Skip to main content

Key Product Details

Species Reactivity

Validated:

Human

Cited:

Human, Mouse, Transgenic Mouse

Applications

Validated:

Immunohistochemistry, Immunocytochemistry

Cited:

Immunohistochemistry, Flow Cytometry, Immunocytochemistry

Label

Unconjugated

Antibody Source

Monoclonal Mouse IgG2A Clone # 200805

Product Specifications

Immunogen

Human cardiac Troponin T

Specificity

Detects purified human Troponin T (Cardiac) in direct ELISAs.

Clonality

Monoclonal

Host

Mouse

Isotype

IgG2A

Scientific Data Images for Human Troponin T (Cardiac) Antibody

Troponin T antibody in BG01V Human Embryonic Stem Cells by Immunocytochemistry (ICC).

Troponin T in BG01V Human Embryonic Stem Cells.

Troponin T was detected in immersion fixed BG01V human embryonic stem cells differentiated into cardiomyocytes using Mouse Anti-Human Troponin T (Cardiac) Monoclonal Antibody (Catalog # MAB1874) at 10 µg/mL for 3 hours at room temperature. Cells were stained using the NorthernLights™ 557-conjugated Anti-Mouse IgG Secondary Antibody (red; Catalog # NL007) and counterstained with DAPI (blue). Specific staining was localized to cytoplasm. View our protocol for Fluorescent ICC Staining of Stem Cells on Coverslips.
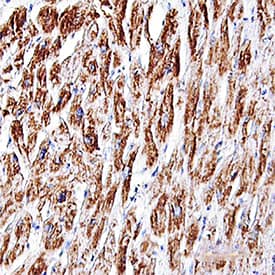
Troponin T antibody in Human Heart by Immunohistochemistry (IHC-P).

Troponin T in Human Heart.

Troponin T was detected in immersion fixed paraffin-embedded sections of human heart using Mouse Anti-Human Troponin T (Cardiac) Monoclonal Antibody (Catalog # MAB1874) at 15 µg/mL overnight at 4 °C. Tissue was stained using the Anti-Mouse HRP-DAB Cell & Tissue Staining Kit (brown; Catalog # CTS002) and counterstained with hematoxylin (blue). Specific staining was localized to cardiomyocytes. View our protocol for Chromogenic IHC Staining of Paraffin-embedded Tissue Sections.

Applications for Human Troponin T (Cardiac) Antibody

Application
Recommended Usage

Immunocytochemistry

8-25 µg/mL
Sample: Immersion fixed BG01V human embryonic stem cells differentiated into cardiomyocytes

Immunohistochemistry

8-25 µg/mL
Sample: Immersion fixed paraffin-embedded sections of human heart tissue

Reviewed Applications

Read 3 reviews rated 5 using MAB1874 in the following applications:

Formulation, Preparation, and Storage

Purification

Protein A or G purified from hybridoma culture supernatant

Reconstitution

Reconstitute at 0.5 mg/mL in sterile PBS. For liquid material, refer to CoA for concentration.

Reconstitution Buffer Available:
Size / Price
Qty
Loading...

Formulation

Lyophilized from a 0.2 μm filtered solution in PBS with Trehalose. *Small pack size (SP) is supplied either lyophilized or as a 0.2 µm filtered solution in PBS.

Shipping

Lyophilized product is shipped at ambient temperature. Liquid small pack size (-SP) is shipped with polar packs. Upon receipt, store immediately at the temperature recommended below.

Stability & Storage

Use a manual defrost freezer and avoid repeated freeze-thaw cycles.
  • 12 months from date of receipt, -20 to -70 °C as supplied.
  • 1 month, 2 to 8 °C under sterile conditions after reconstitution.
  • 6 months, -20 to -70 °C under sterile conditions after reconstitution.

Background: Troponin T

Troponin T is one of three troponin isoforms found in the tropomyosin-troponin complex. This complex is responsible for the calcium sensitivity of the contractile apparatus in the muscle. Cardiac Troponin T is used as a biological marker for cardiomyocytes and its level in serum is frequently used as an indicator of myocardial cell injury.

Alternate Names

CMH2, CMPD2, cTnT, TNNT2, TnTC

Entrez Gene IDs

7139 (Human)

Gene Symbol

TNNT2

Additional Troponin T Products

Product Documents for Human Troponin T (Cardiac) Antibody

Certificate of Analysis

To download a Certificate of Analysis, please enter a lot number in the search box below.

Note: Certificate of Analysis not available for kit components.

Product Specific Notices for Human Troponin T (Cardiac) Antibody

For research use only

Loading...
Loading...
Loading...
Loading...