Skip to main content

IL-17RD/SEF Antibody - BSA Free

Novus Biologicals, part of Bio-Techne | Catalog # NBP2-47420

Novus Biologicals, part of Bio-Techne
Catalog #
Availability
Size / Price
Qty
Loading...
NBP2-47420
NBP2-47420-25ul

Key Product Details

Species Reactivity

Validated:

Human

Predicted:

Mouse (96%), Rat (90%). Backed by our 100% Guarantee.

Applications

Immunocytochemistry/ Immunofluorescence, Immunohistochemistry, Immunohistochemistry-Paraffin

Label

Unconjugated

Antibody Source

Polyclonal Rabbit IgG

Format

BSA Free

Concentration

Concentrations vary lot to lot. See vial label for concentration. If unlisted please contact technical services.

Product Specifications

Immunogen

This antibody was developed against a recombinant protein corresponding to amino acids: NCSTYLNPVGKHVIADAQNITISQYACHDQVAVTILWSPGALGIEFLKGFRVILEELKSEGRQCQQLILKD

Clonality

Polyclonal

Host

Rabbit

Isotype

IgG

Description

Novus Biologicals Rabbit IL-17RD/SEF Antibody - BSA Free (NBP2-47420) is a polyclonal antibody validated for use in IHC and ICC/IF. All Novus Biologicals antibodies are covered by our 100% guarantee.

Scientific Data Images for IL-17RD/SEF Antibody - BSA Free

Immunocytochemistry/ Immunofluorescence: IL-17RD/SEF Antibody [NBP2-47420]

Immunocytochemistry/ Immunofluorescence: IL-17RD/SEF Antibody [NBP2-47420]

Immunocytochemistry/Immunofluorescence: IL-17RD/SEF Antibody [NBP2-47420] - Immunofluorescent staining of human cell line HEK 293 shows localization to nucleoplasm & the Golgi apparatus.
Immunohistochemistry-Paraffin: IL-17RD/SEF Antibody [NBP2-47420]

Immunohistochemistry-Paraffin: IL-17RD/SEF Antibody [NBP2-47420]

Immunohistochemistry-Paraffin: IL-17RD/SEF Antibody [NBP2-47420] - Staining of human Fallopian tube shows strong granular cytoplasmic positivity in glandular cells.
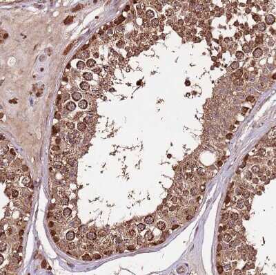
Immunohistochemistry-Paraffin: IL-17RD/SEF Antibody [NBP2-47420]

Immunohistochemistry-Paraffin: IL-17RD/SEF Antibody [NBP2-47420]

Immunohistochemistry-Paraffin: IL-17RD/SEF Antibody [NBP2-47420] - Staining of human testis shows strong granular cytoplasmic positivity in cells in seminiferous ducts.

Applications for IL-17RD/SEF Antibody - BSA Free

Application
Recommended Usage

Immunocytochemistry/ Immunofluorescence

0.25-2 ug/ml

Immunohistochemistry

1:500 - 1:1000

Immunohistochemistry-Paraffin

1:500 - 1:1000
Application Notes
For IHC-Paraffin, HIER pH 6 retrieval is recommended. ICC/IF,Fixation Permeabilization: Use PFA/Triton X-100.

Formulation, Preparation, and Storage

Purification

Immunogen affinity purified

Formulation

PBS (pH 7.2) and 40% Glycerol

Format

BSA Free

Preservative

0.02% Sodium Azide

Concentration

Concentrations vary lot to lot. See vial label for concentration. If unlisted please contact technical services.

Shipping

The product is shipped with polar packs. Upon receipt, store it immediately at the temperature recommended below.

Stability & Storage

Store at 4C short term. Aliquot and store at -20C long term. Avoid freeze-thaw cycles.

Background: IL-17RD/SEF

IL-17RD, also known as SEF, is a 120 kDa type I transmembrane glycoprotein that is found in both the cytoplasm and plasma membrane. The membrane-bound long form of human IL-17RD is synthesized as a 739 amino acid (aa) precursor protein with a 27 aa signal peptide, a 272 aa extracellular domain, a 20 aa transmembrane segment and a 420 aa cytoplastic domain. Natural IL-17RD has been shown to form homomultimeric complexes.

Long Name

Interleukin 17 Receptor D, Transcript Variant 3

Alternate Names

IL-17 RD, IL17RD, IL17RLM, SEF

Gene Symbol

IL17RD

Additional IL-17RD/SEF Products

Product Documents for IL-17RD/SEF Antibody - BSA Free

Certificate of Analysis

To download a Certificate of Analysis, please enter a lot number in the search box below.

Product Specific Notices for IL-17RD/SEF Antibody - BSA Free

This product is for research use only and is not approved for use in humans or in clinical diagnosis. Primary Antibodies are guaranteed for 1 year from date of receipt.

Loading...
Loading...
Loading...
Loading...