IL-1ra/IL-1F3/IL1RN Antibody - Azide Free
Novus Biologicals, part of Bio-Techne | Catalog # NBP1-32568
Key Product Details
Species Reactivity
Validated:
                  Human
                
                                                        Cited:
                  Human
                
                                                              Applications
                  Immunohistochemistry, Immunohistochemistry-Paraffin, Western Blot, Immunocytochemistry/ Immunofluorescence
                
                                                              Label
            Unconjugated
          
        Antibody Source
            Polyclonal Rabbit IgG
          
        Format
            Azide Free
          
        Concentration
            Concentrations vary lot to lot. See vial label for concentration. If unlisted please contact technical services.
          
        Product Specifications
Immunogen
                          Recombinant protein encompassing a sequence within the center region of human IL-1ra/IL-1F3/IL1RN. The exact sequence is proprietary.
                      
        Reactivity Notes
                          Immunogen displays the following percentage of sequence identity for non-tested species: Canine (83%), Porcine (82%), Bovine (81%).
                      
        Localization
                          Isoform 1: Secreted, Isoform 2: Cytoplasm, Isoform 3: Cytoplasm, Isoform 4: Cytoplasm
                      
        Clonality
                          Polyclonal
                      
        Host
                          Rabbit
                      
        Isotype
                          IgG
                      
        Theoretical MW
                          20 kDa.
Disclaimer note: The observed molecular weight of the protein may vary from the listed predicted molecular weight due to post translational modifications, post translation cleavages, relative charges, and other experimental factors.
        Disclaimer note: The observed molecular weight of the protein may vary from the listed predicted molecular weight due to post translational modifications, post translation cleavages, relative charges, and other experimental factors.
Description
                          Novus Biologicals Rabbit IL-1ra/IL-1F3/IL1RN Antibody - Azide Free (NBP1-32568) is a polyclonal antibody validated for use in IHC, WB and ICC/IF. Anti-IL-1ra/IL-1F3/IL1RN Antibody: Cited in 2 publications. All Novus Biologicals antibodies are covered by our 100% guarantee.
                      
        Scientific Data Images for IL-1ra/IL-1F3/IL1RN Antibody - Azide Free
Western Blot: IL-1ra/IL-1F3/IL1RN Antibody [NBP1-32568]
Western Blot: IL-1ra/IL-1F3/IL1RN Antibody [NBP1-32568] - Various whole cell extracts (30 ug) were separated by 15% SDS-PAGE, and the membrane was blotted with IL1 Receptor antagonist antibody diluted at 1:1000. HRP-conjugated anti-rabbit IgG antibody was used to detect the primary antibody.Immunocytochemistry/ Immunofluorescence: IL-1ra/IL-1F3/IL1RN Antibody [NBP1-32568]
Immunocytochemistry/Immunofluorescence: IL-1ra/IL-1F3/IL1RN Antibody [NBP1-32568] - Analysis of methanol-fixed HeLa, using antibody at 1:200 dilution.Immunohistochemistry-Paraffin: IL-1ra/IL-1F3/IL1RN Antibody [NBP1-32568]
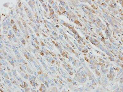
Immunohistochemistry-Paraffin: IL-1ra/IL-1F3/IL1RN Antibody [NBP1-32568] - Paraffin-embedded PC3 xenograft, using antibody at 1:500 dilution.Applications for IL-1ra/IL-1F3/IL1RN Antibody - Azide Free
          Application
        
        
          Recommended Usage
        
      Immunocytochemistry/ Immunofluorescence
                                                1:100-1:1000
                                                            
                  Immunohistochemistry
                                                1:100-1:1000
                                                            
                  Immunohistochemistry-Paraffin
                                                1:100-1:1000
                                                            
                  Western Blot
                                                1:500-1:3000
                                                            
                  Formulation, Preparation, and Storage
Purification
                          Antigen Affinity-purified 
                      
        Formulation
                          PBS, 1% BSA, 20% Glycerol
                      
        Format
                          Azide Free
                      
        Preservative
                          0.025% Proclin 300
                      
        Concentration
                          Concentrations vary lot to lot. See vial label for concentration. If unlisted please contact technical services.
                      
        Shipping
                          The product is shipped with polar packs. Upon receipt, store it immediately at the temperature recommended below.
                      
        Stability & Storage
                          Aliquot and store at -20C or -80C. Avoid freeze-thaw cycles.
                      
        Background: IL-1ra/IL-1F3
Long Name
            Interleukin 1 Receptor Antagonist
          
        Alternate Names
            DIRA, ICIL-1ra, IL-1F3, IL-1ra3, IL-1RN, IL1ra, IL1RN, MVCD4
          
        Gene Symbol
            IL1RN
          
        Additional IL-1ra/IL-1F3 Products
Product Documents for IL-1ra/IL-1F3/IL1RN Antibody - Azide Free
Product Specific Notices for IL-1ra/IL-1F3/IL1RN Antibody - Azide Free
This product is for research use only and is not approved for use in humans or in clinical diagnosis. Primary Antibodies are guaranteed for 1 year from date of receipt.
    Loading...
  
    Loading...
  
    Loading...
  
Loading...
⚠ WARNING: This product can expose you to chemicals including mercury, which is known to the State of California to cause reproductive toxicity with developmental effects. For more information go to www.P65Warnings.ca.gov.