Skip to main content

INHBE Antibody - BSA Free

Novus Biologicals, part of Bio-Techne | Catalog # NBP1-89262

Novus Biologicals, part of Bio-Techne
Catalog #
Availability
Size / Price
Qty
Loading...
NBP1-89262-25ul
NBP1-89262

Key Product Details

Validated by

Orthogonal Validation

Species Reactivity

Validated:

Human

Predicted:

Mouse (90%). Backed by our 100% Guarantee.

Applications

Validated:

Immunohistochemistry, Immunohistochemistry-Paraffin, Immunocytochemistry/ Immunofluorescence

Cited:

Immunohistochemistry-Frozen

Label

Unconjugated

Antibody Source

Polyclonal Rabbit IgG

Format

BSA Free

Concentration

Concentrations vary lot to lot. See vial label for concentration. If unlisted please contact technical services.

Product Specifications

Immunogen

This antibody was developed against Recombinant Protein corresponding to amino acids: RPLEGNSTVTGQPRRLLDTAGHQQPFLELKIRANEPGAGRARRRTPTCEPATPLCCRRDHYVDFQELGWRDWILQPEGYQLNYCSGQCPPHLAG

Reactivity Notes

Immunogen displays the following percentage of sequence identity for non-tested species: Rat (88%)

Clonality

Polyclonal

Host

Rabbit

Isotype

IgG

Scientific Data Images for INHBE Antibody - BSA Free

Immunohistochemistry-Paraffin: INHBE Antibody [NBP1-89262]

Immunohistochemistry-Paraffin: INHBE Antibody [NBP1-89262]

Immunohistochemistry-Paraffin: INHBE Antibody [NBP1-89262] - Staining in human liver and kidney tissues using anti-INHBE antibody. Corresponding INHBE RNA-seq data are presented for the same tissues.
Immunocytochemistry/ Immunofluorescence: INHBE Antibody [NBP1-89262]

Immunocytochemistry/ Immunofluorescence: INHBE Antibody [NBP1-89262]

Immunocytochemistry/Immunofluorescence: INHBE Antibody [NBP1-89262] - Staining of human cell line Hep G2 shows localization to vesicles. Antibody staining is shown in green.
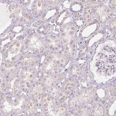
Immunohistochemistry-Paraffin: INHBE Antibody [NBP1-89262]

Immunohistochemistry-Paraffin: INHBE Antibody [NBP1-89262]

Immunohistochemistry-Paraffin: INHBE Antibody [NBP1-89262] - Staining of human kidney shows low expression as expected.

Applications for INHBE Antibody - BSA Free

Application
Recommended Usage

Immunocytochemistry/ Immunofluorescence

0.25-2 ug/ml

Immunohistochemistry

1:200 - 1:500

Immunohistochemistry-Paraffin

1:200 - 1:500
Application Notes
IHC-Paraffin, HIER pH 6 retrieval is recommended. ICC/IF, Fixation Permeabilization: Use PFA/Triton X-100.

Formulation, Preparation, and Storage

Purification

Affinity purified

Formulation

PBS (pH 7.2) and 40% Glycerol

Format

BSA Free

Preservative

0.02% Sodium Azide

Concentration

Concentrations vary lot to lot. See vial label for concentration. If unlisted please contact technical services.

Shipping

The product is shipped with polar packs. Upon receipt, store it immediately at the temperature recommended below.

Stability & Storage

Store at 4C short term. Aliquot and store at -20C long term. Avoid freeze-thaw cycles.

Background: INHBE

INHBE is a member of the activin beta family (see INHBA; MIM 147290) that plays a role in pancreatic exocrine cell growth and proliferation (Hashimoto et al., 2006 [PubMed 16426570]).[supplied by OMIM]

Long Name

Inhibin Subunit Beta E

Alternate Names

Inhibin Beta E, MGC4638

Gene Symbol

INHBE

Additional INHBE Products

Product Documents for INHBE Antibody - BSA Free

Certificate of Analysis

To download a Certificate of Analysis, please enter a lot number in the search box below.

Product Specific Notices for INHBE Antibody - BSA Free

This product is for research use only and is not approved for use in humans or in clinical diagnosis. Primary Antibodies are guaranteed for 1 year from date of receipt.

Loading...
Loading...
Loading...
Loading...