Skip to main content

IFTAP Antibody - BSA Free

Novus Biologicals, part of Bio-Techne | Catalog # NBP3-47831

Novus Biologicals, part of Bio-Techne
Catalog #
Availability
Size / Price
Qty
Loading...
NBP3-47831

Key Product Details

Species Reactivity

Human, Mouse

Applications

Immunohistochemistry, Western Blot, ELISA

Label

Unconjugated

Antibody Source

Polyclonal Rabbit IgG

Format

BSA Free

Concentration

Please see the vial label for concentration. If unlisted please contact technical services.

Product Specifications

Immunogen

chromosome 11 open reading frame 74. (Uniprot# Q86VG3)

Clonality

Polyclonal

Host

Rabbit

Isotype

IgG

Theoretical MW

25 kDa.
Disclaimer note: The observed molecular weight of the protein may vary from the listed predicted molecular weight due to post translational modifications, post translation cleavages, relative charges, and other experimental factors.

Description

Novus Biologicals Rabbit IFTAP Antibody - BSA Free (NBP3-47831) is a polyclonal antibody validated for use in IHC, WB and ELISA. All Novus Biologicals antibodies are covered by our 100% guarantee.

Scientific Data Images for IFTAP Antibody - BSA Free

IFTAP Antibody - BSA Free

Western Blot: IFTAP Antibody - BSA Free [NBP3-47831] -

Western Blot: IFTAP Antibody - BSA Free [NBP3-47831] - Mouse skeletal muscle tissue were subjected to SDS PAGE followed by western blot with (IFTAP Antibody) at dilution of 1:600
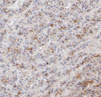
IFTAP Antibody - BSA Free

Immunohistochemistry: IFTAP Antibody - BSA Free [NBP3-47831] -

Immunohistochemistry: IFTAP Antibody - BSA Free [NBP3-47831] - Immunohistochemistry of paraffin-embedded human liver cancer tissue slide using (IFTAP Antibody) at dilution of 1:50

Applications for IFTAP Antibody - BSA Free

Application
Recommended Usage

Immunohistochemistry

1:20-1:200

Western Blot

1:500-1:2000

Formulation, Preparation, and Storage

Purification

Immunogen affinity purified

Formulation

PBS, 50% Glycerol, pH (7.3)

Format

BSA Free

Preservative

0.02% Sodium Azide

Concentration

Please see the vial label for concentration. If unlisted please contact technical services.

Shipping

The product is shipped with polar packs. Upon receipt, store it immediately at the temperature recommended below.

Stability & Storage

Store at -20C. Avoid freeze-thaw cycles.

Background: IFTAP

Alternate Names

chromosome 11 open reading frame 74, FLJ38678, HEPIS, hypothetical protein LOC119710, NWC, Protein HEPIS

Gene Symbol

C11ORF74

Additional IFTAP Products

Product Documents for IFTAP Antibody - BSA Free

Certificate of Analysis

To download a Certificate of Analysis, please enter a lot number in the search box below.

Product Specific Notices for IFTAP Antibody - BSA Free

This product is for research use only and is not approved for use in humans or in clinical diagnosis. Primary Antibodies are guaranteed for 1 year from date of receipt.

Loading...
Loading...
Loading...
Loading...