Skip to main content

Integrin alpha 2b/CD41 Antibody - BSA Free

Novus Biologicals, part of Bio-Techne | Catalog # NBP1-84582

Novus Biologicals, part of Bio-Techne
Catalog #
Availability
Size / Price
Qty
Loading...
NBP1-84582
NBP1-84582-25ul

Key Product Details

Validated by

Orthogonal Validation, Independent Antibodies

Species Reactivity

Human

Applications

Immunohistochemistry, Immunohistochemistry-Paraffin

Label

Unconjugated

Antibody Source

Polyclonal Rabbit IgG

Format

BSA Free

Concentration

Concentrations vary lot to lot. See vial label for concentration. If unlisted please contact technical services.

Product Specifications

Immunogen

This antibody was developed against Recombinant Protein corresponding to amino acids: NDFSWDKRYCEAGFSSVVTQAGELVLGAPGGYYFLGLLAQAPVADIFSSYRPGILLWHVSSQSLSFDSSNPEYFDGYWGYSVAVGEFDGDLNTTEYVVG

Clonality

Polyclonal

Host

Rabbit

Isotype

IgG

Description

Novus Biologicals Rabbit Integrin alpha 2b/CD41 Antibody - BSA Free (NBP1-84582) is a polyclonal antibody validated for use in IHC. All Novus Biologicals antibodies are covered by our 100% guarantee.

Scientific Data Images for Integrin alpha 2b/CD41 Antibody - BSA Free

Immunohistochemistry-Paraffin: Integrin alpha 2b/CD41 Antibody [NBP1-84582]

Immunohistochemistry-Paraffin: Integrin alpha 2b/CD41 Antibody [NBP1-84582]

Immunohistochemistry-Paraffin: Integrin alpha 2b/CD41 Antibody [NBP1-84582] - Staining of human lymph node.
Integrin alpha 2b/CD41 Antibody - BSA Free Immunohistochemistry-Paraffin: Integrin alpha 2b/CD41 Antibody - BSA Free [NBP1-84582]

Immunohistochemistry-Paraffin: Integrin alpha 2b/CD41 Antibody - BSA Free [NBP1-84582]

Staining of human tonsil shows no positivity in non-germinal center cells as expected.
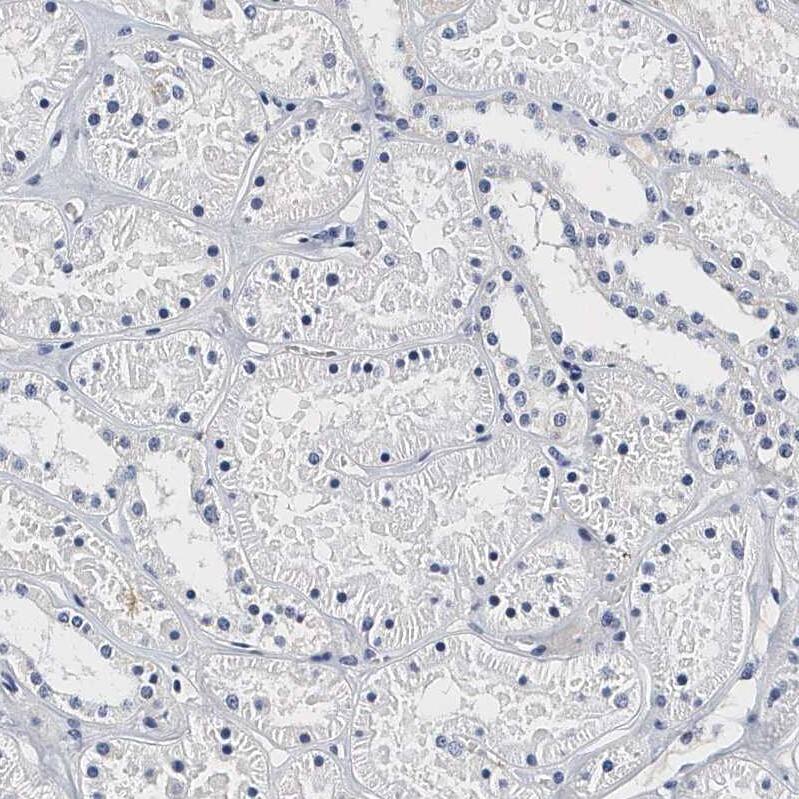
Integrin alpha 2b/CD41 Antibody - BSA Free Immunohistochemistry-Paraffin: Integrin alpha 2b/CD41 Antibody - BSA Free [NBP1-84582]

Immunohistochemistry-Paraffin: Integrin alpha 2b/CD41 Antibody - BSA Free [NBP1-84582]

Staining of human kidney shows no positivity in cells in tubules as expected.

Applications for Integrin alpha 2b/CD41 Antibody - BSA Free

Application
Recommended Usage

Immunohistochemistry

1:200 - 1:500

Immunohistochemistry-Paraffin

1:200 - 1:500
Application Notes
For IHC-Paraffin, HIER pH 6 retrieval is recommended.

Formulation, Preparation, and Storage

Purification

Immunogen affinity purified

Formulation

PBS (pH 7.2) and 40% Glycerol

Format

BSA Free

Preservative

0.02% Sodium Azide

Concentration

Concentrations vary lot to lot. See vial label for concentration. If unlisted please contact technical services.

Shipping

The product is shipped with polar packs. Upon receipt, store it immediately at the temperature recommended below.

Stability & Storage

Store at 4C short term. Aliquot and store at -20C long term. Avoid freeze-thaw cycles.

Background: Integrin alpha 2b/CD41

Integrin alpha 2b (CD41) is a calcium-dependent, noncovalently associated heterodimer and contains a heavy chain (GPIIb alpha) and a light chain (GPIIb beta) linked by a single disulfide bond. The Integrin alpha 2B chain interacts with the Integrin beta 3 subunit/CD61 to form the platelet glycoprotein complex, gpIIb/IIIa. It is expressed on platelets and megakaryocytes. Ligands for the gpIIb/IIIa heterodimer include fibrinogen, von Willebrand factor, fibronectin, vitronectin, and thrombospondin. The gpIIb/IIIa complex is the major Integrin on platelets and is important for platelet adhesion and aggregation.

Alternate Names

CD41, GP2B, GPIIb, GTA, HPA3, ITGA2b

Gene Symbol

ITGA2B

Additional Integrin alpha 2b/CD41 Products

Product Documents for Integrin alpha 2b/CD41 Antibody - BSA Free

Certificate of Analysis

To download a Certificate of Analysis, please enter a lot number in the search box below.

Product Specific Notices for Integrin alpha 2b/CD41 Antibody - BSA Free

This product is for research use only and is not approved for use in humans or in clinical diagnosis. Primary Antibodies are guaranteed for 1 year from date of receipt.

Loading...
Loading...
Loading...
Loading...