Skip to main content

IgD Antibody (IGHD/8367R)

Novus Biologicals, part of Bio-Techne | Catalog # NBP3-20495

Recombinant Monoclonal Antibody
Novus Biologicals, part of Bio-Techne
Catalog #
Availability
Size / Price
Qty
Loading...
NBP3-20495-100ug
NBP3-20495-20ug
Conjugate
Catalog #

Key Product Details

Species Reactivity

Human

Applications

Immunohistochemistry-Paraffin

Label

Unconjugated

Antibody Source

Recombinant Monoclonal Rabbit IgG Kappa Clone # IGHD/8367R

Concentration

0.2 mg/ml

Product Specifications

Immunogen

Recombinant fragment (around aa1-200) of human IgD protein (exact sequence is proprietary)

Localization

Cytoplasm.

Clonality

Monoclonal

Host

Rabbit

Isotype

IgG Kappa

Description

Positive Controls: Human tonsil lysate or NAMALWA cell lysate. Human tonsil and lymphoid tissues

Antibody with azide - store at 2 to 8C. Antibody without azide - store at -20 to -80C. Non-hazardous. No MSDS required.

Scientific Data Images for IgD Antibody (IGHD/8367R)

IgD Antibody (IGHD/8367R)

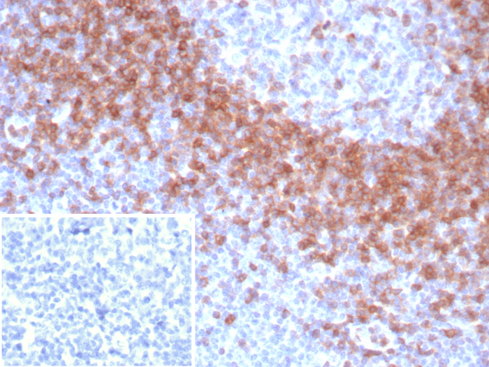
IgD Antibody (IGHD/8367R)

Formalin-fixed, paraffin-embedded human tonsil stained with IgD antibody (IGHD/8367R). Inset: PBS instead of primary antibody; secondary only negative control.

Applications for IgD Antibody (IGHD/8367R)

Application
Recommended Usage

Immunohistochemistry-Paraffin

1-2 ug/ml
Application Notes
Immunohistochemistry (Formalin-fixed): 1-2ug/ml for 30 minutes. at RT. Staining of formalin-fixed tissues requires heating tissue sections in 10mM Tris with 1mM EDTA, pH 9.0, for 45 min at 95C followed by cooling at RT for 20 minutes.

Optimal dilution for a specific application should be determined.

Formulation, Preparation, and Storage

Purification

Protein A or G purified

Formulation

1mM PBS with 0.05% BSA

Preservative

0.05% Sodium Azide

Concentration

0.2 mg/ml

Shipping

The product is shipped with polar packs. Upon receipt, store it immediately at the temperature recommended below.

Stability & Storage

Store at 4C. Do not freeze.

Background: IgD

Immunoglobulin D (IgD) is an antibody isotype typically expressed in the plasma membranes of naïve B cells, usually co-expressed with IgM. IgD is also found secreted in small amounts in serum. Secreted IgD is produced as a monomeric antibody with two heavy chains of the delta class, and two Ig light chains.

Long Name

Immunoglobulin D

Alternate Names

Igh-5, Ighd, Immunoglobulin Delta

Gene Symbol

IGHD

Additional IgD Products

Product Documents for IgD Antibody (IGHD/8367R)

Certificate of Analysis

To download a Certificate of Analysis, please enter a lot number in the search box below.

Product Specific Notices for IgD Antibody (IGHD/8367R)

This product is for research use only and is not approved for use in humans or in clinical diagnosis. Primary Antibodies are guaranteed for 1 year from date of receipt.

Loading...
Loading...
Loading...
Loading...