Skip to main content

Key Product Details

Species Reactivity

Human

Applications

Immunohistochemistry, Western Blot

Label

Unconjugated

Antibody Source

Polyclonal Goat IgG

Product Specifications

Immunogen

E.coli-derived recombinant human TRIM38
Leu190-Ile414
Accession # O00635

Specificity

Detects human TRIM38 in direct ELISAs and Western blots.

Clonality

Polyclonal

Host

Goat

Isotype

IgG

Scientific Data Images for Human TRIM38 Antibody

Detection of Human TRIM38 antibody by Western Blot.

Detection of Human TRIM38 by Western Blot.

Western blot shows lysates of RT-4 human bladder carcinoma cell line, HeLa human cervical epithelial carcinoma cell line, A431 human epithelial carcinoma cell line, Jurkat human acute T cell leukemia cell line, and MCF-7 human breast cancer cell line. PVDF membrane was probed with 2 µg/mL of Goat Anti-Human TRIM38 Antigen Affinity-purified Polyclonal Antibody (Catalog # AF9104) followed by HRP-conjugated Anti-Goat IgG Secondary Antibody (Catalog # HAF017). A specific band was detected for TRIM38 at approximately 50 kDa (as indicated). This experiment was conducted under reducing conditions and using Immunoblot Buffer Group 1.
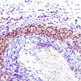
TRIM38 antibody in Human Lymph Node by Immunohistochemistry (IHC-P).

TRIM38 in Human Lymph Node.

TRIM38 was detected in immersion fixed paraffin-embedded sections of human lymph node using Goat Anti-Human TRIM38 Antigen Affinity-purified Polyclonal Antibody (Catalog # AF9104) at 10 µg/mL for 1 hour at room temperature followed by incubation with the Anti-Goat IgG VisUCyte™ HRP Polymer Antibody (Catalog # VC004). Tissue was stained using DAB (brown) and counterstained with hematoxylin (blue). Specific staining was localized to cytoplasm. View our protocol for IHC Staining with VisUCyte HRP Polymer Detection Reagents.

Applications for Human TRIM38 Antibody

Application
Recommended Usage

Immunohistochemistry

5-15 µg/mL
Sample: Immersion fixed paraffin-embedded sections of human lymph node

Western Blot

2 µg/mL
Sample: RT-4 human bladder carcinoma cell line, HeLa human cervical epithelial carcinoma cell line, A431 human epithelial carcinoma cell line, Jurkat human acute T cell leukemia cell line, and MCF‑7 human breast cancer cell line

Formulation, Preparation, and Storage

Purification

Antigen Affinity-purified

Reconstitution

Reconstitute at 0.2 mg/mL in sterile PBS. For liquid material, refer to CoA for concentration.

Reconstitution Buffer Available:
Size / Price
Qty
Loading...

Formulation

Lyophilized from a 0.2 μm filtered solution in PBS with Trehalose. *Small pack size (SP) is supplied either lyophilized or as a 0.2 µm filtered solution in PBS.

Shipping

Lyophilized product is shipped at ambient temperature. Liquid small pack size (-SP) is shipped with polar packs. Upon receipt, store immediately at the temperature recommended below.

Stability & Storage

Use a manual defrost freezer and avoid repeated freeze-thaw cycles.
  • 12 months from date of receipt, -20 to -70 °C as supplied.
  • 1 month, 2 to 8 °C under sterile conditions after reconstitution.
  • 6 months, -20 to -70 °C under sterile conditions after reconstitution.

Background: TRIM38

Human Tripartite Motif 38 (TRIM38, RNF15) is a 465 aminoacids E3 ubiquitin ligase that plays a key role in tuning TLR-mediated immune responses by selectively targeting molecules in the TLR signaling for proteasomal degradation. The TRIM family of E3 ligases has more than 70 members in humans. Many members of this protein family are important immune regulators, mediating innate immune cell signal transduction and subsequent cytokine induction immune regulation. Trim38 deficiency, for example, greatly increases TLR3- and TLR4-mediated induction of type I Interferons and proinflammatory cytokines, such as TNF-alpha, IL-1 beta, and IL-6, in immune cells and in vivo.

Long Name

Tripartite Motif-containing 38

Alternate Names

RNF15, RoRet

Entrez Gene IDs

10475 (Human); 214158 (Mouse); 680019 (Rat)

Gene Symbol

TRIM38

UniProt

Additional TRIM38 Products

Product Documents for Human TRIM38 Antibody

Certificate of Analysis

To download a Certificate of Analysis, please enter a lot number in the search box below.

Note: Certificate of Analysis not available for kit components.

Product Specific Notices for Human TRIM38 Antibody

For research use only

Loading...
Loading...
Loading...
Loading...