Human NETO1 Antibody
R&D Systems, part of Bio-Techne | Catalog # AF4337
Key Product Details
Species Reactivity
Applications
Label
Antibody Source
Product Specifications
Immunogen
Thr23-Val345
Accession # Q8TDF5
Specificity
Clonality
Host
Isotype
Scientific Data Images for Human NETO1 Antibody
NETO1 in MOLT‑4 Human Cell Line.
NETO1 was detected in immersion fixed MOLT-4 human acute lymphoblastic leukemia cell line using Sheep Anti-Human NETO1 Antigen Affinity-purified Polyclonal Antibody (Catalog # AF4337) at 5 µg/mL for 3 hours at room temperature. Cells were stained using the NorthernLights™ 557-conjugated Anti-Sheep IgG Secondary Antibody (red; Catalog # NL010) and counterstained with DAPI (blue). Specific staining was localized to cytoplasm. View our protocol for Fluorescent ICC Staining of Non-adherent Cells.NETO1 in Human Prostate.
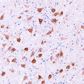
NETO1 was detected in immersion fixed paraffin-embedded sections of human prostate using Sheep Anti-Human NETO1 Antigen Affinity-purified Polyclonal Antibody (Catalog # AF4337) at 15 µg/mL overnight at 4 °C. Tissue was stained using the Anti-Sheep HRP-DAB Cell & Tissue Staining Kit (brown; Catalog # CTS019) and counterstained with hematoxylin (blue). Specific staining was localized to neuronal cell bodies. View our protocol for Chromogenic IHC Staining of Paraffin-embedded Tissue Sections.Applications for Human NETO1 Antibody
Immunocytochemistry
Sample: Immersion fixed MOLT‑4 human acute lymphoblastic leukemia cell line
Immunohistochemistry
Sample: Immersion fixed paraffin-embedded sections of human prostate
Western Blot
Sample: Recombinant Human NETO1
Formulation, Preparation, and Storage
Purification
Reconstitution
Formulation
Shipping
Stability & Storage
- 12 months from date of receipt, -20 to -70 °C as supplied.
- 1 month, 2 to 8 °C under sterile conditions after reconstitution.
- 6 months, -20 to -70 °C under sterile conditions after reconstitution.
Background: NETO1
Neuropilin and tolloid-like protein 1 (NETO1), also known as Brain-specific transmembrane protein containing 2 CUB and 1 LDL-receptor class A domains protein 1 (BTCL1), is a type I transmembrane protein that is expressed in the brain and retina. The 511 amino acid residue mature human NETO1 contains an extracellular domain with two CUB domains (aa 41‑155 and 172‑287), and one class A LDL-receptor segment (aa 292‑326). Three human NETO1 splice isoforms exist, including a secreted soluble variant that shows an Asp-to-Glu transition at residue 157 followed by a premature truncation. Over aa 23‑345, human NETO1 shares 97% and 98% aa identity with mouse and canine NETO1, respectively.
Long Name
Alternate Names
Gene Symbol
UniProt
Additional NETO1 Products
Product Documents for Human NETO1 Antibody
Product Specific Notices for Human NETO1 Antibody
For research use only