Skip to main content

HUS1 Antibody - BSA Free

Novus Biologicals, part of Bio-Techne | Catalog # NBP3-35401

Novus Biologicals, part of Bio-Techne
Catalog #
Availability
Size / Price
Qty
Loading...
NBP3-35401-100ul
NBP3-35401-20ul

Key Product Details

Species Reactivity

Human, Mouse, Rat

Applications

Immunohistochemistry, Immunohistochemistry-Paraffin, Western Blot, ELISA

Label

Unconjugated

Antibody Source

Polyclonal Rabbit IgG

Format

BSA Free

Concentration

Please see the vial label for concentration. If unlisted please contact technical services.

Product Specifications

Immunogen

Recombinant fusion protein containing a sequence corresponding to amino acids 1-280 of human HUS1 (NP_004498.1).

Sequence:
MKFRAKIVDGACLNHFTRISNMIAKLAKTCTLRISPDKLNFILCDKLANGGVSMWCELEQENFFNEFQMEGVSAENNEIYLELTSENLSRALKTAQNARALKIKLTNKHFPCLTVSVELLSMSSSSRIVTHDIPIKVIPRKLWKDLQEPVVPDPDVSIYLPVLKTMKSVVEKMKNISNHLVIEANLDGELNLKIETELVCVTTHFKDLGNPPLASESTHEDRNVEHMAEVHIDIRKLLQFLAGQQVNPTKALCNIVNNKMVHFDLLHEDVSLQYFIPALS

Clonality

Polyclonal

Host

Rabbit

Isotype

IgG

Theoretical MW

32 kDa.
Disclaimer note: The observed molecular weight of the protein may vary from the listed predicted molecular weight due to post translational modifications, post translation cleavages, relative charges, and other experimental factors.

Scientific Data Images for HUS1 Antibody - BSA Free

HUS1 Antibody

Immunohistochemistry: HUS1 Antibody [NBP3-35401] -

Immunohistochemistry: HUS1 Antibody [NBP3-35401] - Immunohistochemistry analysis of paraffin-embedded Rat heart using HUS1 Rabbit pAb at dilution of 1:100 (40x lens). Microwave antigen retrieval performed with 0.01M PBS Buffer (pH 7.2) prior to IHC staining.
HUS1 Antibody

Immunohistochemistry: HUS1 Antibody [NBP3-35401] -

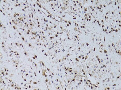
Immunohistochemistry: HUS1 Antibody [NBP3-35401] - Immunohistochemistry analysis of paraffin-embedded Human gastric cancer using HUS1 Rabbit pAb at dilution of 1:100 (40x lens). Microwave antigen retrieval performed with 0.01M PBS Buffer (pH 7.2) prior to IHC staining.
HUS1 Antibody

Immunohistochemistry: HUS1 Antibody [NBP3-35401] -

Immunohistochemistry: HUS1 Antibody [NBP3-35401] - Immunohistochemistry analysis of paraffin-embedded Rat liver using HUS1 Rabbit pAb at dilution of 1:100 (40x lens). Microwave antigen retrieval performed with 0.01M PBS Buffer (pH 7.2) prior to IHC staining.

Applications for HUS1 Antibody - BSA Free

Application
Recommended Usage

Immunohistochemistry-Paraffin

1:50 - 1:100

Western Blot

1:500 - 1:2000

Formulation, Preparation, and Storage

Purification

Affinity purified

Formulation

PBS (pH 7.3), 50% glycerol

Format

BSA Free

Preservative

0.02% Sodium Azide

Concentration

Please see the vial label for concentration. If unlisted please contact technical services.

Shipping

The product is shipped with polar packs. Upon receipt, store it immediately at the temperature recommended below.

Stability & Storage

Store at -20C. Avoid freeze-thaw cycles.

Background: HUS1

The protein encoded by the HUS1 gene is a component of an evolutionarily conserved, genotoxin-activated checkpoint complex that is involved in the cell cycle arrest in response to DNA damage. This protein forms a heterotrimeric complex with checkpoint proteins RAD9 and RAD1. In response to DNA damage, the trimeric complex interacts with another protein complex consisting of checkpoint protein RAD17 and four small subunits of the replication factor C (RFC), which loads the combined complex onto the chromatin. The DNA damage induced chromatin binding has been shown to depend on the activation of the checkpoint kinase ATM, and is thought to be an early checkpoint signaling event.

Alternate Names

checkpoint protein HUS1, hHUS1, HUS1 (S. pombe) checkpoint homolog, HUS1 checkpoint homolog (S. pombe), hus1+-like protein

Gene Symbol

HUS1

Additional HUS1 Products

Product Documents for HUS1 Antibody - BSA Free

Certificate of Analysis

To download a Certificate of Analysis, please enter a lot number in the search box below.

Product Specific Notices for HUS1 Antibody - BSA Free

This product is for research use only and is not approved for use in humans or in clinical diagnosis. Primary Antibodies are guaranteed for 1 year from date of receipt.

Loading...
Loading...
Loading...
Loading...