Skip to main content

Human VEGF165 Antibody

R&D Systems, part of Bio-Techne | Catalog # AB-293-NA

R&D Systems, part of Bio-Techne
Catalog #
Availability
Size / Price
Qty
Loading...
AB-293-NA

Key Product Details

Species Reactivity

Validated:

Human

Cited:

Human, Mouse, Rat, Primate - Macaca mulatta (Rhesus Macaque), Rabbit, Xenograft

Applications

Validated:

Immunohistochemistry, Western Blot, Neutralization

Cited:

Immunohistochemistry, Immunohistochemistry-Paraffin, Western Blot, Neutralization, Bioassay, Complex Application, ELISA Development

Label

Unconjugated

Antibody Source

Polyclonal Goat IgG

Product Specifications

Immunogen

S. frugiperda insect ovarian cell line Sf 21-derived recombinant human VEGF165
Ala27-Arg191
Accession # AAV38412

Specificity

Detects human VEGF165 and human VEGF121 in direct ELISAs and Western blots. In direct ELISAs, less than 10% cross-reactivity with recombinant mouse VEGF and recombinant rat VEGF is observed.

Clonality

Polyclonal

Host

Goat

Isotype

IgG

Endotoxin Level

<0.10 EU per 1 μg of the antibody by the LAL method.

Scientific Data Images for Human VEGF165 Antibody

VEGF165in Human Breast Cancer Tissue.

VEGF165in Human Breast Cancer Tissue.

VEGF165was detected in immersion fixed frozen sections of human breast cancer tissue using 5 µg/mL Human VEGF165Polyclonal Antibody (Catalog # AB-293-NA) overnight at 4 °C. Tissue was stained (red) and counterstained with hematoxylin (blue). View our protocol for Chromogenic IHC Staining of Frozen Tissue Sections.
Cell Proliferation Induced by VEGF165and Neutralization by Human VEGF Antibody.

Cell Proliferation Induced by VEGF165and Neutralization by Human VEGF Antibody.

Recombinant Human VEGF165(Catalog # 293-VE) stimulates proliferation in HUVEC human umbilical vein endothelial cells in a dose-dependent manner (orange line). Proliferation elicited by Recombinant Human VEGF165(10 ng/mL) is neutralized (green line) by increasing concentrations of Human VEGF 165 Polyclonal Antibody (Catalog # AB-293-NA). The ND50 is typically 0.600-7.20 µg/mL.
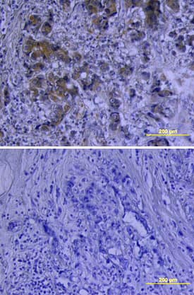
VEGF antibody in Human Breast Cancer Tissue by Immunohistochemistry (IHC-P).

VEGF in Human Breast Cancer Tissue.

VEGF was detected in immersion fixed paraffin-embedded sections of human breast cancer tissue using Human VEGF 165 Polyclonal Antibody (Catalog # AB-293-NA) at 15 µg/mL overnight at 4 °C. Tissue was stained using the Anti-Goat HRP-DAB Cell & Tissue Staining Kit (brown; Catalog # CTS008) and counterstained with hematoxylin (blue). Lower panel shows a lack of labeling if primary antibodies are omitted and tissue is stained only with secondary antibody followed by incubation with detection reagents. View our protocol for Chromogenic IHC Staining of Paraffin-embedded Tissue Sections.

Applications for Human VEGF165 Antibody

Application
Recommended Usage

Immunohistochemistry

5-15 µg/mL
Sample: Immersion fixed frozen or paraffin-embedded sections of human breast cancer tissue

Western Blot

1 µg/mL
Sample: Recombinant Human VEGF165 (Catalog # 293-VE)

Neutralization

Measured by its ability to neutralize VEGF165-induced proliferation in HUVEC human umbilical vein endothelial cells. Conn, G. et al. (1990) Proc. Natl. Acad. Sci USA 87:1323. The Neutralization Dose (ND50) is typically 0.600-7.20 µg/mL in the presence of 10 ng/mL Recombinant Human VEGF165.

Formulation, Preparation, and Storage

Purification

Protein A or G purified

Reconstitution

Reconstitute at 1 mg/mL in sterile PBS.

Reconstitution Buffer Available:
Size / Price
Qty
Loading...

Formulation

Lyophilized from a 0.2 μm filtered solution in PBS with Trehalose.

Shipping

The product is shipped at ambient temperature. Upon receipt, store it immediately at the temperature recommended below.

Stability & Storage

Use a manual defrost freezer and avoid repeated freeze-thaw cycles.
  • 12 months from date of receipt, -20 to -70 °C as supplied.
  • 1 month, 2 to 8 °C under sterile conditions after reconstitution.
  • 6 months, -20 to -70 °C under sterile conditions after reconstitution.

Background: VEGF

Vascular Endothelial Growth Factor (VEGF or VEGF-A), also known as Vascular Permeability Factor (VPF), is a potent mediator of both angiogenesis and vasculogenesis in the fetus and adult. It is a member of the PDGF family that is characterized by the presence of eight conserved cysteine residues and a cystine knot structure. VEGF165 appears to be the most abundant and potent isoform, followed by VEGF121 and VEGF189. Human VEGF165 is an approximately 44 kDa molecular weight homodimer sharing 88% aa sequence identity with corresponding regions of mouse and rat, 96% with porcine, 95% with canine, and 93% with feline, equine and bovine VEGF, respectively. VEGF binds the type I transmembrane receptor tyrosine kinases VEGF R1 (also called Flt-1) and VEGF R2 (Flk-1/KDR) on endothelial cells. Although VEGF affinity is highest for binding to VEGF R1, VEGF R2 appears to be the primary mediator of VEGF angiogenic activity. VEGF165 binds the Semaphorin receptor, Neuropilin-1 and promotes complex formation with VEGF R2. VEGF is required during embryogenesis and functions to regulate the proliferation, migration, and survival of endothelial cells. In adults, VEGF functions mainly in wound healing and the female reproductive cycle. Pathologically, it is involved in tumor angiogenesis and vascular leakage. Circulating VEGF levels correlate with disease activity in autoimmune diseases such as rheumatoid arthritis, multiple sclerosis and systemic lupus erythematosus. VEGF is induced by hypoxia and cytokines such as IL-1, IL-6, IL-8, Oncostatin M (OSM) and TNF-alpha.

Long Name

Vascular Endothelial Growth Factor

Alternate Names

MVCD1, VAS, Vasculotropin, VEGF-A, VEGFA, VPF

Entrez Gene IDs

7422 (Human); 22339 (Mouse); 83785 (Rat); 281572 (Bovine); 403802 (Canine); 493845 (Feline); 30682 (Zebrafish)

Gene Symbol

VEGFA

UniProt

Additional VEGF Products

Product Documents for Human VEGF165 Antibody

Certificate of Analysis

To download a Certificate of Analysis, please enter a lot number in the search box below.

Note: Certificate of Analysis not available for kit components.

Product Specific Notices for Human VEGF165 Antibody

For research use only

Loading...
Loading...
Loading...
Loading...