Skip to main content

Insulin Antibody (rIRDN/8546)

Novus Biologicals, part of Bio-Techne | Catalog # NBP3-20522

Recombinant Monoclonal Antibody
Novus Biologicals, part of Bio-Techne
Catalog #
Availability
Size / Price
Qty
Loading...
NBP3-20522-100ug
NBP3-20522-20ug
Conjugate
Catalog #

Key Product Details

Species Reactivity

Human

Applications

Immunohistochemistry-Paraffin

Label

Unconjugated

Antibody Source

Recombinant Monoclonal Mouse IgG2a Kappa Clone # rIRDN/8546

Concentration

0.2 mg/ml

Product Specifications

Immunogen

Recombinant full-length human Insulin protein

Localization

Cytoplasm.

Clonality

Monoclonal

Host

Mouse

Isotype

IgG2a Kappa

Description

Positive Controls: MIA PaCa-2 cells. Pancreas tissue.

Antibody with azide - store at 2 to 8C. Antibody without azide - store at -20 to -80C. Non-hazardous. No MSDS required.

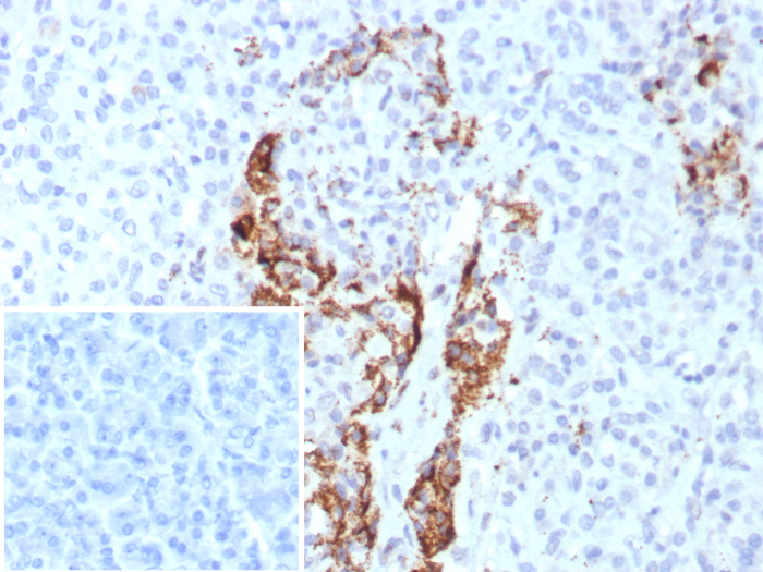
Scientific Data Images for Insulin Antibody (rIRDN/8546)

Insulin Antibody (rIRDN/8546)

Insulin Antibody (rIRDN/8546)

Formalin-fixed, paraffin-embedded human pancreas stained with Insulin antibody (rIRDN/8546). Inset: PBS instead of primary antibody; secondary only negative control.

Applications for Insulin Antibody (rIRDN/8546)

Application
Recommended Usage

Immunohistochemistry-Paraffin

0.1-0.2 ug/ml
Application Notes
Immunohistochemistry (Formalin-fixed): 0.1-0.2ug/ml for 30 minutes. at RT.

No special pretreatment is required for staining of formalin/paraffin tissues.

Optimal dilution for a specific application should be determined.

Formulation, Preparation, and Storage

Purification

Protein A or G purified

Formulation

10mM PBS with 0.05% BSA

Preservative

0.05% Sodium Azide

Concentration

0.2 mg/ml

Shipping

The product is shipped with polar packs. Upon receipt, store it immediately at the temperature recommended below.

Stability & Storage

Store at 4C. Do not freeze.

Background: Insulin

After removal of the precursor signal peptide, proinsulin is post-translationally cleaved into two chains (peptide A and peptide B) that are covalently linked via two disulfide bonds. Binding of this mature form of insulin to the insulin receptor (INSR) stimulates glucose uptake. A variety of mutant alleles with changes in the coding region have been identified. There is a read-through gene, INS-IGF2, which overlaps with this gene at the 5' region and with the IGF2 gene at the 3' region. (provided by RefSeq)

Alternate Names

IDDM2, ILPR, INS, IRDN, MODY10

Gene Symbol

INS

Additional Insulin Products

Product Documents for Insulin Antibody (rIRDN/8546)

Certificate of Analysis

To download a Certificate of Analysis, please enter a lot number in the search box below.

Product Specific Notices for Insulin Antibody (rIRDN/8546)

This product is for research use only and is not approved for use in humans or in clinical diagnosis. Primary Antibodies are guaranteed for 1 year from date of receipt.

Loading...
Loading...
Loading...
Loading...
Loading...