Skip to main content

IFT52 Antibody - BSA Free

Novus Biologicals, part of Bio-Techne | Catalog # NBP2-55756

Novus Biologicals, part of Bio-Techne
Catalog #
Availability
Size / Price
Qty
Loading...
NBP2-55756
NBP2-55756-25ul

Key Product Details

Validated by

Orthogonal Validation

Species Reactivity

Validated:

Human

Predicted:

Mouse (95%). Backed by our 100% Guarantee.

Applications

Immunohistochemistry, Immunohistochemistry-Paraffin

Label

Unconjugated

Antibody Source

Polyclonal Rabbit IgG

Format

BSA Free

Concentration

Concentrations vary lot to lot. See vial label for concentration. If unlisted please contact technical services.

Product Specifications

Immunogen

This antibody was developed against a recombinant protein corresponding to the following amino acid sequence: EPLQLIQPQFETPLPTLQPAVFPPSFRELPPPPLELFDLDETFSSEKARLAQITNKCTEEDLEFYVRKCGDILGVTSKLPKDQQDA

Clonality

Polyclonal

Host

Rabbit

Isotype

IgG

Description

Novus Biologicals Rabbit IFT52 Antibody - BSA Free (NBP2-55756) is a polyclonal antibody validated for use in IHC. All Novus Biologicals antibodies are covered by our 100% guarantee.

Scientific Data Images for IFT52 Antibody - BSA Free

Immunohistochemistry-Paraffin: IFT52 Antibody [NBP2-55756]

Immunohistochemistry-Paraffin: IFT52 Antibody [NBP2-55756]

Immunohistochemistry-Paraffin: IFT52 Antibody [NBP2-55756] - Staining in human fallopian tube and liver tissues using anti-IFT52 antibody. Corresponding IFT52 RNA-seq data are presented for the same tissues.
Immunohistochemistry-Paraffin: IFT52 Antibody [NBP2-55756]

Immunohistochemistry-Paraffin: IFT52 Antibody [NBP2-55756]

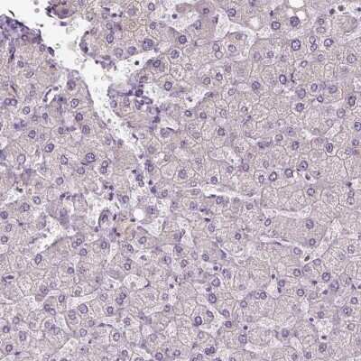
Immunohistochemistry-Paraffin: IFT52 Antibody [NBP2-55756] - Staining of human liver shows low expression as expected.
Immunohistochemistry-Paraffin: IFT52 Antibody [NBP2-55756]

Immunohistochemistry-Paraffin: IFT52 Antibody [NBP2-55756]

Immunohistochemistry-Paraffin: IFT52 Antibody [NBP2-55756] - Staining of human fallopian tube shows high expression.

Applications for IFT52 Antibody - BSA Free

Application
Recommended Usage

Immunohistochemistry

1:1000 - 1:2500

Immunohistochemistry-Paraffin

1:1000 - 1:2500
Application Notes
For IHC-Paraffin, HIER pH 6 retrieval is recommended.

Formulation, Preparation, and Storage

Purification

Affinity purified

Formulation

PBS (pH 7.2) and 40% Glycerol

Format

BSA Free

Preservative

0.02% Sodium Azide

Concentration

Concentrations vary lot to lot. See vial label for concentration. If unlisted please contact technical services.

Shipping

The product is shipped with polar packs. Upon receipt, store it immediately at the temperature recommended below.

Stability & Storage

Store at 4C short term. Aliquot and store at -20C long term. Avoid freeze-thaw cycles.

Background: IFT52

Alternate Names

CGI-53, chromosome 20 open reading frame 9, dJ1028D15.1, intraflagellar transport 52 homolog (Chlamydomonas), intraflagellar transport protein 52 homolog, NGD2, NGD5C20orf9, Protein NGD5 homolog

Gene Symbol

IFT52

Additional IFT52 Products

Product Documents for IFT52 Antibody - BSA Free

Certificate of Analysis

To download a Certificate of Analysis, please enter a lot number in the search box below.

Product Specific Notices for IFT52 Antibody - BSA Free

This product is for research use only and is not approved for use in humans or in clinical diagnosis. Primary Antibodies are guaranteed for 1 year from date of receipt.

Loading...
Loading...
Loading...
Loading...