Skip to main content

IGSF6/DORA Antibody - BSA Free

Novus Biologicals, part of Bio-Techne | Catalog # NBP1-84061

Novus Biologicals, part of Bio-Techne
Catalog #
Availability
Size / Price
Qty
Loading...
NBP1-84061
NBP1-84061-25ul

Key Product Details

Species Reactivity

Human

Applications

Immunohistochemistry, Immunohistochemistry-Paraffin, Western Blot

Label

Unconjugated

Antibody Source

Polyclonal Rabbit IgG

Format

BSA Free

Concentration

Concentrations vary lot to lot. See vial label for concentration. If unlisted please contact technical services.

Product Specifications

Immunogen

This antibody was developed against Recombinant Protein corresponding to amino acids: VTIKCTFSATGCPSEQPTCLWFRYGAHQPENLCLDGCKSEADKFTVREALKENQVSLTVNRVTSNDSAIYICGIAFPSVPEARAKQTGGGTTLVVREIKLLSK

Clonality

Polyclonal

Host

Rabbit

Isotype

IgG

Description

Novus Biologicals Rabbit IGSF6/DORA Antibody - BSA Free (NBP1-84061) is a polyclonal antibody validated for use in IHC and WB. All Novus Biologicals antibodies are covered by our 100% guarantee.

Scientific Data Images for IGSF6/DORA Antibody - BSA Free

Immunohistochemistry-Paraffin: IGSF6/DORA Antibody [NBP1-84061]

Immunohistochemistry-Paraffin: IGSF6/DORA Antibody [NBP1-84061]

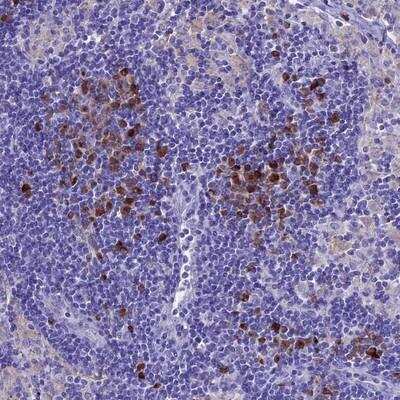
Immunohistochemistry-Paraffin: IGSF6/DORA Antibody [NBP1-84061] - DORA Antibody [NBP1-84061] - Staining of human lymph node shows strong positivity in a subset of cells.
IGSF6/DORA Antibody - BSA Free Immunohistochemistry-Paraffin: IGSF6/DORA Antibody - BSA Free [NBP1-84061]

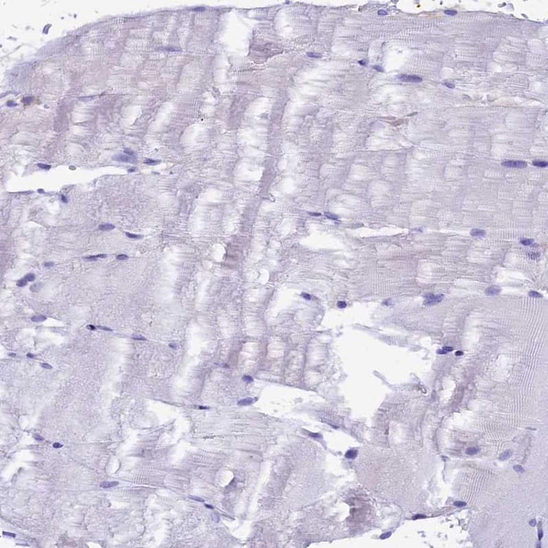
Immunohistochemistry-Paraffin: IGSF6/DORA Antibody - BSA Free [NBP1-84061]

Staining of human skeletal muscle shows no positivity in myocytes as expected.
IGSF6/DORA Antibody - BSA Free Immunohistochemistry-Paraffin: IGSF6/DORA Antibody - BSA Free [NBP1-84061]

Immunohistochemistry-Paraffin: IGSF6/DORA Antibody - BSA Free [NBP1-84061]

Staining of human pancreas shows no positivity in exocrine glandular cells as expected.

Applications for IGSF6/DORA Antibody - BSA Free

Application
Recommended Usage

Immunohistochemistry

1:50 - 1:200

Immunohistochemistry-Paraffin

1:50 - 1:200

Western Blot

0.04-0.4 ug/ml
Application Notes
For IHC-Paraffin, HIER pH 6 retrieval is recommended.

Formulation, Preparation, and Storage

Purification

Affinity purified

Formulation

PBS (pH 7.2) and 40% Glycerol

Format

BSA Free

Preservative

0.02% Sodium Azide

Concentration

Concentrations vary lot to lot. See vial label for concentration. If unlisted please contact technical services.

Shipping

The product is shipped with polar packs. Upon receipt, store it immediately at the temperature recommended below.

Stability & Storage

Store at 4C short term. Aliquot and store at -20C long term. Avoid freeze-thaw cycles.

Background: IGSF6/DORA

DORA stands for down-regulated by activation.The Immunoglobulin Superfamily (IgSF) is a group of proteins that are involved in the recognition, binding, or adhesion processes of cells. IgSF proteins got their name because they possess an immunoglobulin (Ig) domain. DORA is also known as protein Immunoglobulin superfamily member 6. Immunoglobulin Superfamily Member 6, IGSF6, has been localized to a locus linked with inflammatory bowel disease; however, studies have shown that it lacks an association to the condition.

Long Name

Immunoglobulin Superfamily, Member 6

Alternate Names

DORA

Gene Symbol

IGSF6

Additional IGSF6/DORA Products

Product Documents for IGSF6/DORA Antibody - BSA Free

Certificate of Analysis

To download a Certificate of Analysis, please enter a lot number in the search box below.

Product Specific Notices for IGSF6/DORA Antibody - BSA Free

This product is for research use only and is not approved for use in humans or in clinical diagnosis. Primary Antibodies are guaranteed for 1 year from date of receipt.

Loading...
Loading...
Loading...
Loading...