Skip to main content

IHPK2 Antibody - BSA Free

Novus Biologicals, part of Bio-Techne | Catalog # NBP1-89635

Novus Biologicals, part of Bio-Techne
Catalog #
Availability
Size / Price
Qty
Loading...
NBP1-89635
NBP1-89635-25ul

Key Product Details

Species Reactivity

Validated:

Human

Predicted:

Mouse (94%), Rat (94%). Backed by our 100% Guarantee.

Applications

Immunohistochemistry, Immunohistochemistry-Paraffin

Label

Unconjugated

Antibody Source

Polyclonal Rabbit IgG

Format

BSA Free

Concentration

Concentrations vary lot to lot. See vial label for concentration. If unlisted please contact technical services.

Product Specifications

Immunogen

This antibody was developed against Recombinant Protein corresponding to amino acids: MSPAFRAMDVEPRAKGVLLEPFVHQVGGHSCVLRFNETTLCKPLVPREHQFYETLPAEMRKFTP

Clonality

Polyclonal

Host

Rabbit

Isotype

IgG

Scientific Data Images for IHPK2 Antibody - BSA Free

Immunohistochemistry-Paraffin: IHPK2 Antibody [NBP1-89635]

Immunohistochemistry-Paraffin: IHPK2 Antibody [NBP1-89635]

Immunohistochemistry-Paraffin: IHPK2 Antibody [NBP1-89635] - Staining of human kidney shows moderate nuclear positivity in cells in glomeruli.
Immunohistochemistry-Paraffin: IHPK2 Antibody [NBP1-89635]

Immunohistochemistry-Paraffin: IHPK2 Antibody [NBP1-89635]

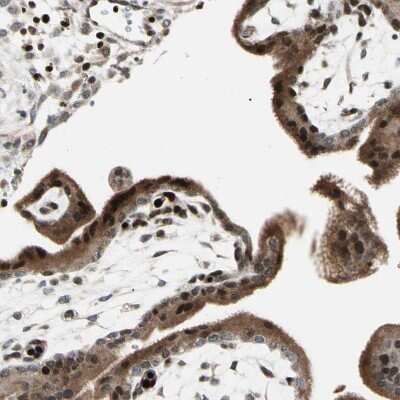
Immunohistochemistry-Paraffin: IHPK2 Antibody [NBP1-89635] - Staining of human placenta shows strong nuclear positivity in trophoblastic cells.
Immunohistochemistry-Paraffin: IHPK2 Antibody [NBP1-89635]

Immunohistochemistry-Paraffin: IHPK2 Antibody [NBP1-89635]

Immunohistochemistry-Paraffin: IHPK2 Antibody [NBP1-89635] - Staining of human stomach shows strong nuclear positivity in glandular cells.

Applications for IHPK2 Antibody - BSA Free

Application
Recommended Usage

Immunohistochemistry

1:50 - 1:200

Immunohistochemistry-Paraffin

1:50 - 1:200
Application Notes
For IHC-Paraffin, HIER pH 6 retrieval is recommended.

Formulation, Preparation, and Storage

Purification

Affinity purified

Formulation

PBS (pH 7.2) and 40% Glycerol

Format

BSA Free

Preservative

0.02% Sodium Azide

Concentration

Concentrations vary lot to lot. See vial label for concentration. If unlisted please contact technical services.

Shipping

The product is shipped with polar packs. Upon receipt, store it immediately at the temperature recommended below.

Stability & Storage

Store at 4C short term. Aliquot and store at -20C long term. Avoid freeze-thaw cycles.

Background: IHPK2

Inositol Hexakisphosphate Kinase 2 encodes a protein that belongs to the inositol phosphokinase (IPK) family. This protein is likely responsible for the conversion of inositol hexakisphosphate (InsP6) to diphosphoinositol pentakisphosphate (InsP7/PP-InsP5). It may also convert 1,3,4,5,6-pentakisphosphate (InsP5) to PP-InsP4 and affect the growth suppressive and apoptotic activities of interferon-beta in some ovarian cancers. Alternative splicing results in multiple transcript variants encoding different isoforms.

Alternate Names

EC 2.7.4.21, IHPK2ATP:1D-myo-inositol-hexakisphosphate phosphotransferase, inositol hexakisphosphate kinase 2, inositol hexaphosphate kinase 2, InsP6 kinase 2, P(i)-uptake stimulator, pi uptake stimulator, PiUS

Gene Symbol

IP6K2

Additional IHPK2 Products

Product Documents for IHPK2 Antibody - BSA Free

Certificate of Analysis

To download a Certificate of Analysis, please enter a lot number in the search box below.

Product Specific Notices for IHPK2 Antibody - BSA Free

This product is for research use only and is not approved for use in humans or in clinical diagnosis. Primary Antibodies are guaranteed for 1 year from date of receipt.

Loading...
Loading...
Loading...
Loading...