CD49d Antibody (RM268) [NBP2-61560]

Western Blot: Integrin alpha 4/CD49d Antibody (RM268) [NBP2-61560]

Western Blot: Integrin alpha 4/CD49d Antibody (RM268) [NBP2-61560] - Western Blot of Jurkat cells lysates using NBP2-61560.
Integrin alpha 4/CD49d Antibody (RM268)

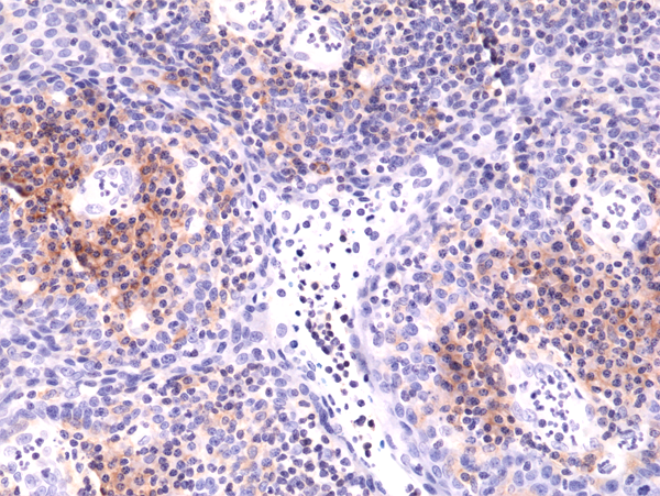
Immunohistochemistry-Paraffin: Integrin alpha 4/CD49d Antibody (RM268) [NBP2-61560] -

Immunohistochemistry-Paraffin: Integrin alpha 4/CD49d Antibody (RM268) [NBP2-61560] - Immunohistochemical staining of formalin fixed and paraffin embedded Human Tonsil tissue sections using NBP2-61560.

Applications for Integrin alpha 4/CD49d Antibody (RM268)

Application
Recommended Usage

Immunohistochemistry

1:1000 - 1:5000

Immunohistochemistry-Paraffin

1:1000 - 1:5000

Western Blot

1:1000-1:2000

Formulation, Preparation, and Storage

Purification

Protein A purified

Formulation

50% Glycerol/PBS, 1% BSA

Preservative

0.09% Sodium Azide

Concentration

Please see the vial label for concentration. If unlisted please contact technical services.

Shipping

The product is shipped with polar packs. Upon receipt, store it immediately at the temperature recommended below.

Stability & Storage

Store at -20C. Avoid freeze-thaw cycles.

Background: Integrin alpha 4/CD49d

VLA-4 is a cell surface heterodimer in the integrin superfamily of adhesion receptors. Anti-VLA-4 antibodies inhibited cytolytic T cell activity, with inhibitory activity directed against the effector T cells rather than their targets. Thus, whereas other VLA receptors appear to mediate cell--matrix interactions, VLA-4 may have a cell--cell adhesion function. Alpha 4 stands apart from all other known integrin alpha subunit sequences because (i) alpha 4 has neither an inserted I-domain, nor a disulfide-linked C-terminal fragment, (ii) its sequence is the most unique and (iii) only alpha 4 has a potential protease cleavage site, near the middle of the coding region, which appears responsible for the characteristic 80,000 and 70,000 Mr fragments of alpha 4 (1). Unlike any other integrin alpha subunit, the intact (150 kDa) alpha 4 subunit of VLA-4 can sometimes be cleaved into two noncovalently associated fragments (80 and 70 kDa) (2). The VLA-4 integrins are indispensable for embryogenesis, haematopoiesis and immune responses, possibly because alpha4 regulates cellular functions differently from other integrins through its cytoplasmic tail (3).

Alternate Names

CD49d, ITGA4, VLA-4

Gene Symbol

ITGA4

Additional Integrin alpha 4/CD49d Products

Product Documents for Integrin alpha 4/CD49d Antibody (RM268)

Certificate of Analysis

To download a Certificate of Analysis, please enter a lot number in the search box below.

Product Specific Notices for Integrin alpha 4/CD49d Antibody (RM268)

This product is for research use only and is not approved for use in humans or in clinical diagnosis. Primary Antibodies are guaranteed for 1 year from date of receipt.

Loading...
Loading...
Loading...
Loading...