Skip to main content

IL-17E/IL-25 Antibody (IL25/625) - Azide and BSA Free

Novus Biologicals, part of Bio-Techne | Catalog # NBP3-14176

Novus Biologicals, part of Bio-Techne
Catalog #
Availability
Size / Price
Qty
Loading...
NBP3-14176
Conjugate
Catalog #

Key Product Details

Species Reactivity

Human

Applications

Immunohistochemistry-Paraffin

Label

Unconjugated

Antibody Source

Monoclonal Mouse IgG1 kappa Clone # IL25/625

Format

Azide and BSA Free

Concentration

1 mg/ml

Product Specifications

Immunogen

Recombinant fragment of human IL-17E/IL-25 protein (exact sequence is proprietary) (Uniprot: IDQ9H293)

Localization

Secreted

Clonality

Monoclonal

Host

Mouse

Isotype

IgG1 kappa

Theoretical MW

20 kDa.
Disclaimer note: The observed molecular weight of the protein may vary from the listed predicted molecular weight due to post translational modifications, post translation cleavages, relative charges, and other experimental factors.

Description

1.0 mg/ml of antibody purified from Bioreactor Concentrate by Protein A/G. Prepared in 10mM PBS WITHOUT BSA & azide. Also available at 200 ug/ml WITH BSA & azide (NBP3-13773).

Antibody with azide - store at 2 to 8C. Antibody without azide - store at -20 to -80 C.

Scientific Data Images for IL-17E/IL-25 Antibody (IL25/625) - Azide and BSA Free

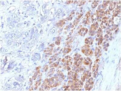
IL-17E/IL-25 Antibody (IL25/625) - Azide and BSA Free Immunohistochemistry-Paraffin: IL-17E/IL-25 Antibody (IL25/625) - Azide and BSA Free [NBP3-14176] -

Immunohistochemistry-Paraffin: IL-17E/IL-25 Antibody (IL25/625) - Azide and BSA Free [NBP3-14176] -

Immunohistochemistry-Paraffin: IL-17E/IL-25 Antibody (IL25/625) - Azide and BSA Free [NBP3-14176] - Formalin-fixed, paraffin-embedded human colon carcinoma stained with IL-17E/IL-25 antibody (IL25/625). HIER: Tris/EDTA, pH9.0, 45min. HRP-polymer, 30min. DAB, 5min.
IL-17E/IL-25 Antibody (IL25/625) - Azide and BSA Free Immunohistochemistry-Paraffin: IL-17E/IL-25 Antibody (IL25/625) - Azide and BSA Free [NBP3-14176] -

Immunohistochemistry-Paraffin: IL-17E/IL-25 Antibody (IL25/625) - Azide and BSA Free [NBP3-14176] -

Immunohistochemistry-Paraffin: IL-17E/IL-25 Antibody (IL25/625) - Azide and BSA Free [NBP3-14176] - Formalin-fixed, paraffin-embedded human adrenalgland stained with IL-17E/IL-25 antibody (IL25/625). HIER: Tris/EDTA, pH9.0, 45min. HRP-polymer, 30min. DAB, 5min.

Applications for IL-17E/IL-25 Antibody (IL25/625) - Azide and BSA Free

Application
Recommended Usage

Immunohistochemistry-Paraffin

1-2 ug/ml
Application Notes
Immunohistochemistry (Formalin-fixed): 1-2ug/ml for 30 minutes at RT. Staining of formalin-fixed tissues requires heating tissue sections in 10mM Tris with 1mM EDTA, pH 9.0, for 45 min at 95C followed by cooling at RT for 20 minutes

Formulation, Preparation, and Storage

Purification

Protein A or G purified

Formulation

10mM PBS

Format

Azide and BSA Free

Preservative

No Preservative

Concentration

1 mg/ml

Shipping

The product is shipped with polar packs. Upon receipt, store it immediately at the temperature recommended below.

Stability & Storage

Store at -20 to -80C. Avoid freeze-thaw cycles.

Background: IL-17E/IL-25

Recently, a number of cytokines belonging to the interleukin (IL)-17 family have been identified. These are termed as IL-17B, IL-17C (1) and IL-17E (2). IL-17 is a potent proinflammatory cytokine that plays roles in a number of diseases including rheumatoid arthritis (3), multiple sclerosis (4), and promotion of tumor growth (5). IL-17B, C, and E like IL-17 are able to induce proinflammatory responses. However, they do not bind to the IL-17 receptor suggesting that additional IL-17R related receptor might exist. Receptor for IL-17B and IL-17E has been independently isolated by Shi, et al (6) and Lee, et al. (2) and has been designated as EV127 (in mouse) and IL-17Rh1 (in human), respectively. IL-17E induces activation of NF-kB pathway and like IL-17 also induces production of IL-8.

Long Name

Interleukin 17E

Alternate Names

IL-25, IL17E, IL25

Gene Symbol

IL25

Additional IL-17E/IL-25 Products

Product Documents for IL-17E/IL-25 Antibody (IL25/625) - Azide and BSA Free

Certificate of Analysis

To download a Certificate of Analysis, please enter a lot number in the search box below.

Product Specific Notices for IL-17E/IL-25 Antibody (IL25/625) - Azide and BSA Free

This product is for research use only and is not approved for use in humans or in clinical diagnosis. Primary Antibodies are guaranteed for 1 year from date of receipt.

Loading...
Loading...
Loading...
Loading...