Skip to main content

IL-6 Antibody - BSA Free

Novus Biologicals, part of Bio-Techne | Catalog # NBP2-78132

Novus Biologicals, part of Bio-Techne

Key Product Details

Species Reactivity

Human, Mouse

Applications

Immunohistochemistry, Immunohistochemistry-Paraffin, Western Blot

Label

Unconjugated

Antibody Source

Polyclonal Rabbit

Format

BSA Free

Concentration

1.0 mg/ml

Product Specifications

Immunogen

Partial recombinant mouse IL-6 protein [UniProt P08505]

Clonality

Polyclonal

Host

Rabbit

Description

Novus Biologicals Rabbit IL-6 Antibody - BSA Free (NBP2-78132) is a polyclonal antibody validated for use in IHC and WB. All Novus Biologicals antibodies are covered by our 100% guarantee.

Scientific Data Images for IL-6 Antibody - BSA Free

Western Blot: IL-6 AntibodyBSA Free [NBP2-78132]

Western Blot: IL-6 AntibodyBSA Free [NBP2-78132]

Western Blot: IL-6 Antibody [NBP2-78132] - Mouse IL-6 recombinant protein was separated on a 4-20% gel by SDS-PAGE, transferred to 0.2 um PVDF membrane and blocked in 5% non-fat milk in TBST. The membrane was probed with 2.0 ug/ml anti-IL-6 in block buffer and detected with an anti-rabbit HRP secondary antibody using West Pico PLUS chemiluminescence detection reagent.
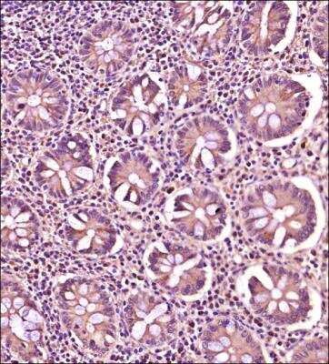
Immunohistochemistry-Paraffin: IL-6 Antibody - BSA Free [NBP2-78132]

Immunohistochemistry-Paraffin: IL-6 Antibody - BSA Free [NBP2-78132]

Immunohistochemistry-Paraffin: IL-6 Antibody [NBP2-78132] - IHC analysis of a formalin fixed paraffin embedded tissue section of human appendix using 1:200 dilution of IL-6 antibody (NBP2-78132). The signal was developed using HRP-DAB method which followed counterstaining of the cells with hematoxylin. The antibody generated membrane staining of glandular cells.

Applications for IL-6 Antibody - BSA Free

Application
Recommended Usage

Immunohistochemistry

1:200

Immunohistochemistry-Paraffin

1:200

Western Blot

1 - 2 ug/ml
Application Notes
Western blot was performed with recombinant mouse IL-6 protein.

Formulation, Preparation, and Storage

Purification

Immunogen affinity purified

Formulation

PBS

Format

BSA Free

Preservative

0.02% Sodium Azide

Concentration

1.0 mg/ml

Shipping

The product is shipped with polar packs. Upon receipt, store it immediately at the temperature recommended below.

Stability & Storage

Store at 4C short term. Aliquot and store at -20C long term. Avoid freeze-thaw cycles.

Background: IL-6

IL-6 is a multifunctional cytokine that has an important role in host defense by regulating immune and inflammatory responses. It is expressed by a variety of normal and transformed cells including T cells, B cells, monocytes/macrophages, fibroblasts and various tumor cells. IL-6 has diverse biological functions, it stimulates B-cell differentiation and antibody production, synergizes with IL-3 in megakaryocyte development and platelet production, induces expression of hepatic acute-phase proteins, and regulates bone metabolism. Recombinant human IL-6 is a 20.9 kDa protein containing 184 amino acid residues. Human IL-6 is active on murine cells but murine IL-6 is inactive on human cells.

Long Name

Interleukin 6

Alternate Names

BSF-2, BSF2, IFNB2, IL6, MGI-2A

Gene Symbol

IL6

Additional IL-6 Products

Product Documents for IL-6 Antibody - BSA Free

Certificate of Analysis

To download a Certificate of Analysis, please enter a lot number in the search box below.

Product Specific Notices for IL-6 Antibody - BSA Free

This product is for research use only and is not approved for use in humans or in clinical diagnosis. Primary Antibodies are guaranteed for 1 year from date of receipt.

Loading...
Loading...
Loading...
Loading...
Loading...