Skip to main content

Key Product Details

Species Reactivity

Validated:

Human, Mouse

Cited:

Human, Mouse, Primate - Papio anubis (Olive Baboon)

Applications

Validated:

Immunohistochemistry, Western Blot

Cited:

Immunohistochemistry, Immunohistochemistry-Paraffin, Western Blot, ELISA Development

Label

Unconjugated

Antibody Source

Polyclonal Goat IgG

Product Specifications

Immunogen

Mouse myeloma cell line NS0-derived recombinant human Angiopoietin-1
Ser20-Phe498
Accession # Q5HYA0

Specificity

Detects human and mouse Angiopoietin-1 in direct ELISAs and Western blots.

Clonality

Polyclonal

Host

Goat

Isotype

IgG

Scientific Data Images for Human/Mouse Angiopoietin-1 Antibody

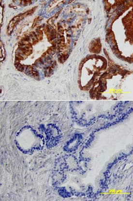
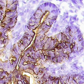
Angiopoietin-1 antibody in Human Prostate Cancer Tissue by Immunohistochemistry (IHC-P).

Angiopoietin‑1 in Human Prostate Cancer Tissue.

Angiopoietin-1 was detected in immersion fixed paraffin-embedded sections of human prostate cancer tissue using 15 µg/mL Goat Anti-Human/Mouse Angiopoietin-1 Antigen Affinity-purified Polyclonal Antibody (Catalog # AF923) overnight at 4 °C. Tissue was stained with the Anti-Goat HRP-DAB Cell & Tissue Staining Kit (brown; CTS008) and counterstained with hematoxylin (blue). View our protocol for Chromogenic IHC Staining of Paraffin-embedded Tissue Sections.
Angiopoietin-1 antibody in Human Prostate by Immunohistochemistry (IHC-P).

Angiopoietin‑1 in Human Prostate.

Angiopoietin-1 was detected in immersion fixed paraffin-embedded sections of human prostate array using Goat Anti-Human/Mouse Angiopoietin-1 Antigen Affinity-purified Polyclonal Antibody (Catalog # AF923) at 5 µg/mL overnight at 4 °C. Tissue was stained using the Anti-Goat HRP-DAB Cell & Tissue Staining Kit (brown; CTS008) and counterstained with hematoxylin (blue). Lower panel shows a lack of labeling if primary antibodies are omitted and tissue is stained only with secondary antibody followed by incubation with detection reagents. View our protocol for Chromogenic IHC Staining of Paraffin-embedded Tissue Sections.
Angiopoietin-1 antibody in Mouse Embryo by Immunohistochemistry (IHC-Fr).

Angiopoietin‑1 in Mouse Embryo.

Angiopoietin-1 was detected in perfusion fixed frozen sections of mouse embryo (15 d.p.c.) using Goat Anti-Human/Mouse Angiopoietin-1 Antigen Affinity-purified Polyclonal Antibody (Catalog # AF923) at 15 µg/mL overnight at 4 °C. Tissue was stained using the Anti-Goat HRP-DAB Cell & Tissue Staining Kit (brown; CTS008) and counterstained with hematoxylin (blue). Specific staining was localized to endothelium in the loop of the midgut. View our protocol for Chromogenic IHC Staining of Frozen Tissue Sections.

Applications for Human/Mouse Angiopoietin-1 Antibody

Application
Recommended Usage

Immunohistochemistry

5-15 µg/mL
Sample: Immersion fixed paraffin-embedded sections of human prostate cancer tissue and normal human prostate tissue, and perfusion fixed frozen sections of mouse embryo (15 d.p.c.)

Western Blot

0.1 µg/mL
Sample: Recombinant Human Angiopoietin-1 (Catalog # 923-AN)

Reviewed Applications

Read 2 reviews rated 2.5 using AF923 in the following applications:

Formulation, Preparation, and Storage

Purification

Antigen Affinity-purified

Reconstitution

Reconstitute at 0.2 mg/mL in sterile PBS. For liquid material, refer to CoA for concentration.

Reconstitution Buffer Available:
Size / Price
Qty
Loading...

Formulation

Lyophilized from a 0.2 μm filtered solution in PBS with Trehalose. *Small pack size (SP) is supplied either lyophilized or as a 0.2 µm filtered solution in PBS.

Shipping

Lyophilized product is shipped at ambient temperature. Liquid small pack size (-SP) is shipped with polar packs. Upon receipt, store immediately at the temperature recommended below.

Stability & Storage

Use a manual defrost freezer and avoid repeated freeze-thaw cycles.
  • 12 months from date of receipt, -20 to -70 °C as supplied.
  • 1 month, 2 to 8 °C under sterile conditions after reconstitution.
  • 6 months, -20 to -70 °C under sterile conditions after reconstitution.

Background: Angiopoietin-1

Angiopoietin-1 (Ang-1) and Angiopoietin-2 (Ang-2) are two closely related secreted ligands which bind with similar affinity to Tie-2, a receptor tyrosine kinase with immunoglobulin and epidermal growth factor homology domains expressed primarily on endothelial cells and early hematopoietic cells. Tie-2 and angiopoietins have been shown to play critical roles in embryogenic angiogenesis and in maintaining the integrity of the adult vasculature (1).

Ang-1 cDNA encodes a 498 amino acid (aa) residue precursor protein that contains a coiled-coiled domain near the amino-terminus and a fibrinogen-like domain at the C-terminus. Human Ang-1 shares approximately 97% and 60% amino acid sequence identity with mouse Ang-1 and human Ang-2, respectively (1, 2). Ang-1 activates Tie-2 signaling on endothelial cells to promote chemotaxis, cell survival, cell sprouting, vessel growth and stabilization (1, 3, 4). Ang-2 has alternatively been reported to be an antagonist for Ang-1 induced Tie-2 signaling as well as an agonist for Tie-2 signaling, depending on the cell context (5).

References

  1. Jones, N. et al. (2001) Nat. Rev. Mol. Cell Biol. 2:257.
  2. Davis, S. et al. (1996) Cell 87:1161.
  3. Witzenbichler, B. et al. (1998) J. Biol. Chem. 273:18514.
  4. Papapetropoulos, A. et al. (1999) Lab. Inest. 79:213.
  5. Teichert-Kuliszewska, K. et al. (2001) Cardiovasc. Res. 49:659.

Alternate Names

ANGPT1

Entrez Gene IDs

284 (Human); 11600 (Mouse)

Gene Symbol

ANGPT1

UniProt

Additional Angiopoietin-1 Products

Product Documents for Human/Mouse Angiopoietin-1 Antibody

Certificate of Analysis

To download a Certificate of Analysis, please enter a lot number in the search box below.

Note: Certificate of Analysis not available for kit components.

Product Specific Notices for Human/Mouse Angiopoietin-1 Antibody

For research use only

Loading...
Loading...
Loading...
Loading...