Skip to main content

IGHMBP2 Antibody - Azide and BSA Free

Novus Biologicals, part of Bio-Techne | Catalog # NBP3-05096

Novus Biologicals, part of Bio-Techne
Catalog #
Availability
Size / Price
Qty
Loading...
NBP3-05096-20ul
NBP3-05096-100ul

Key Product Details

Species Reactivity

Validated:

Human, Mouse, Rat

Cited:

Human, Mouse

Applications

Validated:

Immunohistochemistry, Immunohistochemistry-Paraffin, Western Blot, ELISA

Cited:

Western Blot

Label

Unconjugated

Antibody Source

Polyclonal Rabbit IgG

Format

Azide and BSA Free

Concentration

Please see the vial label for concentration. If unlisted please contact technical services.

Product Specifications

Immunogen

Recombinant fusion protein containing a sequence corresponding to amino acids 540-720 of human IGHMBP2 (NP_002171.2). PYNLQVDLLRQSLVHRHPELEIKSVDGFQGREKEAVILSFVRSNRKGEVGFLAEDRRINVAVTRARRHVAVICDSRTVNNHAFLKTLVEYFTQHGEVRTAFEYLDDIVPENYSHENSQGSSHAATKPQGPATSTRTGSQRQEGGQEAAAPARQGRKKPAGKSLASEAPSQPSLNGGSPEGV

Clonality

Polyclonal

Host

Rabbit

Isotype

IgG

Theoretical MW

109 kDa.
Disclaimer note: The observed molecular weight of the protein may vary from the listed predicted molecular weight due to post translational modifications, post translation cleavages, relative charges, and other experimental factors.

Description

Novus Biologicals Rabbit IGHMBP2 Antibody - Azide and BSA Free (NBP3-05096) is a polyclonal antibody validated for use in IHC, WB and ELISA. Anti-IGHMBP2 Antibody: Cited in 1 publication. All Novus Biologicals antibodies are covered by our 100% guarantee.

Scientific Data Images for IGHMBP2 Antibody - Azide and BSA Free

Western Blot: IGHMBP2 AntibodyAzide and BSA Free [NBP3-05096]

Western Blot: IGHMBP2 AntibodyAzide and BSA Free [NBP3-05096]

Western Blot: IGHMBP2 Antibody [NBP3-05096] - Analysis of extracts of various cell lines, using IGHMBP2 antibody at 1:1000 dilution. Secondary antibody: HRP Goat Anti-Rabbit IgG (H+L) at 1:10000 dilution. Lysates/proteins: 25ug per lane. Blocking buffer: 3% nonfat dry milk in TBST. Detection: ECL Basic Kit
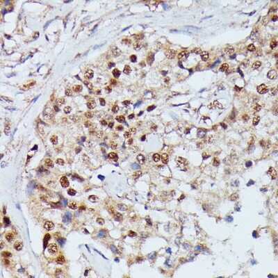
Immunohistochemistry-Paraffin: IGHMBP2 Antibody - Azide and BSA Free [NBP3-05096]

Immunohistochemistry-Paraffin: IGHMBP2 Antibody - Azide and BSA Free [NBP3-05096]

Immunohistochemistry-Paraffin: IGHMBP2 Antibody [NBP3-05096] - Human lung cancer using IGHMBP2 antibody at dilution of 1:100 (40x lens).
Immunohistochemistry-Paraffin: IGHMBP2 Antibody - Azide and BSA Free [NBP3-05096]

Immunohistochemistry-Paraffin: IGHMBP2 Antibody - Azide and BSA Free [NBP3-05096]

Immunohistochemistry-Paraffin: IGHMBP2 Antibody [NBP3-05096] - Rat brain using IGHMBP2 antibody at dilution of 1:100 (40x lens).

Applications for IGHMBP2 Antibody - Azide and BSA Free

Application
Recommended Usage

Immunohistochemistry

1:50-1:100

Western Blot

1:500-1:2000

Formulation, Preparation, and Storage

Purification

Affinity purified

Formulation

PBS (pH 7.3), 50% glycerol

Format

Azide and BSA Free

Preservative

0.01% Thimerosal

Concentration

Please see the vial label for concentration. If unlisted please contact technical services.

Shipping

The product is shipped with polar packs. Upon receipt, store it immediately at the temperature recommended below.

Stability & Storage

Store at -20C. Avoid freeze-thaw cycles.

Background: IGHMBP2

The IGHMBP2 gene encodes a helicase superfamily member that binds a specific DNA sequence from the immunoglobulin mu chain switch region. Mutations in this gene lead to spinal muscle atrophy with respiratory distress type 1. (provided by RefSeq)

Alternate Names

ATP-dependent helicase IGHMBP2, CATF1FLJ41171, EC 3.6.1, EC 3.6.4.12, EC 3.6.4.13, GF-1, Glial factor 1, HCSA, HMN6cardiac transcription factor 1, immunoglobulin mu binding protein 2, Immunoglobulin mu-binding protein 2, SMARD1DNA-binding protein SMUBP-2, SMBP2, SMUBP2FLJ34220

Gene Symbol

IGHMBP2

Additional IGHMBP2 Products

Product Documents for IGHMBP2 Antibody - Azide and BSA Free

Certificate of Analysis

To download a Certificate of Analysis, please enter a lot number in the search box below.

Product Specific Notices for IGHMBP2 Antibody - Azide and BSA Free

This product is for research use only and is not approved for use in humans or in clinical diagnosis. Primary Antibodies are guaranteed for 1 year from date of receipt.

Loading...
Loading...
Loading...
Loading...

⚠ WARNING: This product can expose you to chemicals including Methotrexate, which is known to the State of California to cause reproductive toxicity with developmental effects. For more information, go to www.P65Warnings.ca.gov