Skip to main content

IFITM3/Fragilis Antibody - BSA Free

Novus Biologicals, part of Bio-Techne | Catalog # NBP1-89401

Novus Biologicals, part of Bio-Techne
Catalog #
Availability
Size / Price
Qty
Loading...
NBP1-89401
NBP1-89401-25ul

Key Product Details

Species Reactivity

Human

Applications

Immunohistochemistry, Immunohistochemistry-Paraffin, Western Blot

Label

Unconjugated

Antibody Source

Polyclonal Rabbit IgG

Format

BSA Free

Concentration

Concentrations vary lot to lot. See vial label for concentration. If unlisted please contact technical services.

Product Specifications

Immunogen

This antibody was developed against Recombinant Protein corresponding to amino acids: MNHTVQTFFSPVNSGQPPNYEMLKEEHEVAVLGAPHNPAPPTSTVIHIRSETSVPDH

Reactivity Notes

Reactivity reported in scientific literature (PMID: 23435261)

Clonality

Polyclonal

Host

Rabbit

Isotype

IgG

Scientific Data Images for IFITM3/Fragilis Antibody - BSA Free

Western Blot: IFITM3/Fragilis Antibody [NBP1-89401]

Western Blot: IFITM3/Fragilis Antibody [NBP1-89401]

Western Blot: IFITM3/Fragilis Antibody [NBP1-89401] - Analysis in human cell lines SK-MEL-30 and Caco-2 using anti-IFITM3 antibody. Corresponding IFITM3 RNA-seq data are presented for the same cell lines. Loading control: anti-HDAC1.
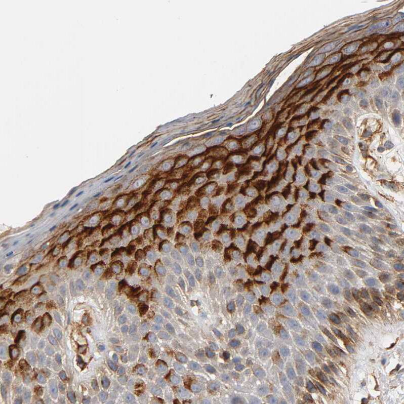
IFITM3/Fragilis Antibody - BSA Free Immunohistochemistry-Paraffin: IFITM3/Fragilis Antibody - BSA Free [NBP1-89401]

Immunohistochemistry-Paraffin: IFITM3/Fragilis Antibody - BSA Free [NBP1-89401]

Staining of human cervix, uterine shows strong cytoplasmic granular positivity in squamous epithelial cells.
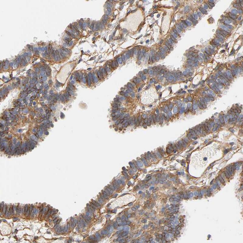
IFITM3/Fragilis Antibody - BSA Free Immunohistochemistry-Paraffin: IFITM3/Fragilis Antibody - BSA Free [NBP1-89401]

Immunohistochemistry-Paraffin: IFITM3/Fragilis Antibody - BSA Free [NBP1-89401]

Staining of human fallopian tube shows strong cytoplasmic granular positivity in glandular cells.

Applications for IFITM3/Fragilis Antibody - BSA Free

Application
Recommended Usage

Immunohistochemistry

1:50 - 1:200

Immunohistochemistry-Paraffin

1:50-1:200

Western Blot

0.04 - 0.4 ug/ml
Application Notes
For IHC-Paraffin, HIER pH 6 retrieval is recommended.

Formulation, Preparation, and Storage

Purification

Affinity purified

Formulation

PBS (pH 7.2) and 40% Glycerol

Format

BSA Free

Preservative

0.02% Sodium Azide

Concentration

Concentrations vary lot to lot. See vial label for concentration. If unlisted please contact technical services.

Shipping

The product is shipped with polar packs. Upon receipt, store it immediately at the temperature recommended below.

Stability & Storage

Store at 4C short term. Aliquot and store at -20C long term. Avoid freeze-thaw cycles.

Background: IFITM3/Fragilis

Mouse IFITM3/CD225 (also Fragilis) is a 137 amino acids (aa) 2-transmembrane protein that belongs to the Fragilis family of interferon-inducible genes. It contains two terminal extracellular domains (aas 1 - 57 and 131 - 137) and one cytoplasmic region that potentially allows for multiple phosphorylations. The N-terminal extracellular region of mouse IFITM3 is 54%, 91% and 58% aa identical to the equivalent region in bovine, rat and human IFITM3, respectively. IFITM3 is believed to be involved in primordial germ cell clustering and regionalization.

Long Name

Interferon-induced Transmembrane Protein 3

Alternate Names

Fragilis, IP15, mil-1

Gene Symbol

IFITM3

Additional IFITM3/Fragilis Products

Product Documents for IFITM3/Fragilis Antibody - BSA Free

Certificate of Analysis

To download a Certificate of Analysis, please enter a lot number in the search box below.

Product Specific Notices for IFITM3/Fragilis Antibody - BSA Free

This product is for research use only and is not approved for use in humans or in clinical diagnosis. Primary Antibodies are guaranteed for 1 year from date of receipt.

Loading...
Loading...
Loading...
Loading...