IFT81 Antibody - BSA Free
Novus Biologicals, part of Bio-Techne | Catalog # NBP1-84558
Key Product Details
Species Reactivity
Human
Applications
Immunohistochemistry, Immunohistochemistry-Paraffin, Western Blot, Immunocytochemistry/ Immunofluorescence
Label
Unconjugated
Antibody Source
Polyclonal Rabbit IgG
Format
BSA Free
Concentration
Concentrations vary lot to lot. See vial label for concentration. If unlisted please contact technical services.
Product Specifications
Immunogen
This antibody was developed against Recombinant Protein corresponding to amino acids: KVVSEPAMGHSDLLELESKINEINTEINQLIEKKMMRNEPIEGKLSLYRQQASIISRKKEAKAEELQEAKEKLASLEREASVKRNQTREFDGTEV
Clonality
Polyclonal
Host
Rabbit
Isotype
IgG
Scientific Data Images for IFT81 Antibody - BSA Free
Immunocytochemistry/ Immunofluorescence: IFT81 Antibody [NBP1-84558]
Immunocytochemistry/Immunofluorescence: IFT81 Antibody [NBP1-84558] - Immunofluorescent staining of human cell line U-251 MG shows localization to centrosome.Immunohistochemistry-Paraffin: IFT81 Antibody [NBP1-84558]
Immunohistochemistry-Paraffin: IFT81 Antibody [NBP1-84558] - Staining of human Skeletal muscle shows moderate cytoplasmic positivity in myocytes.Immunohistochemistry-Paraffin: IFT81 Antibody [NBP1-84558]
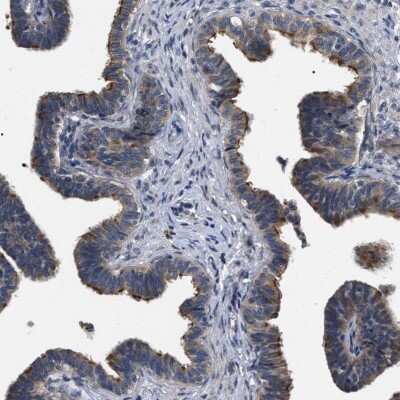
Immunohistochemistry-Paraffin: IFT81 Antibody [NBP1-84558] - Staining of human fallopian tube shows moderate cytoplasmic positivity in glandular cells.Applications for IFT81 Antibody - BSA Free
Application
Recommended Usage
Immunocytochemistry/ Immunofluorescence
0.25-2 ug/ml
Immunohistochemistry
1:50 - 1:200
Immunohistochemistry-Paraffin
1:50-1:200
Western Blot
1:100-1:500
Application Notes
For IHC-Paraffin, HIER pH 6 retrieval is recommended. Immunocytochemistry/Immunofluorescence Fixation Permeabilization: Use PFA/Triton X-100.
Formulation, Preparation, and Storage
Purification
Affinity purified
Formulation
PBS (pH 7.2) and 40% Glycerol
Format
BSA Free
Preservative
0.02% Sodium Azide
Concentration
Concentrations vary lot to lot. See vial label for concentration. If unlisted please contact technical services.
Shipping
The product is shipped with polar packs. Upon receipt, store it immediately at the temperature recommended below.
Stability & Storage
Store at 4C short term. Aliquot and store at -20C long term. Avoid freeze-thaw cycles.
Background: IFT81
Alternate Names
carnitine deficiency-associated gene expressed in ventricle 1, Carnitine deficiency-associated protein expressed in ventricle 1, CDV-1, CDV1carnitine deficiency-associated, expressed in ventricle 1, CDV1R, CDV-1R, intraflagellar transport 81 homolog (Chlamydomonas), intraflagellar transport protein 81 homolog, MGC102777, MGC4027
Gene Symbol
IFT81
Additional IFT81 Products
Product Documents for IFT81 Antibody - BSA Free
Product Specific Notices for IFT81 Antibody - BSA Free
This product is for research use only and is not approved for use in humans or in clinical diagnosis. Primary Antibodies are guaranteed for 1 year from date of receipt.
Loading...
Loading...
Loading...
Loading...