Human TAP2 Antibody
R&D Systems, part of Bio-Techne | Catalog # MAB2432
Conjugate
Catalog #
Key Product Details
Species Reactivity
Human
Applications
Immunohistochemistry, Western Blot, Immunocytochemistry
Label
Unconjugated
Antibody Source
Monoclonal Mouse IgG1 Clone # 998524
Product Specifications
Immunogen
Synthetic peptide containing human TAP2
Accession # Q03519
Accession # Q03519
Specificity
Detects human TAP2 in direct ELISAs.
Clonality
Monoclonal
Host
Mouse
Isotype
IgG1
Scientific Data Images for Human TAP2 Antibody
Detection of Human TAP2 by Western Blot.
Western blot shows lysates of human tonsil tissue and HeLa human cervical epithelial carcinoma cell line. PVDF membrane was probed with 2 µg/mL of Mouse Anti-Human TAP2 Monoclonal Antibody (Catalog # MAB2432) followed by HRP-conjugated Anti-Mouse IgG Secondary Antibody (Catalog # HAF018). A specific band was detected for TAP2 at approximately 75 kDa (as indicated). This experiment was conducted under reducing conditions and using Immunoblot Buffer Group 1.TAP2 in U-251 MG and HL-60 Human Cell Line.
TAP2 was detected in immersion fixed U-251 MG human glioblastoma cell line (left panel) and HL-60 human acute promyelocytic leukemia cell line (right panel, negative control) using Mouse Anti-Human TAP2 Monoclonal Antibody (Catalog # MAB2432) at 8 µg/mL for 3 hours at room temperature. Cells were stained using the NorthernLights™ 557-conjugated Anti-Mouse IgG Secondary Antibody (red; Catalog # NL007) and counterstained with DAPI (blue). Specific staining was localized to cytoplasm. View our protocol for Fluorescent ICC Staining of Cells on Coverslips.TAP2 in Human Tonsil.
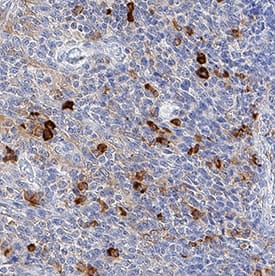
TAP2 was detected in immersion fixed paraffin-embedded sections of human tonsil using Mouse Anti-Human TAP2 Monoclonal Antibody (Catalog # MAB2432) at 8 µg/mL for 1 hour at room temperature followed by incubation with the Anti-Mouse IgG VisUCyte™ HRP Polymer Antibody (Catalog # VC001). Before incubation with the primary antibody, tissue was subjected to heat-induced epitope retrieval using Antigen Retrieval Reagent-Basic (Catalog # CTS013). Tissue was stained using DAB (brown) and counterstained with hematoxylin (blue). Specific staining was localized to cytoplasm in lymphocytes. View our protocol for IHC Staining with VisUCyte HRP Polymer Detection Reagents.Applications for Human TAP2 Antibody
Application
Recommended Usage
Immunocytochemistry
8-25 µg/mL
Sample:
Sample:
Immersion fixed U-251 MG human glioblastoma cell line
Immunohistochemistry
8-25 µg/mL
Sample: Immersion fixed paraffin-embedded sections of human tonsil
Sample: Immersion fixed paraffin-embedded sections of human tonsil
Western Blot
2 µg/mL
Sample: Human tonsil tissue and HeLa human cervical epithelial carcinoma cell line
Sample: Human tonsil tissue and HeLa human cervical epithelial carcinoma cell line
Reviewed Applications
Read 2 reviews rated 5 using MAB2432 in the following applications:
Formulation, Preparation, and Storage
Purification
Protein A or G purified from ascites
Reconstitution
Reconstitute at 0.5 mg/mL in sterile PBS. For liquid material, refer to CoA for concentration.
Formulation
Lyophilized from a 0.2 μm filtered solution in PBS with Trehalose. *Small pack size (SP) is supplied either lyophilized or as a 0.2 µm filtered solution in PBS.
Shipping
Lyophilized product is shipped at ambient temperature. Liquid small pack size (-SP) is shipped with polar packs. Upon receipt, store immediately at the temperature recommended below.
Stability & Storage
Use a manual defrost freezer and avoid repeated freeze-thaw cycles.
- 12 months from date of receipt, -20 to -70 °C as supplied.
- 1 month, 2 to 8 °C under sterile conditions after reconstitution.
- 6 months, -20 to -70 °C under sterile conditions after reconstitution.
Background: TAP2
References
-
Nijenjuis M., Hämmerling Journal of immunology; 1996
Dec 15;157(12):5467-5477
- de la Salle H, Hanau D, Fricker D, Urlacher A, Kelly A, Salamero J, Powis SH, Donato L, Bausinger H, Laforet M, (1994), Science, Jul 8; 265(5169):237-241.
Long Name
Transporter 2, ATP Binding Cassette Subfamily B Member
Alternate Names
ABC18, ABCB3, APT2, PSF2, RING11
Gene Symbol
TAP2
UniProt
Additional TAP2 Products
Product Documents for Human TAP2 Antibody
Product Specific Notices for Human TAP2 Antibody
For research use only
Loading...
Loading...
Loading...
Loading...