Skip to main content

iNOS Antibody (K13-A)

Novus Biologicals, part of Bio-Techne | Catalog # NBP1-33780

Novus Biologicals, part of Bio-Techne
Catalog #
Availability
Size / Price
Qty
Loading...
NBP1-33780-0.1ml

Key Product Details

Species Reactivity

Validated:

Human, Mouse, Rat, Porcine

Cited:

Human, Mouse, Rat

Applications

Validated:

Immunohistochemistry, Immunohistochemistry-Paraffin, Immunohistochemistry-Frozen, Western Blot

Cited:

Immunohistochemistry, Immunohistochemistry-Paraffin, Immunohistochemistry-Frozen, Western Blot, Immunocytochemistry/ Immunofluorescence, IF/IHC, Knockdown Validated

Label

Unconjugated

Antibody Source

Recombinant Monoclonal Rabbit IgG Clone # K13-A

Concentration

Please see the vial label for concentration. If unlisted please contact technical services.

Product Specifications

Immunogen

Peptide derived from human iNOS sequence. Antibody recognizes the epitope between Ser1118 - Gly1129.

Epitope

Ser1118 - Gly1129

Reactivity Notes

This antibody also recognizes nNOS (neuronal nitric oxide synthase). Porcine reactivity reported per verified customer review.

Clonality

Monoclonal

Host

Rabbit

Isotype

IgG

Description

This antibody is immunoaffinity purified with immunogenic peptide as a ligand.

Scientific Data Images for iNOS Antibody (K13-A)

Immunohistochemistry-Paraffin: iNOS Antibody (K13-A) [NBP1-33780]

Immunohistochemistry-Paraffin: iNOS Antibody (K13-A) [NBP1-33780]

Immunohistochemistry-Paraffin: iNOS Antibody (K13-A) [NBP1-33780] - Liver tissue stained with anti-iNOS antibody shows strong positive immunostaining of hepatocytes. Formalin fixed, paraffin embedded human tissues (4 um sections) stained according to IHC-P Protocol for NBP1-33780.
Immunohistochemistry-Paraffin: iNOS Antibody (K13-A) [NBP1-33780]

Immunohistochemistry-Paraffin: iNOS Antibody (K13-A) [NBP1-33780]

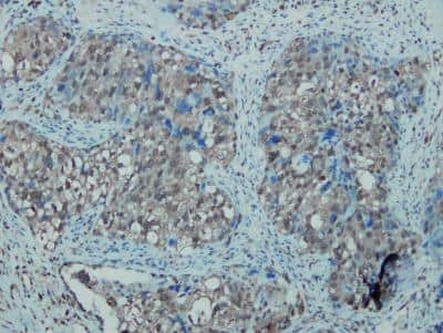
Immunohistochemistry-Paraffin: iNOS Antibody (K13-A) [NBP1-33780] - Lung adenocarcinoma tissue stained with anti-iNOS antibody shows strong positive immunostaining of hepatocytes. Formalin fixed, paraffin embedded human tissues (4 um sections) stained according to IHC-P Protocol for NBP1-33780.
Immunohistochemistry-Paraffin: iNOS Antibody (K13-A) [NBP1-33780]

Immunohistochemistry-Paraffin: iNOS Antibody (K13-A) [NBP1-33780]

Immunohistochemistry-Paraffin: iNOS Antibody (K13-A) [NBP1-33780] - Inflamed porcine intestine. Antibody dilution 1:200, overnight 4C. Secondary anti-rabbit Alexa 488 (1:1000) 2 hr incubation. Image from verified customer review.

Applications for iNOS Antibody (K13-A)

Application
Recommended Usage

Immunohistochemistry

1:10-1:500

Immunohistochemistry-Paraffin

1:100-1:200

Western Blot

1:2000
Application Notes
Use in IHC-P reported in scientific literature (PMID:34496231).

Reviewed Applications

Read 1 review rated 5 using NBP1-33780 in the following applications:

Formulation, Preparation, and Storage

Purification

Immunogen affinity purified

Formulation

20mM Tris-HCl (pH 8.0) and 20mg/ml BSA

Preservative

0.05% Sodium Azide

Concentration

Please see the vial label for concentration. If unlisted please contact technical services.

Shipping

The product is shipped with polar packs. Upon receipt, store it immediately at the temperature recommended below.

Stability & Storage

Store at 4C. Do not freeze.

Background: iNOS

Nitric oxide (NO) is a colorless, free radical gas that carries a variety of messages between cells. Vasorelaxation, neurotransmission and cytotoxicity can all be potentiated through cellular response to NO. NO production is mediated by members of the nitric oxide synthase (NOS) family including the two constitutive isoforms: brain, bNOS, or neuronal NOS, nNOS (type I) and endothelial cell NOS, eNOS (type III); along with the inducible isoform, iNOS (type II). NOS catalyzes the oxidization of L-arginine to produce L-citrulline and NO, requiring the cofactors calmodulin, nicotinamide adenine dinucleotide phosphate (NADPH), flavin adenine dinucleotide (FAD), and flavin mononucleotide (FMN), heme, and tetrahydrobiopterin (1).

The 131 kDa enzyme, iNOS, is found in a variety of cell types including macrophages, hepatocytes, synoviocytes, and smooth muscle cells. While constitutively expressed in kidneys, in other tissues iNOS is induced by bacterial lipopolysaccharides (LPS), growth factors, and cytokines such as IFN-gamma, TNF, IL-1 and IL-2. iNOS is not regulated by the level of intracellular Ca2+ and is constantly active as a dimer when expressed. iNOS activity is elevated in a variety of diseases including atherosclerosis, heart failure, sepsis, solid tumors, and type 2 diabetes. Acting as a critical mediator of inflammation and apoptosis, iNOS inhibitors have been shown to alleviate obesity and stress inducted insulin resistance in mouse models (2,3).

References

1. Forstermann U, and Sessa WC. (2012) Nitric oxide synthases: regulation and function. Eur Heart J. 33(7): 829-837. PMID: 21890489

2. Aktan F. (2004) iNOS-mediated nitric oxide production and its regulation. Life Sci. 75(6):639-53. PMID: 15172174

3. Cinelli MA, Do HT, Miley GP, Silverman RB. (2020) Inducible nitric oxide synthase: Regulation, structure, and inhibition. Med Res Rev. 40(1):158-189. PMID: 31192483

Long Name

Inducible Nitic Oxide Synthase

Alternate Names

NOS2, NOS2A

Entrez Gene IDs

4843 (Human)

Gene Symbol

NOS2

UniProt

Additional iNOS Products

Product Documents for iNOS Antibody (K13-A)

Certificate of Analysis

To download a Certificate of Analysis, please enter a lot number in the search box below.

Product Specific Notices for iNOS Antibody (K13-A)

This antibody is immunoaffinity purified with immunogenic peptide as a ligand.

This product is for research use only and is not approved for use in humans or in clinical diagnosis. Primary Antibodies are guaranteed for 1 year from date of receipt.

Loading...
Loading...
Loading...
Loading...
Loading...