Skip to main content

IL-22BP/IL22 RA2 Antibody - BSA Free

Novus Biologicals, part of Bio-Techne | Catalog # NBP1-85455

Novus Biologicals, part of Bio-Techne
Catalog #
Availability
Size / Price
Qty
Loading...
NBP1-85455-25ul
NBP1-85455

Key Product Details

Species Reactivity

Validated:

Human

Cited:

Human, Mouse

Applications

Validated:

Immunohistochemistry, Immunohistochemistry-Paraffin, Western Blot

Cited:

Immunocytochemistry/ Immunofluorescence, IF/IHC

Label

Unconjugated

Antibody Source

Polyclonal Rabbit IgG

Format

BSA Free

Concentration

Concentrations vary lot to lot. See vial label for concentration. If unlisted please contact technical services.

Product Specifications

Immunogen

This antibody was developed against Recombinant Protein corresponding to amino acids: PNLPYRYQKEKNVSIEDYYELLYRVFIINNSLEKEQKVYEGAHRAVEIEALTPHSSYCVVAEIYQPMLDRRSQRSEERCVEIP

Clonality

Polyclonal

Host

Rabbit

Isotype

IgG

Description

Novus Biologicals Rabbit IL-22BP/IL22 RA2 Antibody - BSA Free (NBP1-85455) is a polyclonal antibody validated for use in IHC, WB and ICC/IF. Anti-IL-22BP/IL22 RA2 Antibody: Cited in 2 publications. All Novus Biologicals antibodies are covered by our 100% guarantee.

Scientific Data Images for IL-22BP/IL22 RA2 Antibody - BSA Free

Western Blot: IL-22BP/IL22 RA2 Antibody [NBP1-85455]

Western Blot: IL-22BP/IL22 RA2 Antibody [NBP1-85455]

Western Blot: IL-22BP/IL22 RA2 Antibody [NBP1-85455] - Analysis in control (vector only transfected HEK293T lysate) and IL22RA2 over-expression lysate (Co-expressed with a C-terminal myc-DDK tag (3.1 kDa) in mammalian HEK293T cells).
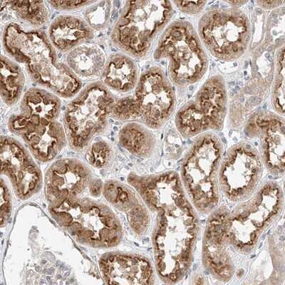
Immunohistochemistry-Paraffin: IL-22BP/IL22 RA2 Antibody [NBP1-85455]

Immunohistochemistry-Paraffin: IL-22BP/IL22 RA2 Antibody [NBP1-85455]

Immunohistochemistry-Paraffin: IL-22BP/IL22 RA2 Antibody [NBP1-85455] - Staining of human kidney shows moderate cytoplasmic staining and luminal membrane positivity in tubules.

Applications for IL-22BP/IL22 RA2 Antibody - BSA Free

Application
Recommended Usage

Immunohistochemistry

1:200 - 1:500

Immunohistochemistry-Paraffin

1:200 - 1:500

Western Blot

0.04-0.4 ug/ml
Application Notes
For IHC-Paraffin, HIER pH 6 retrieval is recommended.

Formulation, Preparation, and Storage

Purification

Affinity purified

Formulation

PBS (pH 7.2) and 40% Glycerol

Format

BSA Free

Preservative

0.02% Sodium Azide

Concentration

Concentrations vary lot to lot. See vial label for concentration. If unlisted please contact technical services.

Shipping

The product is shipped with polar packs. Upon receipt, store it immediately at the temperature recommended below.

Stability & Storage

Store at 4C short term. Aliquot and store at -20C long term. Avoid freeze-thaw cycles.

Background: IL-22BP

The protein encoded by the IL22 RA2 gene is a soluble class II cytokine receptor. This protein has been shown to specificallybind to interleukin 22 (IL22), block the interaction of IL22 with its cell surface receptor, and thus inhibit IL22activity. This protein functions as an IL22 antagonist, and may be important in the regulation of inflammatoryresponse. Three alternatively spliced transcript variants encoding distinct isoforms have been described. (provided byRefSeq)

Long Name

Interleukin 22 Binding Protein

Alternate Names

CRF2-10, CRF2-X, IL-22 RA2, IL22BP, IL22RA2

Gene Symbol

IL22RA2

Additional IL-22BP Products

Product Documents for IL-22BP/IL22 RA2 Antibody - BSA Free

Certificate of Analysis

To download a Certificate of Analysis, please enter a lot number in the search box below.

Product Specific Notices for IL-22BP/IL22 RA2 Antibody - BSA Free

This product is for research use only and is not approved for use in humans or in clinical diagnosis. Primary Antibodies are guaranteed for 1 year from date of receipt.

Loading...
Loading...
Loading...
Loading...