IFT88 Antibody (2B2) - BSA Free
Novus Biologicals, part of Bio-Techne | Catalog # NBP3-42984
Key Product Details
Species Reactivity
Human, Mouse, Rat
Applications
Western Blot, ELISA
Label
Unconjugated
Antibody Source
Monoclonal Mouse IgG1 Clone # 2B2
Format
BSA Free
Concentration
Please see the vial label for concentration. If unlisted please contact technical services.
Product Specifications
Immunogen
intraflagellar transport 88 homolog(Chlamydomonas) - (Uniprot# Q13099)
Clonality
Monoclonal
Host
Mouse
Isotype
IgG1
Scientific Data Images for IFT88 Antibody (2B2) - BSA Free
Western Blot: IFT88 Antibody (2B2) [NBP3-42984] -
Western Blot: IFT88 Antibody (2B2) [NBP3-42984] - NCCIT cell were subjected to SDS PAGE followed by western blot with (IFT88 Antibody) at dilution of 1:4000Immunohistochemistry: IFT88 Antibody (2B2) [NBP3-42984] -
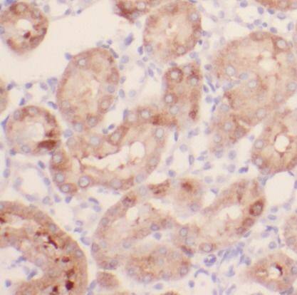
Immunohistochemistry: IFT88 Antibody (2B2) [NBP3-42984] - Immunohistochemistry of paraffin-embedded human kidney using (IFT88 antibody) at dilution of 1:50Immunoprecipitation: IFT88 Antibody (2B2) [NBP3-42984] -
Immunoprecipitation: IFT88 Antibody (2B2) [NBP3-42984] - IP Result of anti-IFT88 (IP:FNab04165, 5ug; Detection:FNab04165 1:800) with PC-3 cells lysate 1040ug.Applications for IFT88 Antibody (2B2) - BSA Free
Application
Recommended Usage
Western Blot
1:500 - 1:5000
Immunoprecipitation1:200 - 1:2000
Immunohistochemistry 1:20 - 1:200
Formulation, Preparation, and Storage
Purification
Protein A or G purified
Formulation
PBS (pH 7.3), 50% glycerol
Format
BSA Free
Preservative
0.02% Sodium Azide
Concentration
Please see the vial label for concentration. If unlisted please contact technical services.
Shipping
The product is shipped with polar packs. Upon receipt, store it immediately at the temperature recommended below.
Stability & Storage
Store at -20C. Avoid freeze-thaw cycles.
Background: IFT88
Alternate Names
D13S1056ETPR repeat protein 10, DAF19, hTg737, intraflagellar transport 88 homolog (Chlamydomonas), intraflagellar transport protein 88 homolog, MGC26259, polaris homolog, probe hTg737 (polycystic kidney disease, autosomal recessive), Recessive polycystic kidney disease protein Tg737 homolog, tetratricopeptide repeat domain 10, Tetratricopeptide repeat protein 10, TG737Tg737, TTC10
Gene Symbol
IFT88
Additional IFT88 Products
Product Documents for IFT88 Antibody (2B2) - BSA Free
Product Specific Notices for IFT88 Antibody (2B2) - BSA Free
This product is for research use only and is not approved for use in humans or in clinical diagnosis. Primary Antibodies are guaranteed for 1 year from date of receipt.
Loading...
Loading...
Loading...
Loading...