Skip to main content

Key Product Details

Species Reactivity

Human

Applications

Immunohistochemistry, Western Blot, Immunocytochemistry

Label

Unconjugated

Antibody Source

Monoclonal Mouse IgG2A Clone # 1113601

Product Specifications

Immunogen

E. coli-derived recombinant human MTAP
Accession # Q13126

Specificity

Detects recombinant human MTAP protein in Direct ELISA

Clonality

Monoclonal

Host

Mouse

Isotype

IgG2A

Scientific Data Images for Human MTAP Antibody

Detection of Human MTAP by Western Blot.

Western Blot shows lysates of HT-29 human colon adenocarcinoma cell line, HCT-116 human colorectal carcinoma cell line and Raji human Burkitt's lymphoma cell line. PVDF membrane was probed with 1 µg/ml of Mouse Anti-Human MTAP Monoclonal Antibody (Catalog # MAB11747) followed by HRP-conjugated Anti-Mouse IgG Secondary Antibody (Catalog # HAF018). A specific band was detected for MTAP at approximately 29 kDa (as indicated). This experiment was conducted under reducing conditions and using Western Blot Buffer Group 1.

Detection of MTAP in Human Colon.

MTAP was detected in immersion fixed paraffin-embedded sections of human colon using Mouse Anti-Human MTAP Monoclonal Antibody (Catalog # MAB11747) at 5 µg/ml overnight at 4 °C. Before incubation with the primary antibody, tissue was subjected to heat-induced epitope retrieval using VisUCyte Antigen Retrieval Reagent-Basic (Catalog # VCTS021). Tissue was stained using the HRP-conjugated Anti-Mouse IgG Secondary Antibody (Catalog # HAF007) and counterstained with hematoxylin (blue). Specific staining was localized to the cytoplasm and nucleus. View our protocol for Chromogenic IHC Staining of Paraffin-embedded Tissue Sections.

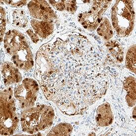
Detection of MTAP in Human Kidney.

MTAP was detected in immersion fixed paraffin-embedded sections of human kidney using Mouse Anti-Human MTAP Monoclonal Antibody (Catalog # MAB11747) at 5 µg/ml overnight at 4 °C. Before incubation with the primary antibody, tissue was subjected to heat-induced epitope retrieval using VisUCyte Antigen Retrieval Reagent-Basic (Catalog # VCTS021). Tissue was stained using the HRP-conjugated Anti-Mouse IgG Secondary Antibody (Catalog # HAF007) and counterstained with hematoxylin (blue). Specific staining was localized to the cytoplasm and nucleus. View our protocol for Chromogenic IHC Staining of Paraffin-embedded Tissue Sections.

Applications for Human MTAP Antibody

Application
Recommended Usage

Immunocytochemistry

3-25 µg/mL
Sample: Immersion fixed HT-29 human colon adenocarcinoma cell line and MCF-7 human breast cancer cell line

Immunohistochemistry

3-25 µg/mL
Sample: Immersion fixed paraffin-embedded sections of human colon and human kidney

Western Blot

1 µg/mL
Sample: HT-29 human colon adenocarcinoma cell line, HCT-116 human colorectal carcinoma cell line and Raji human Burkitt's lymphoma cell line

Formulation, Preparation, and Storage

Purification

Protein A or G purified from hybridoma culture supernatant

Reconstitution

Reconstitute lyophilized material at 0.2 mg/ml in sterile PBS. For liquid material, refer to CoA for concentration.

Reconstitution Buffer Available:
Size / Price
Qty
Loading...

Formulation

Lyophilized from a 0.2 μm filtered solution in PBS with Trehalose.

Shipping

Lyophilized product is shipped at ambient temperature. Liquid small pack size (-SP) is shipped with polar packs. Upon receipt, store immediately at the temperature recommended below.

Stability & Storage

Use a manual defrost freezer and avoid repeated freeze-thaw cycles.
  • 12 months from date of receipt, -20 to -70 °C as supplied.
  • 1 month, 2 to 8 °C under sterile conditions after reconstitution.
  • 6 months, -20 to -70 °C under sterile conditions after reconstitution.

Background: MTAP

Methyl-thioadenosine phosphorylase/MTAP is part of the PNP/MTAP phosphorylase family and catalyzes the reversible phosphorylation of S-methyl-5'-thioadenosine (MTA), a major byproduct of polyamine synthesis essential for cell growth and proliferation. MTAP also produces most of the free adenine generated in human cells through a salvage pathway and thus couples the purine salvage pathway with polyamine biosynthesis. MTAP forms an active trimer where each identical 32 kDa monomer contains a separate active site (1). Each active site contains three distinct regions required for base-, methylthioribose-, and sulfate/phosphate-binding (1). MTAP is cytosolic and abundantly expressed in normal cells and tissues (2). In contrast, deficient MTAP expression is observed in many types of tumors including lung, bladder, pancreatic, and endometrial cancer (3) due to hyper-methylation gene suppression (4) or gene deletion (3, 5, 6). MTA accumulation leads to an immunosuppressive tumor microenvironment and apoptotic resistance (7-9) and MTAP directly regulates the level of MTA present. MTAP has been reported as a tumor suppressor (6,10) that may also act in a manner that is independent of enzymatic activity (11) through signaling pathways such as the insulin-like growth factor-1 receptor pathway (12). Potential therapeutic strategies to exploit MTAP deficiency in tumors (13,14) or inhibit MTAP in tumors that express MTAP, such as prostate cancer, are under investigation (15).

References

  1. Appleby, T.C. et al. (1999) Structure 7:629.
  2. Garbers, D.L. (1978) Biochim. Biophys. Acta. 523:82.
  3. Li, Y. et al. (2019) J. Cancer 10:927.
  4. Hellerbrand, C. et al. (2006) Carcinogenesis 27:64.
  5. Cairns, P. et al. (1995) Nat. Genet. 11:210.
  6. Christopher, S.A. (2002) Cancer Res. 62:6639.
  7. Kirovski, G. et al. (2011) Am. J. Pathol. 178:1145.
  8. Czech, B. et al. (2013) PLoS One 8:e80703.
  9. Henrich, F.C. et al. (2016) Oncoimmunology 5:e1184802.
  10. Kadariya, Y. et al. (2009) Cancer Res. 69:5961.
  11. Tang, B. et al. (2014) G3 (Bethesda) 5:35.
  12. Xu, J. et al. (2019) Signal Transduct. Target Ther. 4:2.
  13. Bertino, J.R. et al. (2011) Cancer Biol. Ther. 11:627.
  14. Tang, B. et al. (2018) Cancer Res. 78:4386.
  15. Bistulfi, G. et al. (2016) Oncotarget 7:14380.

Long Name

5'-Methylthioadenosine Phosphorylase

Alternate Names

BDMF, C86fus, DMSFH, DMSMFH, HEL-249, LGMBF, MTAPase

Entrez Gene IDs

4507 (Human); 66902 (Mouse)

Gene Symbol

MTAP

UniProt

Additional MTAP Products

Product Documents for Human MTAP Antibody

Certificate of Analysis

To download a Certificate of Analysis, please enter a lot number in the search box below.

Note: Certificate of Analysis not available for kit components.

Product Specific Notices for Human MTAP Antibody

For research use only

Loading...
Loading...
Loading...
Loading...