Skip to main content

INPP5E Antibody - BSA Free

Novus Biologicals, part of Bio-Techne | Catalog # NBP3-46477

Novus Biologicals, part of Bio-Techne
Catalog #
Availability
Size / Price
Qty
Loading...
NBP3-46477

Key Product Details

Species Reactivity

Human, Mouse, Rat

Applications

Immunohistochemistry, Western Blot, ELISA, Immunocytochemistry/ Immunofluorescence, Immunoprecipitation

Label

Unconjugated

Antibody Source

Polyclonal Rabbit IgG

Format

BSA Free

Concentration

Please see the vial label for concentration. If unlisted please contact technical services.

Product Specifications

Immunogen

inositol polyphosphate-5-phosphatase, 72 kDa. (Uniprot# Q9NRR6)

Clonality

Polyclonal

Host

Rabbit

Isotype

IgG

Description

Novus Biologicals Rabbit INPP5E Antibody - BSA Free (NBP3-46477) is a polyclonal antibody validated for use in IHC, WB, ELISA, ICC/IF and IP. All Novus Biologicals antibodies are covered by our 100% guarantee.

Scientific Data Images for INPP5E Antibody - BSA Free

INPP5E Antibody - BSA Free

Immunoprecipitation: INPP5E Antibody - BSA Free [NBP3-46477] -

Immunoprecipitation: INPP5E Antibody - BSA Free [NBP3-46477] - IP Result of anti-INPP5E (IP:, 3ug; Detection: 1:1000) with HEK-293 cells lysate 1000ug.
INPP5E Antibody - BSA Free

Western Blot: INPP5E Antibody - BSA Free [NBP3-46477] -

Western Blot: INPP5E Antibody - BSA Free [NBP3-46477] - SH-SY5Y cells were subjected to SDS PAGE followed by western blot with (INPP5E antibody) at dilution of 1:1000
INPP5E Antibody - BSA Free

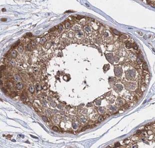
Immunohistochemistry: INPP5E Antibody - BSA Free [NBP3-46477] -

Immunohistochemistry: INPP5E Antibody - BSA Free [NBP3-46477] - Immunohistochemistry of paraffin-embedded human testis using (INPP5E antibody) at dilution of 1:50

Applications for INPP5E Antibody - BSA Free

Application
Recommended Usage

Immunocytochemistry/ Immunofluorescence

1:20-1:200

Immunohistochemistry

1:20-1:200

Immunoprecipitation

1:500-1:2000

Western Blot

1:500-1:2000
Application Notes
Theoretical Molecular Weight is 64-66 kDa

Formulation, Preparation, and Storage

Purification

Immunogen affinity purified

Formulation

PBS, 50% Glycerol, pH (7.3)

Format

BSA Free

Preservative

0.02% Sodium Azide

Concentration

Please see the vial label for concentration. If unlisted please contact technical services.

Shipping

The product is shipped with polar packs. Upon receipt, store it immediately at the temperature recommended below.

Stability & Storage

Store at -20C. Avoid freeze-thaw cycles.

Background: INPP5E

INPP5E is encoded by this gene is an inositol 1,4,5-trisphosphate (InsP3) 5-phosphatase. InsP3 5-phosphatases hydrolyze Ins(1,4,5)P3, which mobilizes intracellular calcium and acts as a second messenger mediating cell responses to various stimulation. Studies of the mouse counterpart suggest that this protein may hydrolyze phosphatidylinositol 3,4, 5-trisphosphate and phosphatidylinositol 3,5-bisphosphate on the cytoplasmic Golgi membrane and thereby regulate Golgi-vesicular trafficking. [provided by RefSeq]

Alternate Names

CORS172 kDa inositol polyphosphate 5-phosphatase, CPD4, EC 3.1.3.36, inositol polyphosphate-5-phosphatase, 72 kDa, JBTS1, Joubert syndrome 1, MGC117201, MORMS, phosphatidylinositol (4,5) bisphosphate 5-phosphatase, Phosphatidylinositol polyphosphate 5-phosphatase type IV, Phosphatidylinositol-4,5-bisphosphate 5-phosphatase, PPI5PIV

Gene Symbol

INPP5E

Additional INPP5E Products

Product Documents for INPP5E Antibody - BSA Free

Certificate of Analysis

To download a Certificate of Analysis, please enter a lot number in the search box below.

Product Specific Notices for INPP5E Antibody - BSA Free

This product is for research use only and is not approved for use in humans or in clinical diagnosis. Primary Antibodies are guaranteed for 1 year from date of receipt.

Loading...
Loading...
Loading...
Loading...