Skip to main content

IKK beta Antibody - BSA Free

Novus Biologicals, part of Bio-Techne | Catalog # NBP1-87699

Novus Biologicals, part of Bio-Techne
Catalog #
Availability
Size / Price
Qty
Loading...
NBP1-87699
NBP1-87699-25ul

Key Product Details

Validated by

Knockout/Knockdown

Species Reactivity

Human

Applications

Immunohistochemistry, Immunohistochemistry-Paraffin, Western Blot, Immunocytochemistry/ Immunofluorescence, Knockdown Validated

Label

Unconjugated

Antibody Source

Polyclonal Rabbit IgG

Format

BSA Free

Concentration

Concentrations vary lot to lot. See vial label for concentration. If unlisted please contact technical services.

Product Specifications

Immunogen

This antibody was developed against Recombinant Protein corresponding to amino acids: PNGCFKALDDILNLKLVHILNMVTGTIHTYPVTEDESLQSLKARIQQDTGIPEEDQELLQEAGLALIPDKPATQCISDGKLNEGHTLDMDLVFLFDNSKITYETQISPRPQPESVSCILQEPKRNLAFFQLRKVWGQVWH

Reactivity Notes

Immunogen displays the following percentage of sequence identity for non-tested species: Mouse (89%), Rat (87%). Reactivity reported in scientific literature (PMID: 22093360).

Clonality

Polyclonal

Host

Rabbit

Isotype

IgG

Scientific Data Images for IKK beta Antibody - BSA Free

Western Blot: IKK beta Antibody [NBP1-87699]

Western Blot: IKK beta Antibody [NBP1-87699]

Western Blot: IKK beta Antibody [NBP1-87699] - Analysis in A-549 cells transfected with control siRNA, target specific siRNA probe #1 and #2, using Anti-IKBKB antibody. Remaining relative intensity is presented. Loading control: Anti-GAPDH.
Immunocytochemistry/ Immunofluorescence: IKK beta Antibody [NBP1-87699]

Immunocytochemistry/ Immunofluorescence: IKK beta Antibody [NBP1-87699]

Immunocytochemistry/Immunofluorescence: IKK beta Antibody [NBP1-87699] - Staining of human cell line U-251 MG shows localization to cytosol. Antibody staining is shown in green.
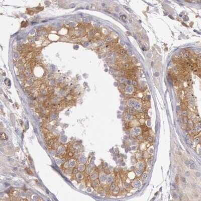
Immunohistochemistry-Paraffin: IKK beta Antibody [NBP1-87699]

Immunohistochemistry-Paraffin: IKK beta Antibody [NBP1-87699]

Immunohistochemistry-Paraffin: IKK beta Antibody [NBP1-87699] - Staining of human testis shows moderate cytoplasmic positivity in cells in seminiferus ducts.

Applications for IKK beta Antibody - BSA Free

Application
Recommended Usage

Immunocytochemistry/ Immunofluorescence

0.25-2 ug/ml

Immunohistochemistry

1:10-1:500

Immunohistochemistry-Paraffin

1:50-1:200

Western Blot

0.04 - 0.4 ug/ml
Application Notes
For IHC-Paraffin, HIER pH 6 retrieval is recommended. ICC/IF Fixation Permeabilization: Use PFA/Triton X-100.

Formulation, Preparation, and Storage

Purification

Affinity purified

Formulation

PBS (pH 7.2) and 40% Glycerol

Format

BSA Free

Preservative

0.02% Sodium Azide

Concentration

Concentrations vary lot to lot. See vial label for concentration. If unlisted please contact technical services.

Shipping

The product is shipped with polar packs. Upon receipt, store it immediately at the temperature recommended below.

Stability & Storage

Store at 4C short term. Aliquot and store at -20C long term. Avoid freeze-thaw cycles.

Background: IKK beta

NF-kB (nuclear factor kB) is sequestered in the cytoplasm by IkB family of inhibitory proteins that mask the nuclear localization signal of NF-kB thereby preventing translocation of NF-kB to the nucleus (1). External stimuli such as tumor necrosis factor or other cytokines results in phosphorylation and degradation of IkB releasing NF-kB dimers. NF-kB dimer subsequently translocates to the nucleus and activates target genes. Synthesis of IkBa is autoregulated (2). IkB proteins are phosphorylated by IkB kinase complex consisting of at least three proteins, IKK1/a, IKK2/b, and IKK3/g (3-5). IKK1/a and IKK2/b are phosphorylated by NF-kB-inducing kinase (NIK) (6) and MAP kinase kinase kinase-1 (MEKK1) (7), respectively. Recent studies have shown that IKK2/b, not IKK1/a, is the target proinflammatory stimuli (9). Targeted disruption of IKK2/b gene in mice also results in extensive liver damage from apotopsis and death as embryo (9).

Long Name

IkB Kinase beta

Alternate Names

IkBKB, IKK2, NFKBIKB

Gene Symbol

IKBKB

Additional IKK beta Products

Product Documents for IKK beta Antibody - BSA Free

Certificate of Analysis

To download a Certificate of Analysis, please enter a lot number in the search box below.

Product Specific Notices for IKK beta Antibody - BSA Free

This product is for research use only and is not approved for use in humans or in clinical diagnosis. Primary Antibodies are guaranteed for 1 year from date of receipt.

Loading...
Loading...
Loading...
Loading...