Skip to main content

IGSF3 Antibody - BSA Free

Novus Biologicals, part of Bio-Techne | Catalog # NBP2-38292

Novus Biologicals, part of Bio-Techne
Catalog #
Availability
Size / Price
Qty
Loading...
NBP2-38292
NBP2-38292-25ul

Key Product Details

Validated by

Orthogonal Validation

Species Reactivity

Validated:

Human

Predicted:

Mouse (96%), Rat (96%). Backed by our 100% Guarantee.

Applications

Immunohistochemistry, Immunohistochemistry-Paraffin, Western Blot

Label

Unconjugated

Antibody Source

Polyclonal Rabbit IgG

Format

BSA Free

Concentration

Concentrations vary lot to lot. See vial label for concentration. If unlisted please contact technical services.

Product Specifications

Immunogen

This antibody was developed against a recombinant protein corresponding to amino acids: VGTVEFHDLVTFTRDGGVQWGDRSSSFRTRTAIEKAESSNNVRLSISRASDTEAGKYQCVAELWRKNYNNTWTRLAERTSNLLEIRVLQPVTKLQVSKSKRTLTLVENKPIQLNCSVKSQTSQNSHFAVLWYVHKPSDA

Clonality

Polyclonal

Host

Rabbit

Isotype

IgG

Description

Novus Biologicals Rabbit IGSF3 Antibody - BSA Free (NBP2-38292) is a polyclonal antibody validated for use in IHC and WB. All Novus Biologicals antibodies are covered by our 100% guarantee.

Scientific Data Images for IGSF3 Antibody - BSA Free

Western Blot: IGSF3 Antibody [NBP2-38292]

Western Blot: IGSF3 Antibody [NBP2-38292]

Western Blot: IGSF3 Antibody [NBP2-38292] - Analysis in human cell lines MCF-7 and HEK293 using anti-IGSF3 antibody. Corresponding IGSF3 RNA-seq data are presented for the same cell lines. Loading control: anti-PFN1.
Immunohistochemistry-Paraffin: IGSF3 Antibody [NBP2-38292]

Immunohistochemistry-Paraffin: IGSF3 Antibody [NBP2-38292]

Immunohistochemistry-Paraffin: IGSF3 Antibody [NBP2-38292] - Staining of human skeletal muscle shows no positivity in myocytes as expected.
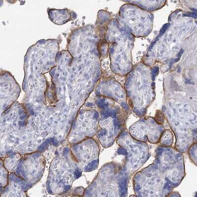
Immunohistochemistry-Paraffin: IGSF3 Antibody [NBP2-38292]

Immunohistochemistry-Paraffin: IGSF3 Antibody [NBP2-38292]

Immunohistochemistry-Paraffin: IGSF3 Antibody [NBP2-38292] - Staining of human placenta shows strong positivity in plasma membrane in trophoblastic cells.

Applications for IGSF3 Antibody - BSA Free

Application
Recommended Usage

Immunohistochemistry

1:200 - 1:500

Immunohistochemistry-Paraffin

1:200 - 1:500

Western Blot

0.04-0.4 ug/ml
Application Notes
For IHC-Paraffin, HIER pH 6 retrieval is recommended.

Formulation, Preparation, and Storage

Purification

Affinity purified

Formulation

PBS (pH 7.2) and 40% Glycerol

Format

BSA Free

Preservative

0.02% Sodium Azide

Concentration

Concentrations vary lot to lot. See vial label for concentration. If unlisted please contact technical services.

Shipping

The product is shipped with polar packs. Upon receipt, store it immediately at the temperature recommended below.

Stability & Storage

Store at 4C short term. Aliquot and store at -20C long term. Avoid freeze-thaw cycles.

Background: IGSF3

Long Name

Immunoglobulin Superfamily, Member 3

Alternate Names

EWI-3, V8

Gene Symbol

IGSF3

UniProt

Additional IGSF3 Products

Product Documents for IGSF3 Antibody - BSA Free

Certificate of Analysis

To download a Certificate of Analysis, please enter a lot number in the search box below.

Product Specific Notices for IGSF3 Antibody - BSA Free

This product is for research use only and is not approved for use in humans or in clinical diagnosis. Primary Antibodies are guaranteed for 1 year from date of receipt.

Loading...
Loading...
Loading...
Loading...