Human/Mouse/Rat Teneurin-4 Antibody
R&D Systems, part of Bio-Techne | Catalog # AF6320
Key Product Details
Species Reactivity
Validated:
Cited:
Applications
Validated:
Cited:
Label
Antibody Source
Product Specifications
Immunogen
Lys61-Lys340
Accession # Q6N022
Specificity
Clonality
Host
Isotype
Scientific Data Images for Human/Mouse/Rat Teneurin-4 Antibody
Detection of Human and Mouse Teneurin-4 by Western Blot.
Western blot shows lysates of SH-SY5Y human neuroblastoma cell line and L-929 mouse fibroblast cell line. PVDF membrane was probed with 1 µg/mL of Sheep Anti-Human/Mouse/Rat Teneurin-4 Antigen Affinity-purified Polyclonal Antibody (Catalog # AF6320) followed by HRP-conjugated Anti-Sheep IgG Secondary Antibody (HAF016). A specific band was detected for Teneurin-4 at approximately 300 kDa (as indicated). This experiment was conducted under reducing conditions and using Western Blot Buffer Group 1.Detection of Rat Teneurin-4 by Western Blot.
Western blot shows lysates of Rat cortical stem cell. PVDF membrane was probed with 1 µg/mL of Sheep Anti-Human/Mouse/Rat Teneurin-4 Antigen Affinity-purified Polyclonal Antibody (Catalog # AF6320) followed by HRP-conjugated Anti-Sheep IgG Secondary Antibody (HAF016). A specific band was detected for Teneurin-4 at approximately 300 kDa (as indicated). This experiment was conducted under reducing conditions and using Western Blot Buffer Group 1.Detection of Teneurin-4 by Western Blot
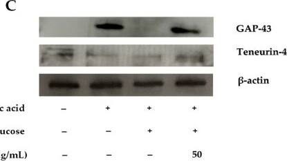
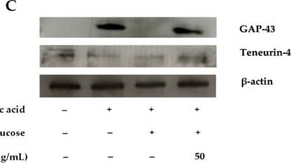
The effect of fraction ACH3 on neurite outgrowth (A). MTT assay was performed to clarify the effect of fraction ACH3 on cell viability (B). GAP-43 and Teneurin4 expression shown in a representative Western blot (C). Normalized values of both GAP-43 and Teneurin-4 against beta-actin (D). All data are presented as the mean ± SEM, * p < 0.05 vs. control; +p < 0.05 vs. 10 μM RA; #p < 0.05 vs. high glucose-treated cells. Image collected and cropped by CiteAb from the following open publication (https://pubmed.ncbi.nlm.nih.gov/36079924), licensed under a CC-BY license. Not internally tested by R&D Systems.Applications for Human/Mouse/Rat Teneurin-4 Antibody
Western Blot
Sample: SH‑SY5Y human neuroblastoma cell line, L‑929 mouse fibroblast cell line, and Rat cortical stem cell
Formulation, Preparation, and Storage
Purification
Reconstitution
Formulation
Shipping
Stability & Storage
- 12 months from date of receipt, -20 to -70 °C as supplied.
- 1 month, 2 to 8 °C under sterile conditions after reconstitution.
- 6 months, -20 to -70 °C under sterile conditions after reconstitution.
Background: Teneurin-4
Teneurin-4 (also Ten-m4, Doc4 and tenascin-M4) is a 250-300 kDa member of the tenascin family, teneurin subfamily of transmembrane (TM) molecules. It is a covalently-linked homodimer that is widely expressed in the embryo, and in adult, participates in cell-to-cell adhesion, and may communicate ER stress levels. Human Teneurin-4 is a 2769 amino acid (aa) type II TM glycoprotein. It contains a 345 aa cytoplasmic region (aa 1-345), plus a 2403 aa extracellular domain (ECD) (aa 367‑2769). The ECD possesses eight sequential EGF-like domains (aa 561-831), five NHL repeats, each of which form a beta-propeller (aa 1216-1566), and 23 YD/TyrAsp-containing repeats that bind carbohydrates. C-terminal cleavage generates a short 5 kDa, 41 aa peptide (aa 2726-2766) termed TCAP-1 that shows bioactivity. Teneurin-4 is hypothesized to form heterodimers with other teneurins. Over aa 61-340, human Teneurin-4 shares 95% aa identity with mouse Teneurin-4.
Alternate Names
Entrez Gene IDs
Gene Symbol
UniProt
Additional Teneurin-4 Products
Product Documents for Human/Mouse/Rat Teneurin-4 Antibody
Product Specific Notices for Human/Mouse/Rat Teneurin-4 Antibody
For research use only