Skip to main content

IFITM3/Fragilis Antibody (JU73-02)

Novus Biologicals, part of Bio-Techne | Catalog # NBP2-75533

Recombinant Monoclonal Antibody
Novus Biologicals, part of Bio-Techne
Catalog #
Availability
Size / Price
Qty
Loading...
NBP2-75533

Key Product Details

Species Reactivity

Human

Applications

Immunohistochemistry, Immunohistochemistry-Paraffin, Western Blot, Flow Cytometry, Immunocytochemistry/ Immunofluorescence

Label

Unconjugated

Antibody Source

Recombinant Monoclonal Rabbit IgG Clone # JU73-02 expressed in HEK293

Concentration

1 mg/ml

Product Specifications

Immunogen

Synthetic peptide within Human IFITM3/Fragilis aa 1-50 / 133. (SwissProt: Q01628 Human)

Localization

Cell membrane, Late endosome membrane, Lysosome membrane, perinuclear region.

Clonality

Monoclonal

Host

Rabbit

Isotype

IgG

Theoretical MW

15 kDa.
Disclaimer note: The observed molecular weight of the protein may vary from the listed predicted molecular weight due to post translational modifications, post translation cleavages, relative charges, and other experimental factors.

Description

Novus Biologicals Rabbit IFITM3/Fragilis Antibody (JU73-02) (NBP2-75533) is a recombinant monoclonal antibody validated for use in IHC, WB, Flow and ICC/IF. All Novus Biologicals antibodies are covered by our 100% guarantee.

Scientific Data Images for IFITM3/Fragilis Antibody (JU73-02)

Western Blot: IFITM3/Fragilis Antibody (JU73-02) [NBP2-75533]

Western Blot: IFITM3/Fragilis Antibody (JU73-02) [NBP2-75533]

Western Blot: IFITM3/Fragilis Antibody (JU73-02) [NBP2-75533] - Western blot analysis of IFITM3/Fragilis on different lysates. Proteins were transferred to a PVDF membrane and blocked with 5% BSA in PBS for 1 hour at room temperature. The primary antibody (1/500) was used in 5% BSA at room temperature for 2 hours. Goat Anti-Rabbit IgG - HRP Secondary Antibody (HA1001) at 1:5,000 dilution was used for 1 hour at room temperature. Positive control: Lane 1: Hela cell lysate Lane 2: HepG2 cell lysate
Immunocytochemistry/ Immunofluorescence: IFITM3/Fragilis Antibody (JU73-02) [NBP2-75533]

Immunocytochemistry/ Immunofluorescence: IFITM3/Fragilis Antibody (JU73-02) [NBP2-75533]

Immunocytochemistry/Immunofluorescence: IFITM3/Fragilis Antibody (JU73-02) [NBP2-75533] - Staining Fragilis in MCF-7 cells (green). The nuclear counter stain is DAPI (blue). Cells were fixed in paraformaldehyde, permeabilised with 0.25% Triton X100/PBS.
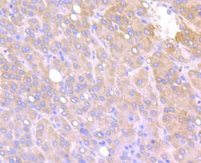
Immunohistochemistry-Paraffin: IFITM3/Fragilis Antibody (JU73-02) [NBP2-75533]

Immunohistochemistry-Paraffin: IFITM3/Fragilis Antibody (JU73-02) [NBP2-75533]

Immunohistochemistry-Paraffin: IFITM3/Fragilis Antibody (JU73-02) [NBP2-75533] - Analysis of paraffin-embedded human colon cancer tissue using anti-Fragilis antibody. Counter stained with hematoxylin.

Applications for IFITM3/Fragilis Antibody (JU73-02)

Application
Recommended Usage

Flow Cytometry

1:50-1:100

Immunocytochemistry/ Immunofluorescence

1:50-1:200

Immunohistochemistry-Paraffin

1:50-1:100

Western Blot

1:1000-1:5000

Formulation, Preparation, and Storage

Purification

Protein A purified

Formulation

TBS (pH7.4), 0.05% BSA, 40% Glycerol

Preservative

0.05% Sodium Azide

Concentration

1 mg/ml

Shipping

The product is shipped with polar packs. Upon receipt, store it immediately at the temperature recommended below.

Stability & Storage

Store at 4C short term. Aliquot and store at -20C long term. Avoid freeze-thaw cycles.

Background: IFITM3/Fragilis

Mouse IFITM3/CD225 (also Fragilis) is a 137 amino acids (aa) 2-transmembrane protein that belongs to the Fragilis family of interferon-inducible genes. It contains two terminal extracellular domains (aas 1 - 57 and 131 - 137) and one cytoplasmic region that potentially allows for multiple phosphorylations. The N-terminal extracellular region of mouse IFITM3 is 54%, 91% and 58% aa identical to the equivalent region in bovine, rat and human IFITM3, respectively. IFITM3 is believed to be involved in primordial germ cell clustering and regionalization.

Long Name

Interferon-induced Transmembrane Protein 3

Alternate Names

Fragilis, IP15, mil-1

Gene Symbol

IFITM3

Additional IFITM3/Fragilis Products

Product Documents for IFITM3/Fragilis Antibody (JU73-02)

Certificate of Analysis

To download a Certificate of Analysis, please enter a lot number in the search box below.

Product Specific Notices for IFITM3/Fragilis Antibody (JU73-02)

This product is for research use only and is not approved for use in humans or in clinical diagnosis. Primary Antibodies are guaranteed for 1 year from date of receipt.

Loading...
Loading...
Loading...
Loading...
Loading...