Skip to main content

IL-1 RAcP/IL-1 R3 Antibody

Novus Biologicals, part of Bio-Techne | Catalog # NBP2-16946

Novus Biologicals, part of Bio-Techne
Catalog #
Availability
Size / Price
Qty
Loading...
NBP2-16946

Key Product Details

Species Reactivity

Validated:

Human, Mouse, Porcine

Predicted:

Rhesus Macaque (99%). Backed by our 100% Guarantee.

Applications

Immunohistochemistry, Immunohistochemistry-Paraffin, Western Blot

Label

Unconjugated

Antibody Source

Polyclonal Rabbit IgG

Concentration

Concentrations vary lot to lot. See vial label for concentration. If unlisted please contact technical services.

Product Specifications

Immunogen

Recombinant protein encompassing a sequence within the center region of human IL-1 RAcP/IL-1 R3. The exact sequence is proprietary.

Reactivity Notes

Rat (87%), Bovine (89%).

Localization

Isoform 1: Cell membrane; Single-pass type I membrane protein; Isoform 2: Secreted; Isoform 3: Secreted

Clonality

Polyclonal

Host

Rabbit

Isotype

IgG

Theoretical MW

65 kDa.
Disclaimer note: The observed molecular weight of the protein may vary from the listed predicted molecular weight due to post translational modifications, post translation cleavages, relative charges, and other experimental factors.

Description

Novus Biologicals Rabbit IL-1 RAcP/IL-1 R3 Antibody (NBP2-16946) is a polyclonal antibody validated for use in IHC and WB. All Novus Biologicals antibodies are covered by our 100% guarantee.

Scientific Data Images for IL-1 RAcP/IL-1 R3 Antibody

IL-1 RAcP/IL-1 R3 Antibody

Western Blot: IL-1 RAcP/IL-1 R3 Antibody [NBP2-16946] -

Mouse tissue extract (50 ug) was separated by 7.5% SDS-PAGE, and the membrane was blotted with IL1RAP antibody [N1N3] (NBP2-16946) diluted at 1:500. The HRP-conjugated anti-rabbit IgG antibody was used to detect the primary antibody.
IL-1 RAcP/IL-1 R3 Antibody

Western Blot: IL-1 RAcP/IL-1 R3 Antibody [NBP2-16946] -

HepG2 whole cell and membrane extracts (30 ug) were separated by 7.5% SDS-PAGE, and the membrane was blotted with IL1RAP antibody [N1N3] (NBP2-16946) diluted at 1:1000. The HRP-conjugated anti-rabbit IgG antibody was used to detect the primary antibody.
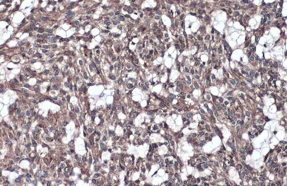
IL-1 RAcP/IL-1 R3 Antibody

Immunohistochemistry-Paraffin: IL-1 RAcP/IL-1 R3 Antibody [NBP2-16946] -

IL1RAP antibody [N1N3] detects IL1RAP protein at cell membrane and cytoplasm by immunohistochemical analysis.
Sample: Paraffin-embedded human breast carcinoma.
IL1RAP stained by IL1RAP antibody [N1N3] (NBP2-16946) diluted at 1:300.
Antigen Retrieval: Citrate buffer, pH 6.0, 15 min

Applications for IL-1 RAcP/IL-1 R3 Antibody

Application
Recommended Usage

Immunohistochemistry-Paraffin

1:100-1:1000

Western Blot

1:500-1:3000

Formulation, Preparation, and Storage

Purification

Antigen Affinity-purified

Formulation

PBS, 1% BSA, 20% Glycerol

Preservative

0.025% Proclin 300

Concentration

Concentrations vary lot to lot. See vial label for concentration. If unlisted please contact technical services.

Shipping

The product is shipped with polar packs. Upon receipt, store it immediately at the temperature recommended below.

Stability & Storage

Aliquot and store at -20C or -80C. Avoid freeze-thaw cycles.

Background: IL-1 RAcP/IL-1 R3

Interleukin 1 induces synthesis of acute phase and proinflammatory proteins during infection, tissue damage, or stress, by forming a complex at the cell membrane with an interleukin 1 receptor and an accessory protein. This gene encodes an interleukin 1 receptor accessory protein. Alternative splicing of this gene results in two transcript variants encoding two different isoforms, one membrane-bound and one soluble. [provided by RefSeq]

Long Name

Interleukin 1 Receptor Accessory Protein

Alternate Names

IL-1 R3, IL-1RAcP, IL1RAcP, IL1RAP

Gene Symbol

IL1RAP

UniProt

Additional IL-1 RAcP/IL-1 R3 Products

Product Documents for IL-1 RAcP/IL-1 R3 Antibody

Certificate of Analysis

To download a Certificate of Analysis, please enter a lot number in the search box below.

Product Specific Notices for IL-1 RAcP/IL-1 R3 Antibody

This product is for research use only and is not approved for use in humans or in clinical diagnosis. Primary Antibodies are guaranteed for 1 year from date of receipt.

Loading...
Loading...
Loading...
Loading...