Human SVEP1 Antibody
R&D Systems, part of Bio-Techne | Catalog # MAB9774

Conjugate
Catalog #
Key Product Details
Species Reactivity
Human
Applications
Immunocytochemistry, Immunohistochemistry
Label
Unconjugated
Antibody Source
Monoclonal Mouse IgG2B Clone # 982903
Product Specifications
Immunogen
Synthetic peptide containing human SVEP1 peptide
Specificity
Detects human SVEP1 in direct ELISAs.
Clonality
Monoclonal
Host
Mouse
Isotype
IgG2B
Scientific Data Images for Human SVEP1 Antibody
SVEP1 in MG‑63 Human Cell Line.
SVEP1 was detected in immersion fixed MG-63 human osteosarcoma cell line using Mouse Anti-Human SVEP1 Monoclonal Antibody (Catalog # MAB9774) at 8 µg/mL for 3 hours at room temperature. Cells were stained using the NorthernLights™ 557-conjugated Anti-Mouse IgG Secondary Antibody (red; Catalog # NL007) and counterstained with DAPI (blue). Specific staining was localized to cytoplasm. View our protocol for Fluorescent ICC Staining of Cells on Coverslips.SVEP1 in Human Placenta.
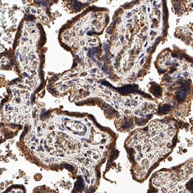
SVEP1 was detected in immersion fixed paraffin-embedded sections of human placenta using Mouse Anti-Human SVEP1 Monoclonal Antibody (Catalog # MAB9774) at 5 µg/mL for 1 hour at room temperature followed by incubation with the Anti-Mouse IgG VisUCyte™ HRP Polymer Antibody (Catalog # VC001). Tissue was stained using DAB (brown) and counterstained with hematoxylin (blue). Specific staining was localized to cytoplasm in syncytiotrophoblasts. View our protocol for IHC Staining with VisUCyte HRP Polymer Detection Reagents.Applications for Human SVEP1 Antibody
Application
Recommended Usage
Immunocytochemistry
8-25 µg/mL
Sample: Immersion fixed MG‑63 human osteosarcoma cell line
Sample: Immersion fixed MG‑63 human osteosarcoma cell line
Immunohistochemistry
5-25 µg/mL
Sample: Immersion fixed paraffin-embedded sections of human placenta
Sample: Immersion fixed paraffin-embedded sections of human placenta
Formulation, Preparation, and Storage
Purification
Protein A or G purified from hybridoma culture supernatant
Reconstitution
Reconstitute at 0.5 mg/mL in sterile PBS. For liquid material, refer to CoA for concentration.
Formulation
Lyophilized from a 0.2 μm filtered solution in PBS with Trehalose. *Small pack size (SP) is supplied either lyophilized or as a 0.2 µm filtered solution in PBS.
Shipping
Lyophilized product is shipped at ambient temperature. Liquid small pack size (-SP) is shipped with polar packs. Upon receipt, store immediately at the temperature recommended below.
Stability & Storage
Use a manual defrost freezer and avoid repeated freeze-thaw cycles.
- 12 months from date of receipt, -20 to -70 °C as supplied.
- 1 month, 2 to 8 °C under sterile conditions after reconstitution.
- 6 months, -20 to -70 °C under sterile conditions after reconstitution.
Background: SVEP1
Sushi, von Willebrand factor type A, EGF and pentraxin domain-containing protein 1 (also known as Polydom), is a 3571 aminoacids (aa), 390KDa extracellular matrix protein encoded by the SVEP1 gene. SVEP1 has been identified as a multidomain cell adhesion protein that is a ligand for integrin alpha9 beta1. SVEP1 has been proposed to play a crucial role in epidermis differentiation and lymphatic remodeling.
Long Name
Sushi, Von Willebrand Factor Type A, EGF And Pentraxin Domain Containing 1
Alternate Names
C9orf13, CCP22, POLYDOM, SEL-OB, SELOB
Gene Symbol
SVEP1
Additional SVEP1 Products
Product Documents for Human SVEP1 Antibody
Product Specific Notices for Human SVEP1 Antibody
For research use only
Loading...
Loading...
Loading...
Loading...