Skip to main content

Key Product Details

Species Reactivity

Validated:

Human, Mouse

Cited:

Human, Mouse, Primate - Chlorocebus aethiops (African Green Monkey)

Applications

Validated:

Immunohistochemistry, Western Blot

Cited:

Immunohistochemistry, Western Blot, Immunocytochemistry

Label

Unconjugated

Antibody Source

Polyclonal Sheep IgG

Product Specifications

Immunogen

Chinese hamster ovary cell line CHO-derived recombinant human Nogo-B
Met1-Val200
Accession # NP_722550

Specificity

Detects human and mouse Nogo-B in direct ELISAs and Western blots.

Clonality

Polyclonal

Host

Sheep

Isotype

IgG

Scientific Data Images for Human/Mouse Nogo-B Antibody

Detection of Human and Mouse Nogo-B antibody by Western Blot.

Detection of Human and Mouse Nogo‑B by Western Blot.

Western blot shows lysates of TK-6 human lymphoblast cell line, Neuro-2A mouse neuroblastoma cell line, and C2C12 mouse myoblast cell line. PVDF Membrane was probed with 1 µg/mL of Human/Mouse Nogo-B Antigen Affinity-purified Polyclonal Antibody (Catalog # AF6034) followed by HRP-conjugated Anti-Sheep IgG Secondary Antibody (HAF016). A specific band was detected for Nogo-B at approximately 49 kDa (as indicated). This experiment was conducted under reducing conditions and using Immunoblot Buffer Group 8.
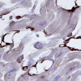
Nogo-B antibody in Human Heart by Immunohistochemistry (IHC-P).

Nogo-B in Human Heart.

Nogo-B was detected in immersion fixed paraffin-embedded sections of human heart using Human/Mouse Nogo-B Antigen Affinity-purified Polyclonal Antibody (Catalog # AF6034) at 3 µg/mL overnight at 4 °C. Before incubation with the primary antibody, tissue was subjected to heat-induced epitope retrieval using Antigen Retrieval Reagent-Basic (CTS013). Tissue was stained using the Anti-Sheep HRP-DAB Cell & Tissue Staining Kit (brown; CTS019) and counterstained with hematoxylin (blue). Specific staining was localized to endothelial cells. View our protocol for Chromogenic IHC Staining of Paraffin-embedded Tissue Sections.

Applications for Human/Mouse Nogo-B Antibody

Application
Recommended Usage

Immunohistochemistry

5-15 µg/mL
Sample: Immersion fixed paraffin-embedded sections of human heart

Western Blot

1 µg/mL
Sample: TK‑6 human lymphoblast cell line, Neuro‑2A mouse neuroblastoma cell line, and C2C12 mouse myoblast cell line

Formulation, Preparation, and Storage

Purification

Antigen Affinity-purified

Reconstitution

Reconstitute at 0.2 mg/mL in sterile PBS. For liquid material, refer to CoA for concentration.

Reconstitution Buffer Available:
Size / Price
Qty
Loading...

Formulation

Lyophilized from a 0.2 μm filtered solution in PBS with Trehalose. *Small pack size (SP) is supplied either lyophilized or as a 0.2 µm filtered solution in PBS.

Shipping

Lyophilized product is shipped at ambient temperature. Liquid small pack size (-SP) is shipped with polar packs. Upon receipt, store immediately at the temperature recommended below.

Stability & Storage

Use a manual defrost freezer and avoid repeated freeze-thaw cycles.
  • 12 months from date of receipt, -20 to -70 °C as supplied.
  • 1 month, 2 to 8 °C under sterile conditions after reconstitution.
  • 6 months, -20 to -70 °C under sterile conditions after reconstitution.

Background: Nogo-B

Nogo-B (A No-Go for neurite outgrowth Isoform B; also reticulon-4 isoform 2 and RTN-xS) is a 49‑51 kDa member of the reticulon protein family. It is widely expressed, being reported everywhere but liver. Nogo-B appears to be principally expressed in the ER, but does have a receptor (NgBR) on cell surfaces. Intracellularly, Nogo-B is known to interact with Bcl-xl and Bcl-2, and may play in role in both apoptosis and angiogenesis. Human Nogo-B is a two transmembrane, 373 amino acid protein. It contains an N-terminal cytoplasmic domain (aa 1‑199), two transmembrane segments (aa 200‑219 and 315‑335), a luminal region (aa 220‑314) and a C-terminal cytoplasmic domain (aa 336‑373). Nogo-B contains multiple phosphorylation sites and undergoes acetylation. Caspase-7 cleaves Nogo‑B between Asp14Ser15, generating a 45‑47 kDa fragment. Nogo-B exists in two forms; B1 represents aa 1‑185 spliced to aa 1005‑1192 of Nogo-A, while B2 represents aa 1‑204 spliced to aa 1005‑1192 of Nogo-A. Over aa 1‑200 (of Nogo-A), human Nogo-B shares 76% aa identity with mouse Nogo-B.

Long Name

Reticulon 4B

Alternate Names

NogoB, RTN4B

Entrez Gene IDs

57142 (Human); 68585 (Mouse); 83765 (Rat)

Gene Symbol

RTN4

UniProt

Additional Nogo-B Products

Product Documents for Human/Mouse Nogo-B Antibody

Certificate of Analysis

To download a Certificate of Analysis, please enter a lot number in the search box below.

Note: Certificate of Analysis not available for kit components.

Product Specific Notices for Human/Mouse Nogo-B Antibody

For research use only

Loading...
Loading...
Loading...
Loading...