IL-11R alpha Antibody (10Z3S9)
Novus Biologicals, part of Bio-Techne | Catalog # NBP3-16809
Key Product Details
Species Reactivity
Applications
Label
Antibody Source
Concentration
Product Specifications
Immunogen
Clonality
Host
Isotype
Theoretical MW
Disclaimer note: The observed molecular weight of the protein may vary from the listed predicted molecular weight due to post translational modifications, post translation cleavages, relative charges, and other experimental factors.
Description
Scientific Data Images for IL-11R alpha Antibody (10Z3S9)
Western Blot: IL-11R alpha Antibody (10Z3S9) [NBP3-16809]
Western Blot: IL-11R alpha Antibody (10Z3S9) [NBP3-16809] - Western blot analysis of extracts of various cell lines, using (NBP3-16809) at 1:1000 dilution. Secondary antibody: HRP Goat Anti-Rabbit IgG (H+L) at 1:10000 dilution. Lysates/proteins: 25ug per lane. Blocking buffer: 3% nonfat dry milk in TBST. Detection: ECL Basic Kit. Exposure time: 30s.Western Blot: IL-11R alpha Antibody (10Z3S9) [NBP3-16809]
Western Blot: IL-11R alpha Antibody (10Z3S9) [NBP3-16809] - Western blot analysis of extracts of Rat brain, using (NBP3-16809) at 1:1000 dilution. Secondary antibody: HRP Goat Anti-Rabbit IgG (H+L) at 1:10000 dilution. Lysates/proteins: 25ug per lane. Blocking buffer: 3% nonfat dry milk in TBST. Detection: ECL Basic Kit. Exposure time: 180s.Immunocytochemistry/ Immunofluorescence: IL-11R alpha Antibody (10Z3S9) [NBP3-16809] -
Immunocytochemistry/ Immunofluorescence: IL-11R alpha Antibody (10Z3S9) [NBP3-16809] - Confocal imaging of K-562 cells using IL-11R alpha Rabbit mAb followed by a further incubation with Cy3 Goat Anti-Rabbit IgG (H+L) . DAPI was used for nuclear staining (Blue). Objective: 100x.Applications for IL-11R alpha Antibody (10Z3S9)
ELISA
Immunocytochemistry/ Immunofluorescence
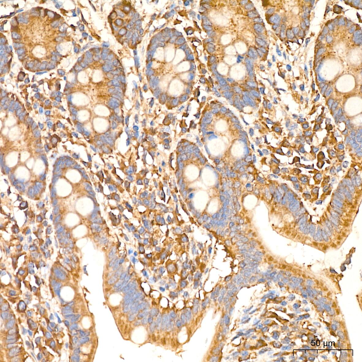
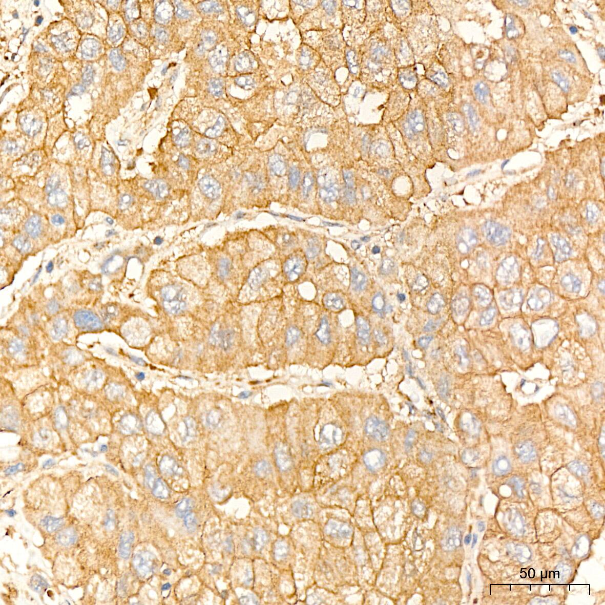
Immunohistochemistry
Western Blot
Formulation, Preparation, and Storage
Purification
Formulation
Preservative
Concentration
Shipping
Stability & Storage
Background: IL-11 R alpha
IL-11 Ra (Interleukin-11 receptor alpha) is a widely expressed transmembrane protein that associates with gp130 to form a functional receptor complex for the cytokine IL-11. gp130 also functions as a subunit in the receptors for Cardiotrophin-1, CNTF, IL-6, IL-27, IL-31, LIF, and Oncostatin M. IL-11 Ra plays a role in female reproduction and the survival of oligodendrocytes and colonic epithelial cells. It enhances osteoclast differentiation and bone remodeling but inhibits adipocyte differentiation. Soluble IL-11 Ra confers IL-11 responsiveness to cells expressing gp130, while in cells expressing transmembrane IL-11 Ra and gp130, soluble IL-11 Ra acts as an IL-11 antagonist.
Long Name
Alternate Names
Gene Symbol
Additional IL-11 R alpha Products
Product Documents for IL-11R alpha Antibody (10Z3S9)
Product Specific Notices for IL-11R alpha Antibody (10Z3S9)
This product is for research use only and is not approved for use in humans or in clinical diagnosis. Primary Antibodies are guaranteed for 1 year from date of receipt.