Skip to main content

ID1 Antibody (PCRP-ID1-2F11) - Azide and BSA Free

Novus Biologicals, part of Bio-Techne | Catalog # NBP3-14075

Novus Biologicals, part of Bio-Techne
Catalog #
Availability
Size / Price
Qty
Loading...
NBP3-14075
Conjugate
Catalog #

Key Product Details

Species Reactivity

Human

Applications

ELISA, Flow Cytometry, Immunocytochemistry/ Immunofluorescence, Immunoprecipitation, Protein Array

Label

Unconjugated

Antibody Source

Monoclonal Mouse IgG1 Clone # PCRP-ID1-2F11

Format

Azide and BSA Free

Concentration

1 mg/ml

Product Specifications

Immunogen

Recombinant fragment (aa 5-150) of human ID1 (Uniprot: P41134)

Localization

Nucleus, Cytoplasm

Clonality

Monoclonal

Host

Mouse

Isotype

IgG1

Theoretical MW

16.13 kDa.
Disclaimer note: The observed molecular weight of the protein may vary from the listed predicted molecular weight due to post translational modifications, post translation cleavages, relative charges, and other experimental factors.

Description

1.0 mg/ml of antibody purified from Bioreactor Concentrate by Protein A/G. Prepared in 10mM PBS WITHOUT BSA & azide. Also available at 200 ug/ml WITH BSA & azide (NBP3-13940).

Antibody with azide - store at 2 to 8C. Antibody without azide - store at -20 to -80 C.

Scientific Data Images for ID1 Antibody (PCRP-ID1-2F11) - Azide and BSA Free

Protein Array: ID1 Antibody (PCRP-ID1-2F11) - Azide and BSA Free [NBP3-14075]

Protein Array: ID1 Antibody (PCRP-ID1-2F11) - Azide and BSA Free [NBP3-14075]

Protein Array: ID1 Antibody (PCRP-ID1-2F11) - Azide and BSA Free [NBP3-14075] - Analysis of Protein Array containing more than 19,000 full-length human proteins using ID1 Antibody (PCRP-ID1-2F11).
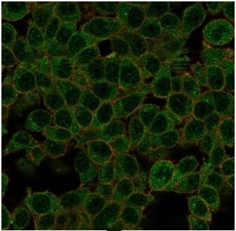
ID1 Antibody (PCRP-ID1-2F11) - Azide and BSA Free Immunocytochemistry/ Immunofluorescence: ID1 Antibody (PCRP-ID1-2F11) - Azide and BSA Free [NBP3-14075] -

Immunocytochemistry/ Immunofluorescence: ID1 Antibody (PCRP-ID1-2F11) - Azide and BSA Free [NBP3-14075] -

Immunofluorescence Analysis of PFA-fixed HeLa cells stained using ID1 Antibody (PCRP-ID1-2F11) - Azide and BSA Free. followed by goat anti-mouse IgG-CF488 (green). CF640A phalloidin (red).
ID1 Antibody (PCRP-ID1-2F11) - Azide and BSA Free Flow Cytometry: ID1 Antibody (PCRP-ID1-2F11) - Azide and BSA Free [NBP3-14075] -

Flow Cytometry: ID1 Antibody (PCRP-ID1-2F11) - Azide and BSA Free [NBP3-14075] -

Flow cytometric analysis of PFA-fixed HeLa cells. ID1 Antibody (PCRP-ID1-2F11) - Azide and BSA Free followed by goat anti-mouse IgG-CF488 (blue); isotype control (red).

Applications for ID1 Antibody (PCRP-ID1-2F11) - Azide and BSA Free

Application
Recommended Usage

Flow Cytometry

1-2 ug/million cells

Immunocytochemistry/ Immunofluorescence

1-2 ug/ml

Immunoprecipitation

1-2 ug per 100-500 ug protein
Application Notes
ELISA: For coating, order this antibody without BSA

Immunoprecipitation: 1-2ug per 100-500ug of total protein (1ml of cell lysate)

Formulation, Preparation, and Storage

Purification

Protein A or G purified

Formulation

10mM PBS

Format

Azide and BSA Free

Preservative

No Preservative

Concentration

1 mg/ml

Shipping

The product is shipped with polar packs. Upon receipt, store it immediately at the temperature recommended below.

Stability & Storage

Store at -20 to -80C. Avoid freeze-thaw cycles.

Background: ID1

Id1 is encoded by this gene is a helix-loop-helix (HLH) protein that can form heterodimers with members of the basic HLH family of transcription factors. The encoded protein has no DNA binding activity and therefore can inhibit the DNA binding and transcriptional activation ability of basic HLH proteins with which it interacts. This protein may play a role in cell growth, senescence, and differentiation. Two transcript variants encoding different isoforms have been found for this gene.

Long Name

Inhibitor of DNA Binding 1

Alternate Names

BHLHB24, bHLHb24DNA-binding protein inhibitor ID-1, Class B basic helix-loop-helix protein 24, dJ857M17.1.2, dJ857M17.1.2 (inhibitor of DNA binding 1, dominant negative helix-loop-helixprotein), ID, inhibitor of differentiation 1, Inhibitor of DNA binding 1, inhibitor of DNA binding 1, dominant negative helix-loop-helix protein

Gene Symbol

ID1

Additional ID1 Products

Product Documents for ID1 Antibody (PCRP-ID1-2F11) - Azide and BSA Free

Certificate of Analysis

To download a Certificate of Analysis, please enter a lot number in the search box below.

Product Specific Notices for ID1 Antibody (PCRP-ID1-2F11) - Azide and BSA Free

This product is for research use only and is not approved for use in humans or in clinical diagnosis. Primary Antibodies are guaranteed for 1 year from date of receipt.

Loading...
Loading...
Loading...
Loading...
Loading...