Skip to main content

IL-36 gamma/IL-1F9 Antibody (OTI2F4) - Azide and BSA Free

Novus Biologicals, part of Bio-Techne | Catalog # NBP2-72055

Novus Biologicals, part of Bio-Techne

Key Product Details

Species Reactivity

Human

Applications

Immunohistochemistry, Immunohistochemistry-Paraffin, Western Blot, Immunocytochemistry/ Immunofluorescence

Label

Unconjugated

Antibody Source

Monoclonal Mouse IgG1 Clone # OTI2F4

Format

Azide and BSA Free

Concentration

LYOPH mg/ml

Product Specifications

Immunogen

Full length human recombinant protein of human IL1F9(NP_062564) produced in HEK293T cell.

Clonality

Monoclonal

Host

Mouse

Isotype

IgG1

Theoretical MW

18.5 kDa.
Disclaimer note: The observed molecular weight of the protein may vary from the listed predicted molecular weight due to post translational modifications, post translation cleavages, relative charges, and other experimental factors.

Description

Novus Biologicals Mouse IL-36 gamma/IL-1F9 Antibody (OTI2F4) - Azide and BSA Free (NBP2-45749) is a monoclonal antibody validated for use in IHC, WB and ICC/IF. All Novus Biologicals antibodies are covered by our 100% guarantee.

Scientific Data Images for IL-36 gamma/IL-1F9 Antibody (OTI2F4) - Azide and BSA Free

Western Blot: IL-36 gamma/IL-1F9 Antibody (OTI2F4)Azide and BSA Free [NBP2-72055]

Western Blot: IL-36 gamma/IL-1F9 Antibody (OTI2F4)Azide and BSA Free [NBP2-72055]

Western Blot: IL-36 gamma/IL-1F9 Antibody (OTI2F4) - Azide and BSA Free [NBP2-72055] - Analysis of HEK293T cells were transfected with the pCMV6-ENTRY control (Left lane) or pCMV6-ENTRY IL1F9.
Immunocytochemistry/ Immunofluorescence: IL-36 gamma/IL-1F9 Antibody (OTI2F4) - Azide and BSA Free [NBP2-72055]

Immunocytochemistry/ Immunofluorescence: IL-36 gamma/IL-1F9 Antibody (OTI2F4) - Azide and BSA Free [NBP2-72055]

Immunocytochemistry/Immunofluorescence: IL-36 gamma/IL-1F9 Antibody (OTI2F4) - Azide and BSA Free [NBP2-72055] - Analysis of HeLa cells.
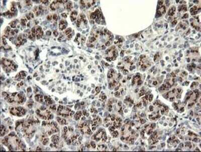
Immunohistochemistry: IL-36 gamma/IL-1F9 Antibody (OTI2F4) - Azide and BSA Free [NBP2-72055]

Immunohistochemistry: IL-36 gamma/IL-1F9 Antibody (OTI2F4) - Azide and BSA Free [NBP2-72055]

Immunohistochemistry: IL-36 gamma/IL-1F9 Antibody (OTI2F4) - Azide and BSA Free [NBP2-72055] - Analysis of Human pancreas tissue. (Heat-induced epitope retrieval by 10mM citric buffer, pH6.0, 120C for 3min)

Applications for IL-36 gamma/IL-1F9 Antibody (OTI2F4) - Azide and BSA Free

Application
Recommended Usage

Immunocytochemistry/ Immunofluorescence

1:100

Immunohistochemistry

1:150

Western Blot

1:4000

Formulation, Preparation, and Storage

Purification

Immunogen affinity purified

Reconstitution

we recommend adding 100uL distilled water to a final antibody concentration of about 1 mg/mL. To use this carrier-free antibody for conjugation experiment, we strongly recommend performing another round of desalting process.

Formulation

Lyophilized from PBS (pH 7.3) with 8% Trehalose

Format

Azide and BSA Free

Preservative

No Preservative

Concentration

LYOPH mg/ml

Shipping

The product is shipped with polar packs. Upon receipt, store it immediately at the temperature recommended below.

Stability & Storage

Store at -20C. Avoid freeze-thaw cycles.

Background: IL-36 gamma/IL-1F9

Interleukin 36 gamma (IL-36 gamma), also known as IL-1F9 and IL-1H1 is a member of the IL-1 family. IL-36 gamma is secreted when transfected into 293-T cells. Cells reported to express IL-36 gamma include Langerhans cells, keratinocytes/stratified squamos epithelium, chief cells, and parietal cells. The receptor for IL-36 gamma is reported to be a combination of IL-1 R6/IL-1 R rp2 and IL-1 R3/IL-1 R AcP. Recombinant IL-36 gamma has been shown to activate pathways involving NF-kappa B and MAPK in an IL-1 R6/IL-1 R rp2-dependent manner.

Long Name

Interleukin 36 gamma/Interleukin 1 Family 9

Alternate Names

IL-1 H1, IL-1rp2, IL1F9, IL36 gamma, IL36G

Gene Symbol

IL36G

Additional IL-36 gamma/IL-1F9 Products

Product Documents for IL-36 gamma/IL-1F9 Antibody (OTI2F4) - Azide and BSA Free

Certificate of Analysis

To download a Certificate of Analysis, please enter a lot number in the search box below.

Product Specific Notices for IL-36 gamma/IL-1F9 Antibody (OTI2F4) - Azide and BSA Free

This product is for research use only and is not approved for use in humans or in clinical diagnosis. Primary Antibodies are guaranteed for 1 year from date of receipt.

Loading...
Loading...
Loading...
Loading...
Loading...