Skip to main content

IgJ Antibody (OTI3B3)

Novus Biologicals, part of Bio-Techne | Catalog # NBP2-01688

Novus Biologicals, part of Bio-Techne
Catalog #
Availability
Size / Price
Qty
Loading...
NBP2-01688

Key Product Details

Species Reactivity

Human

Applications

Immunohistochemistry, Immunohistochemistry-Paraffin, Western Blot, Flow Cytometry

Label

Unconjugated

Antibody Source

Monoclonal Mouse IgG1 Clone # OTI3B3

Concentration

0.83 mg/ml

Product Specifications

Immunogen

Full length human recombinant protein of human IGJ(NP_653247) produced in HEK293T cell.

Clonality

Monoclonal

Host

Mouse

Isotype

IgG1

Theoretical MW

17.9 kDa.
Disclaimer note: The observed molecular weight of the protein may vary from the listed predicted molecular weight due to post translational modifications, post translation cleavages, relative charges, and other experimental factors.

Description

Purified from mouse ascites fluids or tissue culture supernatant by affinity chromatography (Protein A or G)

Scientific Data Images for IgJ Antibody (OTI3B3)

Western Blot: IgJ Antibody (OTI3B3) [NBP2-01688]

Western Blot: IgJ Antibody (OTI3B3) [NBP2-01688]

Western Blot: IgJ Antibody (3B3) [NBP2-01688] - HEK293T cells were transfected with the pCMV6-ENTRY control (Left lane) or pCMV6-ENTRY IgJ (Right lane) cDNA for 48 hrs and lysed. Equivalent amounts of cell lysates (5 ug per lane) were separated by SDS-PAGE and immunoblotted with anti-IgJ.
Immunohistochemistry-Paraffin: IgJ Antibody (3B3) [NBP2-01688] Staining of paraffin-embedded Human tonsil using anti-IgJ mouse monoclonal antibody.
Immunohistochemistry-Paraffin: IgJ Antibody (OTI3B3) [NBP2-01688]

Immunohistochemistry-Paraffin: IgJ Antibody (OTI3B3) [NBP2-01688]

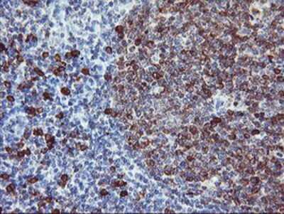
Immunohistochemistry-Paraffin: IgJ Antibody (3B3) [NBP2-01688] - Staining of paraffin-embedded Human lymphoma tissue using anti-IgJ mouse monoclonal antibody.

Applications for IgJ Antibody (OTI3B3)

Application
Recommended Usage

Flow Cytometry

1:100

Immunohistochemistry

1:150

Immunohistochemistry-Paraffin

1:150

Western Blot

1:2000

Formulation, Preparation, and Storage

Purification

Protein A or G purified from ascites

Formulation

PBS (pH 7.3), 1.0% BSA and 50% Glycerol

Preservative

0.02% Sodium Azide

Concentration

0.83 mg/ml

Shipping

The product is shipped with polar packs. Upon receipt, store it immediately at the temperature recommended below.

Stability & Storage

Store at -20C. Avoid freeze-thaw cycles.

Background: IgJ

Serves to link two monomer units of either IgM or IgA. In the case of IgM, the J chain-joined dimer is a nucleating unit for the IgM pentamer, and in the case of IgA it induces larger polymers. It also help to bind these immunoglobulins to secretory component

Alternate Names

IGCJJCH, immunoglobulin J chain, immunoglobulin J polypeptide, linker protein for immunoglobulin alpha and mupolypeptides

Entrez Gene IDs

3512 (Human)

Gene Symbol

JCHAIN

Additional IgJ Products

Product Documents for IgJ Antibody (OTI3B3)

Certificate of Analysis

To download a Certificate of Analysis, please enter a lot number in the search box below.

Product Specific Notices for IgJ Antibody (OTI3B3)

This product is for research use only and is not approved for use in humans or in clinical diagnosis. Primary Antibodies are guaranteed for 1 year from date of receipt.

Loading...
Loading...
Loading...
Loading...
Loading...